Detection and typing of human papilloma virus by multiplex PCR with type-specific primers.

ISRN Microbiology Pub Date : 2012-03-01 Print Date: 2012-01-01 DOI:10.5402/2012/186915
Francisco Romero-Pastrana
{"title":"Detection and typing of human papilloma virus by multiplex PCR with type-specific primers.","authors":"Francisco Romero-Pastrana","doi":"10.5402/2012/186915","DOIUrl":null,"url":null,"abstract":"<p><p>The primary underlying cause of cervical cancer is infection with one or more high-risk (HR) types of the human papilloma virus (HPV). Detection and typing of HPV have been commonly carried out by PCR-based assays, where HPV detection and typing are two separate procedures. Here, we present a multiplex PCR-based HPV typing assay that detects 20 HPV types (15 HR, 3 probably HR and 2 low risk) using type-specific primers and agarose gel electrophoresis. 46 cervical, urethral, and biopsy samples were analyzed by both Multiplex PCR and PGMY09/11 consensus PCR, and results were compared. 611 samples were further analyzed by Multiplex PCR, 282 were positive for HR HPV, and 101 showed multiple HR HPV infections. The relatively ease and economic accessibility of the method and its improved ability to detect high-risk HPV types in multiple HPV-infected samples make it an attractive option for HPV testing.</p>","PeriodicalId":14849,"journal":{"name":"ISRN Microbiology","volume":"2012 ","pages":"186915"},"PeriodicalIF":0.0000,"publicationDate":"2012-03-01","publicationTypes":"Journal Article","fieldsOfStudy":null,"isOpenAccess":false,"openAccessPdf":"https://sci-hub-pdf.com/10.5402/2012/186915","citationCount":"27","resultStr":null,"platform":"Semanticscholar","paperid":null,"PeriodicalName":"ISRN Microbiology","FirstCategoryId":"1085","ListUrlMain":"https://doi.org/10.5402/2012/186915","RegionNum":0,"RegionCategory":null,"ArticlePicture":[],"TitleCN":null,"AbstractTextCN":null,"PMCID":null,"EPubDate":"2012/1/1 0:00:00","PubModel":"Print","JCR":"","JCRName":"","Score":null,"Total":0}
引用次数: 27

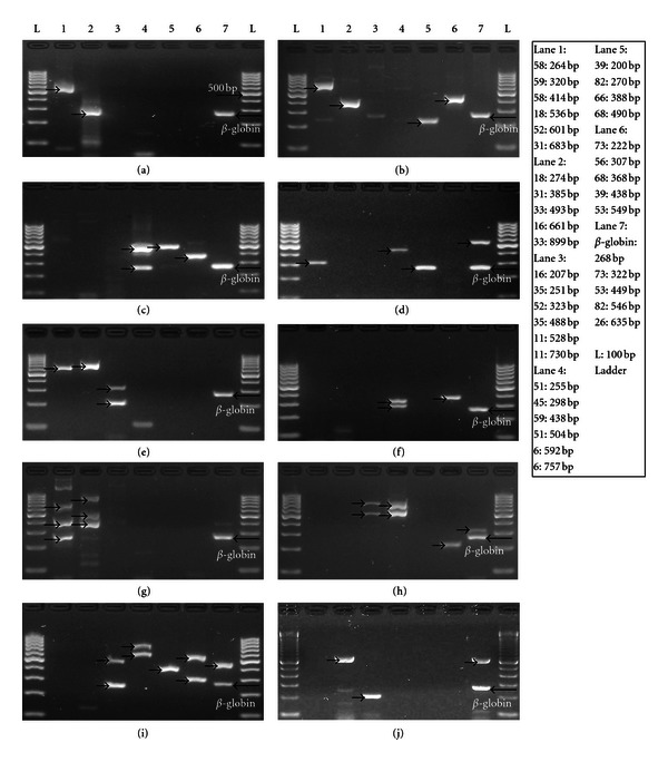
Abstract

The primary underlying cause of cervical cancer is infection with one or more high-risk (HR) types of the human papilloma virus (HPV). Detection and typing of HPV have been commonly carried out by PCR-based assays, where HPV detection and typing are two separate procedures. Here, we present a multiplex PCR-based HPV typing assay that detects 20 HPV types (15 HR, 3 probably HR and 2 low risk) using type-specific primers and agarose gel electrophoresis. 46 cervical, urethral, and biopsy samples were analyzed by both Multiplex PCR and PGMY09/11 consensus PCR, and results were compared. 611 samples were further analyzed by Multiplex PCR, 282 were positive for HR HPV, and 101 showed multiple HR HPV infections. The relatively ease and economic accessibility of the method and its improved ability to detect high-risk HPV types in multiple HPV-infected samples make it an attractive option for HPV testing.

Abstract Image

人乳头瘤病毒型别特异性引物多重PCR检测及分型研究。
宫颈癌的主要潜在原因是感染了一种或多种高危型人乳头瘤病毒(HPV)。HPV的检测和分型通常是通过基于聚合酶链反应的分析进行的,其中HPV的检测和分型是两个独立的程序。在这里,我们提出了一种基于多重pcr的HPV分型检测方法,使用类型特异性引物和琼脂糖凝胶电泳检测20种HPV类型(15种HR, 3种可能HR和2种低风险)。采用多重PCR和PGMY09/11共识PCR对46例宫颈、尿道和活检样本进行分析,并对结果进行比较。611份样本进一步进行多重PCR分析,282例HR HPV阳性,101例为多例HR HPV感染。该方法相对容易和经济的可及性及其在多个HPV感染样本中检测高危HPV类型的改进能力使其成为HPV检测的一个有吸引力的选择。
本文章由计算机程序翻译,如有差异,请以英文原文为准。
求助全文
约1分钟内获得全文 求助全文
来源期刊
自引率
0.00%
发文量
0
×
引用
GB/T 7714-2015
复制
MLA
复制
APA
复制
导出至
BibTeX EndNote RefMan NoteFirst NoteExpress
×
提示
您的信息不完整,为了账户安全,请先补充。
现在去补充
×
提示
您因"违规操作"
具体请查看互助需知
我知道了
×
提示
确定
请完成安全验证×
copy
已复制链接
快去分享给好友吧!
我知道了
右上角分享
点击右上角分享
0
联系我们:info@booksci.cn Book学术提供免费学术资源搜索服务,方便国内外学者检索中英文文献。致力于提供最便捷和优质的服务体验。 Copyright © 2023 布克学术 All rights reserved.
京ICP备2023020795号-1
ghs 京公网安备 11010802042870号
Book学术文献互助
Book学术文献互助群
群 号:604180095
Book学术官方微信