Invasive breast carcinoma in a patient with PHTS: a case report.

IF 2.3 3区 医学 Q2 PATHOLOGY
Haiying Zhan, Neal Fischbach, Melanie Lynch, Yuanxin Liang, Uma Krishnamurti, Paul Cohen
{"title":"Invasive breast carcinoma in a patient with PHTS: a case report.","authors":"Haiying Zhan, Neal Fischbach, Melanie Lynch, Yuanxin Liang, Uma Krishnamurti, Paul Cohen","doi":"10.1186/s13000-025-01715-1","DOIUrl":null,"url":null,"abstract":"<p><strong>Background: </strong>PTEN hamartoma tumor syndrome (PHTS) is a rare, multisystem disorder caused by germline pathogenic variants in the PTEN gene, predisposing individuals to various malignancies, including breast cancer.</p><p><strong>Case presentation: </strong>We describe a 26-year-old woman with longstanding bilateral palpable breast masses and spontaneous bloody nipple discharge. Imaging revealed numerous cysts and masses, predominantly in the right breast. Multiple biopsies showed benign papilloma with focal atypical ductal hyperplasia (ADH), while total mastectomy specimens revealed multifocal, poorly differentiated, triple-negative invasive carcinoma. An axillary lymph node contained ectopic breast tissue with associated papillary proliferation. Genetic testing identified a pathogenic germline PTEN variant (c.209 + 4_209 + 7delAGTA), confirming PTEN hamartoma tumor syndrome (PHTS).</p><p><strong>Conclusion: </strong>This case underscores the importance of considering PHTS in young patients presenting with extensive papillomatosis and other unusual breast pathologic findings, even in the absence of a family history of cancer. Early recognition enables timely genetic counseling, confirmatory testing, and implementation of appropriate surveillance and management strategies.</p>","PeriodicalId":11237,"journal":{"name":"Diagnostic Pathology","volume":"20 1","pages":"120"},"PeriodicalIF":2.3000,"publicationDate":"2025-10-17","publicationTypes":"Journal Article","fieldsOfStudy":null,"isOpenAccess":false,"openAccessPdf":"https://www.ncbi.nlm.nih.gov/pmc/articles/PMC12532417/pdf/","citationCount":"0","resultStr":null,"platform":"Semanticscholar","paperid":null,"PeriodicalName":"Diagnostic Pathology","FirstCategoryId":"3","ListUrlMain":"https://doi.org/10.1186/s13000-025-01715-1","RegionNum":3,"RegionCategory":"医学","ArticlePicture":[],"TitleCN":null,"AbstractTextCN":null,"PMCID":null,"EPubDate":"","PubModel":"","JCR":"Q2","JCRName":"PATHOLOGY","Score":null,"Total":0}
引用次数: 0

Abstract

Background: PTEN hamartoma tumor syndrome (PHTS) is a rare, multisystem disorder caused by germline pathogenic variants in the PTEN gene, predisposing individuals to various malignancies, including breast cancer.

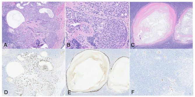
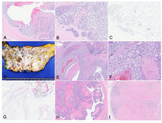
Case presentation: We describe a 26-year-old woman with longstanding bilateral palpable breast masses and spontaneous bloody nipple discharge. Imaging revealed numerous cysts and masses, predominantly in the right breast. Multiple biopsies showed benign papilloma with focal atypical ductal hyperplasia (ADH), while total mastectomy specimens revealed multifocal, poorly differentiated, triple-negative invasive carcinoma. An axillary lymph node contained ectopic breast tissue with associated papillary proliferation. Genetic testing identified a pathogenic germline PTEN variant (c.209 + 4_209 + 7delAGTA), confirming PTEN hamartoma tumor syndrome (PHTS).

Conclusion: This case underscores the importance of considering PHTS in young patients presenting with extensive papillomatosis and other unusual breast pathologic findings, even in the absence of a family history of cancer. Early recognition enables timely genetic counseling, confirmatory testing, and implementation of appropriate surveillance and management strategies.

Abstract Image

Abstract Image

Abstract Image

PHTS患者浸润性乳腺癌1例报告。
背景:PTEN错构瘤肿瘤综合征(PHTS)是一种罕见的多系统疾病,由PTEN基因的种系致病性变异引起,使个体易患各种恶性肿瘤,包括乳腺癌。病例介绍:我们描述了一位26岁的女性,长期双侧可触及的乳房肿块和自发性乳头出血。影像学显示大量囊肿和肿块,主要在右乳。多次活检显示良性乳头状瘤伴局灶性非典型导管增生(ADH),而全乳切除术标本显示多灶性、低分化、三阴性浸润性癌。腋窝淋巴结包含异位乳腺组织并伴有乳头状增生。基因检测发现一种致病的种系PTEN变异(c.209 + 4_209 + 7delAGTA),证实PTEN错构瘤肿瘤综合征(PHTS)。结论:该病例强调了在出现广泛乳头状瘤病和其他不寻常乳腺病理表现的年轻患者中考虑PHTS的重要性,即使没有癌症家族史。早期识别可以及时进行遗传咨询、确认性检测,并实施适当的监测和管理策略。
本文章由计算机程序翻译,如有差异,请以英文原文为准。
求助全文
约1分钟内获得全文 求助全文
来源期刊
Diagnostic Pathology
Diagnostic Pathology 医学-病理学
CiteScore
4.60
自引率
0.00%
发文量
93
审稿时长
1 months
期刊介绍: Diagnostic Pathology is an open access, peer-reviewed, online journal that considers research in surgical and clinical pathology, immunology, and biology, with a special focus on cutting-edge approaches in diagnostic pathology and tissue-based therapy. The journal covers all aspects of surgical pathology, including classic diagnostic pathology, prognosis-related diagnosis (tumor stages, prognosis markers, such as MIB-percentage, hormone receptors, etc.), and therapy-related findings. The journal also focuses on the technological aspects of pathology, including molecular biology techniques, morphometry aspects (stereology, DNA analysis, syntactic structure analysis), communication aspects (telecommunication, virtual microscopy, virtual pathology institutions, etc.), and electronic education and quality assurance (for example interactive publication, on-line references with automated updating, etc.).
×
引用
GB/T 7714-2015
复制
MLA
复制
APA
复制
导出至
BibTeX EndNote RefMan NoteFirst NoteExpress
×
提示
您的信息不完整,为了账户安全,请先补充。
现在去补充
×
提示
您因"违规操作"
具体请查看互助需知
我知道了
×
提示
确定
请完成安全验证×
copy
已复制链接
快去分享给好友吧!
我知道了
右上角分享
点击右上角分享
0
联系我们:info@booksci.cn Book学术提供免费学术资源搜索服务,方便国内外学者检索中英文文献。致力于提供最便捷和优质的服务体验。 Copyright © 2023 布克学术 All rights reserved.
京ICP备2023020795号-1
ghs 京公网安备 11010802042870号
Book学术文献互助
Book学术文献互助群
群 号:604180095
Book学术官方微信