Convolutional neural network based system for fully automatic FLAIR MRI segmentation in multiple sclerosis diagnosis.

IF 3.9 2区 综合性期刊 Q1 MULTIDISCIPLINARY SCIENCES
Ali Arian Darestani, Mahsa Naeeni Davarani, Virginia Guillen -Cañas, Hasan Hashemi, Amin Zarei, Sanaz Heydari Havadaragh, Mohammad Hossein Harirchian
{"title":"Convolutional neural network based system for fully automatic FLAIR MRI segmentation in multiple sclerosis diagnosis.","authors":"Ali Arian Darestani, Mahsa Naeeni Davarani, Virginia Guillen -Cañas, Hasan Hashemi, Amin Zarei, Sanaz Heydari Havadaragh, Mohammad Hossein Harirchian","doi":"10.1038/s41598-025-14112-x","DOIUrl":null,"url":null,"abstract":"<p><p>This study presents an automated system using Convolutional Neural Networks (CNNs) for segmenting FLAIR Magnetic Resonance Imaging (MRI) images to aid in the diagnosis of Multiple Sclerosis (MS). The dataset included 103 patients from Imam Khomeini Hospital, Tehran and an additional 10 patients from an external center. Key preprocessing steps included skull stripping, normalization, resizing, segmentation mask processing, entropy-based exclusion, and data augmentation. The nnU-Net architecture tailored for 2D slices was employed and trained using a fivefold cross-validation approach. In the slice-level classification approach, the model achieved 83% accuracy, 100% sensitivity, 75% positive predictive value (PPV), and 99% negative predictive value (NPV) on the internal test set. For the external test set, the accuracy was 76%, sensitivity 100%, PPV 68%, and NPV 100%. Voxel-level segmentation showed a Dice Similarity Coefficient (DSC) of 70% for the internal set and 75% for the external set. The CNN-based system with nnU-Net architecture demonstrated high accuracy and reliability in segmenting MS lesions, highlighting its potential for enhancing clinical decision-making.</p>","PeriodicalId":21811,"journal":{"name":"Scientific Reports","volume":"15 1","pages":"36146"},"PeriodicalIF":3.9000,"publicationDate":"2025-10-16","publicationTypes":"Journal Article","fieldsOfStudy":null,"isOpenAccess":false,"openAccessPdf":"https://www.ncbi.nlm.nih.gov/pmc/articles/PMC12533086/pdf/","citationCount":"0","resultStr":null,"platform":"Semanticscholar","paperid":null,"PeriodicalName":"Scientific Reports","FirstCategoryId":"103","ListUrlMain":"https://doi.org/10.1038/s41598-025-14112-x","RegionNum":2,"RegionCategory":"综合性期刊","ArticlePicture":[],"TitleCN":null,"AbstractTextCN":null,"PMCID":null,"EPubDate":"","PubModel":"","JCR":"Q1","JCRName":"MULTIDISCIPLINARY SCIENCES","Score":null,"Total":0}
引用次数: 0

Abstract

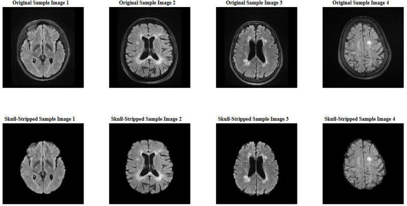
This study presents an automated system using Convolutional Neural Networks (CNNs) for segmenting FLAIR Magnetic Resonance Imaging (MRI) images to aid in the diagnosis of Multiple Sclerosis (MS). The dataset included 103 patients from Imam Khomeini Hospital, Tehran and an additional 10 patients from an external center. Key preprocessing steps included skull stripping, normalization, resizing, segmentation mask processing, entropy-based exclusion, and data augmentation. The nnU-Net architecture tailored for 2D slices was employed and trained using a fivefold cross-validation approach. In the slice-level classification approach, the model achieved 83% accuracy, 100% sensitivity, 75% positive predictive value (PPV), and 99% negative predictive value (NPV) on the internal test set. For the external test set, the accuracy was 76%, sensitivity 100%, PPV 68%, and NPV 100%. Voxel-level segmentation showed a Dice Similarity Coefficient (DSC) of 70% for the internal set and 75% for the external set. The CNN-based system with nnU-Net architecture demonstrated high accuracy and reliability in segmenting MS lesions, highlighting its potential for enhancing clinical decision-making.

Abstract Image

Abstract Image

Abstract Image

基于卷积神经网络的全自动FLAIR MRI分割系统在多发性硬化诊断中的应用。
本研究提出了一个使用卷积神经网络(cnn)分割FLAIR磁共振成像(MRI)图像的自动化系统,以帮助诊断多发性硬化症(MS)。该数据集包括来自德黑兰伊玛目霍梅尼医院的103名患者和来自外部中心的另外10名患者。关键的预处理步骤包括颅骨剥离、归一化、调整大小、分割掩码处理、基于熵的排除和数据增强。采用为2D切片定制的nnU-Net架构,并使用五倍交叉验证方法进行训练。在切片级分类方法中,模型在内部测试集上的准确率为83%,灵敏度为100%,阳性预测值(PPV)为75%,阴性预测值(NPV)为99%。对于外部测试集,准确度为76%,灵敏度为100%,PPV为68%,NPV为100%。体素级分割显示,内部集的Dice Similarity Coefficient (DSC)为70%,外部集为75%。采用nnU-Net架构的基于cnn的系统在MS病变分割方面显示出较高的准确性和可靠性,突出了其增强临床决策的潜力。
本文章由计算机程序翻译,如有差异,请以英文原文为准。
求助全文
约1分钟内获得全文 求助全文
来源期刊
Scientific Reports
Scientific Reports Natural Science Disciplines-
CiteScore
7.50
自引率
4.30%
发文量
19567
审稿时长
3.9 months
期刊介绍: We publish original research from all areas of the natural sciences, psychology, medicine and engineering. You can learn more about what we publish by browsing our specific scientific subject areas below or explore Scientific Reports by browsing all articles and collections. Scientific Reports has a 2-year impact factor: 4.380 (2021), and is the 6th most-cited journal in the world, with more than 540,000 citations in 2020 (Clarivate Analytics, 2021). •Engineering Engineering covers all aspects of engineering, technology, and applied science. It plays a crucial role in the development of technologies to address some of the world''s biggest challenges, helping to save lives and improve the way we live. •Physical sciences Physical sciences are those academic disciplines that aim to uncover the underlying laws of nature — often written in the language of mathematics. It is a collective term for areas of study including astronomy, chemistry, materials science and physics. •Earth and environmental sciences Earth and environmental sciences cover all aspects of Earth and planetary science and broadly encompass solid Earth processes, surface and atmospheric dynamics, Earth system history, climate and climate change, marine and freshwater systems, and ecology. It also considers the interactions between humans and these systems. •Biological sciences Biological sciences encompass all the divisions of natural sciences examining various aspects of vital processes. The concept includes anatomy, physiology, cell biology, biochemistry and biophysics, and covers all organisms from microorganisms, animals to plants. •Health sciences The health sciences study health, disease and healthcare. This field of study aims to develop knowledge, interventions and technology for use in healthcare to improve the treatment of patients.
×
引用
GB/T 7714-2015
复制
MLA
复制
APA
复制
导出至
BibTeX EndNote RefMan NoteFirst NoteExpress
×
提示
您的信息不完整,为了账户安全,请先补充。
现在去补充
×
提示
您因"违规操作"
具体请查看互助需知
我知道了
×
提示
确定
请完成安全验证×
copy
已复制链接
快去分享给好友吧!
我知道了
右上角分享
点击右上角分享
0
联系我们:info@booksci.cn Book学术提供免费学术资源搜索服务,方便国内外学者检索中英文文献。致力于提供最便捷和优质的服务体验。 Copyright © 2023 布克学术 All rights reserved.
京ICP备2023020795号-1
ghs 京公网安备 11010802042870号
Book学术文献互助
Book学术文献互助群
群 号:604180095
Book学术官方微信