Genotyping of the pseudorabies virus by multiplex PCR followed by restriction enzyme analysis.

ISRN Microbiology Pub Date : 2011-11-24 Print Date: 2011-01-01 DOI:10.5402/2011/458294
Antônio Augusto Fonseca, Cristina Gonçalves Magalhães, Erica Bravo Sales, Régia Maria D'Ambros, Janice Ciacci-Zanella, Marcos Bryan Heinemann, Rômulo Cerqueira Leite, Jenner Karlisson Pimenta Dos Reis
{"title":"Genotyping of the pseudorabies virus by multiplex PCR followed by restriction enzyme analysis.","authors":"Antônio Augusto Fonseca,&nbsp;Cristina Gonçalves Magalhães,&nbsp;Erica Bravo Sales,&nbsp;Régia Maria D'Ambros,&nbsp;Janice Ciacci-Zanella,&nbsp;Marcos Bryan Heinemann,&nbsp;Rômulo Cerqueira Leite,&nbsp;Jenner Karlisson Pimenta Dos Reis","doi":"10.5402/2011/458294","DOIUrl":null,"url":null,"abstract":"<p><p>Suid herpesvirus 1 (SuHV-1) is the causative agent of Aujeszky's disease. The infectious agent has only one serotype, but it was classified by restriction enzyme analysis of the whole genome into four genotypes, named I to IV. The aim of this study was to standardize a rapid method for genotyping SuHV-1 without virus isolation, using a multiplex-PCR followed by enzymatic restriction analysis. The complete genome of the virus was analyzed in silico to determine the restriction sites for the enzyme BamHI. Primers were designed to flank sites with emphasis on certain points of differentiation of genotypes. The standard PCRs were able to detect the SuHV-1 and also to differentiate genotypes from brain tissue of infected pigs. The BamHI-PCR is a rapid, practical, and sensitive way to genotype SuHV-1.</p>","PeriodicalId":14849,"journal":{"name":"ISRN Microbiology","volume":"2011 ","pages":"458294"},"PeriodicalIF":0.0000,"publicationDate":"2011-11-24","publicationTypes":"Journal Article","fieldsOfStudy":null,"isOpenAccess":false,"openAccessPdf":"https://www.ncbi.nlm.nih.gov/pmc/articles/PMC3658827/pdf/","citationCount":"4","resultStr":null,"platform":"Semanticscholar","paperid":null,"PeriodicalName":"ISRN Microbiology","FirstCategoryId":"1085","ListUrlMain":"https://doi.org/10.5402/2011/458294","RegionNum":0,"RegionCategory":null,"ArticlePicture":[],"TitleCN":null,"AbstractTextCN":null,"PMCID":null,"EPubDate":"2011/1/1 0:00:00","PubModel":"Print","JCR":"","JCRName":"","Score":null,"Total":0}
引用次数: 4

Abstract

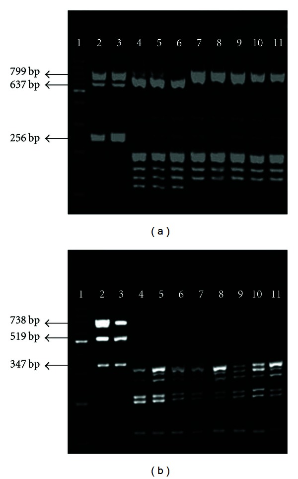
Suid herpesvirus 1 (SuHV-1) is the causative agent of Aujeszky's disease. The infectious agent has only one serotype, but it was classified by restriction enzyme analysis of the whole genome into four genotypes, named I to IV. The aim of this study was to standardize a rapid method for genotyping SuHV-1 without virus isolation, using a multiplex-PCR followed by enzymatic restriction analysis. The complete genome of the virus was analyzed in silico to determine the restriction sites for the enzyme BamHI. Primers were designed to flank sites with emphasis on certain points of differentiation of genotypes. The standard PCRs were able to detect the SuHV-1 and also to differentiate genotypes from brain tissue of infected pigs. The BamHI-PCR is a rapid, practical, and sensitive way to genotype SuHV-1.

Abstract Image

伪狂犬病毒多重PCR基因分型及限制性内切酶分析。
猪疱疹病毒1 (SuHV-1)是奥杰斯基病的病原体。该感染因子只有一种血清型,但通过全基因组的限制性内切酶分析将其分为四种基因型,命名为I至IV。本研究的目的是标准化一种无需分离病毒的快速基因分型方法,采用多重聚合酶链反应和酶切分析。用计算机分析病毒的全基因组以确定BamHI酶的限制性位点。引物被设计在侧翼,强调基因型分化的某些点。标准pcr能够检测SuHV-1,也能从感染猪的脑组织中区分基因型。BamHI-PCR是一种快速、实用、灵敏的SuHV-1基因分型方法。
本文章由计算机程序翻译,如有差异,请以英文原文为准。
求助全文
约1分钟内获得全文 求助全文
来源期刊
自引率
0.00%
发文量
0
×
引用
GB/T 7714-2015
复制
MLA
复制
APA
复制
导出至
BibTeX EndNote RefMan NoteFirst NoteExpress
×
提示
您的信息不完整,为了账户安全,请先补充。
现在去补充
×
提示
您因"违规操作"
具体请查看互助需知
我知道了
×
提示
确定
请完成安全验证×
copy
已复制链接
快去分享给好友吧!
我知道了
右上角分享
点击右上角分享
0
联系我们:info@booksci.cn Book学术提供免费学术资源搜索服务,方便国内外学者检索中英文文献。致力于提供最便捷和优质的服务体验。 Copyright © 2023 布克学术 All rights reserved.
京ICP备2023020795号-1
ghs 京公网安备 11010802042870号
Book学术文献互助
Book学术文献互助群
群 号:604180095
Book学术官方微信