Clinical significance and expression of ALDH1 in triple-negative breast cancer.

IF 2.3 3区 医学 Q2 PATHOLOGY
Yaoyao Yang, Zhuoran Li, Yangyang Zhu, Chongyong Guo, Li Yang, Jian Zhang
{"title":"Clinical significance and expression of ALDH1 in triple-negative breast cancer.","authors":"Yaoyao Yang, Zhuoran Li, Yangyang Zhu, Chongyong Guo, Li Yang, Jian Zhang","doi":"10.1186/s13000-025-01726-y","DOIUrl":null,"url":null,"abstract":"<p><strong>Background: </strong>Triple-negative breast cancer (TNBC) is aggressive and has limited therapeutic options due to the absence of targeted therapies, highlighting the urgent need for prognostic biomarkers linked to cancer stemness and chemoresistance. Aldehyde dehydrogenase 1 (ALDH1), a key regulator of stem cell properties, remains incompletely characterized in TNBC clinical cohorts.</p><p><strong>Methods: </strong>ALDH1 mRNA expression levels were analyzed using the GEO2R online database, and its prognostic significance was assessed via the Kaplan‒Meier plotter tool. Immunohistochemical (IHC) staining was performed on a tissue microarray comprising 96 TNBC samples and paired adjacent normal tissues from patients treated at Binzhou People's Hospital between 2016 and 2022. The associations between ALDH1 expression and clinicopathological parameters were evaluated using the chi-square test.</p><p><strong>Results: </strong>Bioinformatics analysis revealed significantly higher ALDH1 mRNA expression in TNBC tissues compared to adjacent benign tissues. Kaplan‒Meier survival analysis demonstrated that elevated ALDH1 mRNA expression was associated with poor prognosis in TNBC patients. IHC staining further confirmed elevated ALDH1 protein expression in TNBC tissues compared with normal adjacent tissues. However, there was no significant correlation between ALDH1 expression and conventional clinicopathological parameters, including age, menopausal status, tumor size, TNM stage, histological grade, histological subtype, axillary lymph node metastasis and the Ki-67 index (p > 0.05). High ALDH1 expression was significantly associated with poorer overall survival ( χ<sup>2</sup> = 16.836, p < 0.001).</p><p><strong>Conclusion: </strong>Our data demonstrate that ALDH1 expression is not significantly associated with conventional clinicopathological parameters (such as age, TNM stage, or histological grade). Instead, it is associated with poorer survival on univariate analysis in TNBC patients. Its lack of association with clinicopathological factors suggests its potential utility as a supplementary prognostic indicator.</p>","PeriodicalId":11237,"journal":{"name":"Diagnostic Pathology","volume":"20 1","pages":"117"},"PeriodicalIF":2.3000,"publicationDate":"2025-10-16","publicationTypes":"Journal Article","fieldsOfStudy":null,"isOpenAccess":false,"openAccessPdf":"https://www.ncbi.nlm.nih.gov/pmc/articles/PMC12533427/pdf/","citationCount":"0","resultStr":null,"platform":"Semanticscholar","paperid":null,"PeriodicalName":"Diagnostic Pathology","FirstCategoryId":"3","ListUrlMain":"https://doi.org/10.1186/s13000-025-01726-y","RegionNum":3,"RegionCategory":"医学","ArticlePicture":[],"TitleCN":null,"AbstractTextCN":null,"PMCID":null,"EPubDate":"","PubModel":"","JCR":"Q2","JCRName":"PATHOLOGY","Score":null,"Total":0}
引用次数: 0

Abstract

Background: Triple-negative breast cancer (TNBC) is aggressive and has limited therapeutic options due to the absence of targeted therapies, highlighting the urgent need for prognostic biomarkers linked to cancer stemness and chemoresistance. Aldehyde dehydrogenase 1 (ALDH1), a key regulator of stem cell properties, remains incompletely characterized in TNBC clinical cohorts.

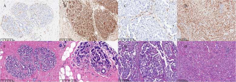
Methods: ALDH1 mRNA expression levels were analyzed using the GEO2R online database, and its prognostic significance was assessed via the Kaplan‒Meier plotter tool. Immunohistochemical (IHC) staining was performed on a tissue microarray comprising 96 TNBC samples and paired adjacent normal tissues from patients treated at Binzhou People's Hospital between 2016 and 2022. The associations between ALDH1 expression and clinicopathological parameters were evaluated using the chi-square test.

Results: Bioinformatics analysis revealed significantly higher ALDH1 mRNA expression in TNBC tissues compared to adjacent benign tissues. Kaplan‒Meier survival analysis demonstrated that elevated ALDH1 mRNA expression was associated with poor prognosis in TNBC patients. IHC staining further confirmed elevated ALDH1 protein expression in TNBC tissues compared with normal adjacent tissues. However, there was no significant correlation between ALDH1 expression and conventional clinicopathological parameters, including age, menopausal status, tumor size, TNM stage, histological grade, histological subtype, axillary lymph node metastasis and the Ki-67 index (p > 0.05). High ALDH1 expression was significantly associated with poorer overall survival ( χ2 = 16.836, p < 0.001).

Conclusion: Our data demonstrate that ALDH1 expression is not significantly associated with conventional clinicopathological parameters (such as age, TNM stage, or histological grade). Instead, it is associated with poorer survival on univariate analysis in TNBC patients. Its lack of association with clinicopathological factors suggests its potential utility as a supplementary prognostic indicator.

Abstract Image

Abstract Image

Abstract Image

ALDH1在三阴性乳腺癌中的表达及临床意义
背景:三阴性乳腺癌(TNBC)具有侵袭性,由于缺乏靶向治疗,治疗选择有限,因此迫切需要与癌症干细胞和化疗耐药相关的预后生物标志物。醛脱氢酶1 (ALDH1)是干细胞特性的关键调节因子,在TNBC临床队列中仍未完全确定。方法:使用GEO2R在线数据库分析ALDH1 mRNA表达水平,并通过Kaplan-Meier绘图工具评估其预后意义。对2016年至2022年期间在滨州市人民医院接受治疗的96例TNBC样本和配对的邻近正常组织进行组织微阵列免疫组化(IHC)染色。采用卡方检验评估ALDH1表达与临床病理参数之间的关系。结果:生物信息学分析显示,与邻近良性组织相比,TNBC组织中ALDH1 mRNA的表达明显升高。Kaplan-Meier生存分析显示,ALDH1 mRNA表达升高与TNBC患者预后不良相关。免疫组化染色进一步证实,与正常邻近组织相比,TNBC组织中ALDH1蛋白表达升高。而ALDH1表达与年龄、绝经期、肿瘤大小、TNM分期、组织学分级、组织学亚型、腋窝淋巴结转移及Ki-67指数等常规临床病理参数无显著相关性(p < 0.05)。结论:我们的数据表明,ALDH1表达与常规临床病理参数(如年龄、TNM分期或组织学分级)无显著相关性。相反,在TNBC患者的单变量分析中,它与较差的生存率相关。其与临床病理因素缺乏相关性,提示其作为补充预后指标的潜在效用。
本文章由计算机程序翻译,如有差异,请以英文原文为准。
求助全文
约1分钟内获得全文 求助全文
来源期刊
Diagnostic Pathology
Diagnostic Pathology 医学-病理学
CiteScore
4.60
自引率
0.00%
发文量
93
审稿时长
1 months
期刊介绍: Diagnostic Pathology is an open access, peer-reviewed, online journal that considers research in surgical and clinical pathology, immunology, and biology, with a special focus on cutting-edge approaches in diagnostic pathology and tissue-based therapy. The journal covers all aspects of surgical pathology, including classic diagnostic pathology, prognosis-related diagnosis (tumor stages, prognosis markers, such as MIB-percentage, hormone receptors, etc.), and therapy-related findings. The journal also focuses on the technological aspects of pathology, including molecular biology techniques, morphometry aspects (stereology, DNA analysis, syntactic structure analysis), communication aspects (telecommunication, virtual microscopy, virtual pathology institutions, etc.), and electronic education and quality assurance (for example interactive publication, on-line references with automated updating, etc.).
×
引用
GB/T 7714-2015
复制
MLA
复制
APA
复制
导出至
BibTeX EndNote RefMan NoteFirst NoteExpress
×
提示
您的信息不完整,为了账户安全,请先补充。
现在去补充
×
提示
您因"违规操作"
具体请查看互助需知
我知道了
×
提示
确定
请完成安全验证×
copy
已复制链接
快去分享给好友吧!
我知道了
右上角分享
点击右上角分享
0
联系我们:info@booksci.cn Book学术提供免费学术资源搜索服务,方便国内外学者检索中英文文献。致力于提供最便捷和优质的服务体验。 Copyright © 2023 布克学术 All rights reserved.
京ICP备2023020795号-1
ghs 京公网安备 11010802042870号
Book学术文献互助
Book学术文献互助群
群 号:604180095
Book学术官方微信