FDG-PET/CT finding of benign metastasizing leiomyoma of the lung.

Acta Radiologica Short Reports Pub Date : 2012-04-23 eCollection Date: 2012-01-01 DOI:10.1258/arsr.2012.120012
Masatoyo Nakajo, Hirofumi Nakayama, Masayuki Sato, Yoshihiko Fukukura, Masayuki Nakajo, Yoriko Kajiya, Masakazu Yanagi, Kazuhiro Tabata, Michiyo Higashi
{"title":"FDG-PET/CT finding of benign metastasizing leiomyoma of the lung.","authors":"Masatoyo Nakajo,&nbsp;Hirofumi Nakayama,&nbsp;Masayuki Sato,&nbsp;Yoshihiko Fukukura,&nbsp;Masayuki Nakajo,&nbsp;Yoriko Kajiya,&nbsp;Masakazu Yanagi,&nbsp;Kazuhiro Tabata,&nbsp;Michiyo Higashi","doi":"10.1258/arsr.2012.120012","DOIUrl":null,"url":null,"abstract":"<p><p>We report a case of multiple benign metastasizing leiomyoma (BML) lung nodules showing faint or non-avid uptake of F-18 fluorodeoxyglucose (FDG) (respective 1-hour early and 2-hour delayed maximum standardized uptake values; 1.3 or less and 1.2 or less) in a 50-year-old woman with a history of hysterectomy for uterine leiomyoma at the age of 38 years. When multiple lung nodules show faint or non-avid FDG uptake in a patient with a history of hysterectomy for uterine leiomyoma, BML should be included in the differential diagnosis. </p>","PeriodicalId":30445,"journal":{"name":"Acta Radiologica Short Reports","volume":"1 3","pages":""},"PeriodicalIF":0.0000,"publicationDate":"2012-04-23","publicationTypes":"Journal Article","fieldsOfStudy":null,"isOpenAccess":false,"openAccessPdf":"https://sci-hub-pdf.com/10.1258/arsr.2012.120012","citationCount":"7","resultStr":null,"platform":"Semanticscholar","paperid":null,"PeriodicalName":"Acta Radiologica Short Reports","FirstCategoryId":"1085","ListUrlMain":"https://doi.org/10.1258/arsr.2012.120012","RegionNum":0,"RegionCategory":null,"ArticlePicture":[],"TitleCN":null,"AbstractTextCN":null,"PMCID":null,"EPubDate":"2012/1/1 0:00:00","PubModel":"eCollection","JCR":"","JCRName":"","Score":null,"Total":0}
引用次数: 7

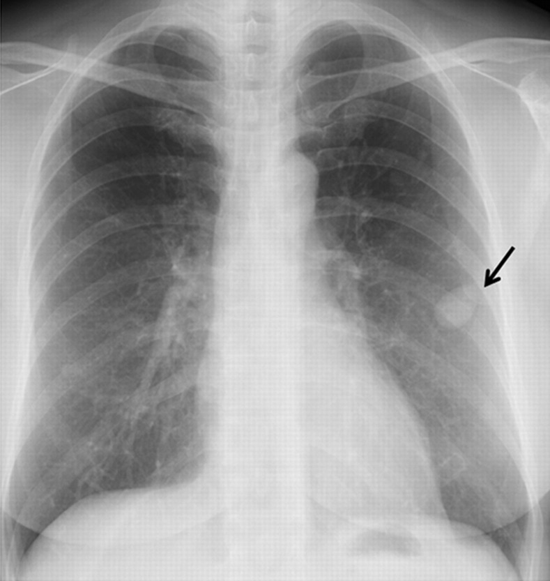
Abstract

We report a case of multiple benign metastasizing leiomyoma (BML) lung nodules showing faint or non-avid uptake of F-18 fluorodeoxyglucose (FDG) (respective 1-hour early and 2-hour delayed maximum standardized uptake values; 1.3 or less and 1.2 or less) in a 50-year-old woman with a history of hysterectomy for uterine leiomyoma at the age of 38 years. When multiple lung nodules show faint or non-avid FDG uptake in a patient with a history of hysterectomy for uterine leiomyoma, BML should be included in the differential diagnosis.

Abstract Image

Abstract Image

Abstract Image

肺良性转移性平滑肌瘤的FDG-PET/CT表现。
我们报告一例多发性良性转移性平滑肌瘤(BML)肺结节显示F-18氟脱氧葡萄糖(FDG)的微弱或非强烈摄取(分别为1小时早期和2小时延迟的最大标准化摄取值;1.3或更低,1.2或更低),年龄为38岁,因子宫平滑肌瘤切除子宫的50岁女性。当因子宫平滑肌瘤而切除子宫的患者出现多发肺结节表现为微弱或不强烈的氟脱氧葡萄糖摄取时,应将BML纳入鉴别诊断。
本文章由计算机程序翻译,如有差异,请以英文原文为准。
求助全文
约1分钟内获得全文 求助全文
来源期刊
自引率
0.00%
发文量
0
审稿时长
12 weeks
期刊介绍: Under the editorial leadership of Professor Arnulf Skjennald MD and a distinguished editorial board, Acta Radiologica Open, formerly Acta Radiologica Short Reports, aims for the prompt publication of original case reports, short reports, review articles, pictorial reviews, research articles on diagnostic and interventional radiology, clinical radiology, experimental investigations in animals, and all other research related to imaging procedures. Acta Radiologica Open provides a complete update on all radiological specialties and technical utilities, as well as physiology and physics related to imaging, including ultrasonography, computed tomography, radionuclide and magnetic resonance imaging. Acta Radiologica Open publishes articles on diagnostic and interventional procedures in radiology based on all medical imaging techniques, as well as works in physiology and physics when related to radiology. The journal is an online-only, peer reviewed, open access journal.
×
引用
GB/T 7714-2015
复制
MLA
复制
APA
复制
导出至
BibTeX EndNote RefMan NoteFirst NoteExpress
×
提示
您的信息不完整,为了账户安全,请先补充。
现在去补充
×
提示
您因"违规操作"
具体请查看互助需知
我知道了
×
提示
确定
请完成安全验证×
copy
已复制链接
快去分享给好友吧!
我知道了
右上角分享
点击右上角分享
0
联系我们:info@booksci.cn Book学术提供免费学术资源搜索服务,方便国内外学者检索中英文文献。致力于提供最便捷和优质的服务体验。 Copyright © 2023 布克学术 All rights reserved.
京ICP备2023020795号-1
ghs 京公网安备 11010802042870号
Book学术文献互助
Book学术文献互助群
群 号:604180095
Book学术官方微信