Metastatic endometrial stromal sarcoma with sex cord and neuroendocrine differentiation harboring a complex gene fusion.

IF 2.3 3区 医学 Q2 PATHOLOGY
Rayan Sibira, Katherine Cooke, Aarohi Shah, Xuan Li, Siddhartha Sen, Linda Varghese, Molly Klein
{"title":"Metastatic endometrial stromal sarcoma with sex cord and neuroendocrine differentiation harboring a complex gene fusion.","authors":"Rayan Sibira, Katherine Cooke, Aarohi Shah, Xuan Li, Siddhartha Sen, Linda Varghese, Molly Klein","doi":"10.1186/s13000-025-01720-4","DOIUrl":null,"url":null,"abstract":"<p><strong>Background: </strong>Low-grade endometrial stromal sarcoma (LGESS) is a malignant stromal tumor characterized by an indolent clinical course, often with late recurrence or distant metastasis after a prolonged period of remission. These tumors can exhibit various lineage differentiations, making diagnosis challenging, especially in cases of remote recurrence. Most of these tumors are driven by fusions involving the JAZF1, SUZ12, and/or PHF1 genes.</p><p><strong>Materials and methods: </strong>A case of metastatic endometrial stromal sarcoma was collected. Clinicopathologic and molecular features were documented.</p><p><strong>Results: </strong>A senior lady with a remote history of an unknown uterine neoplasm. Imaging of the chest revealed bilateral, enlarging pulmonary nodules, which were histologically and immunohistochemically characterized as mesenchymal-like neoplastic cells with sex cord and neuroendocrine differentiation. RNA-based next-generation sequencing identified a complex JAZF1::DLG5::PHF1 fusion, confirming a diagnosis of metastatic endometrial stromal sarcoma with sex cord and neuroendocrine differentiation.</p><p><strong>Conclusion: </strong>This report underscores the propensity of low-grade endometrial stromal sarcoma to metastasize after a prolonged period of remission, in which the tumor exhibited sex cord and unique neuroendocrine differentiation. We also present a complex fusion in which the DLG5 gene acts as a 'filler' to maintain the in-frame configuration.</p>","PeriodicalId":11237,"journal":{"name":"Diagnostic Pathology","volume":"20 1","pages":"115"},"PeriodicalIF":2.3000,"publicationDate":"2025-10-16","publicationTypes":"Journal Article","fieldsOfStudy":null,"isOpenAccess":false,"openAccessPdf":"https://www.ncbi.nlm.nih.gov/pmc/articles/PMC12532430/pdf/","citationCount":"0","resultStr":null,"platform":"Semanticscholar","paperid":null,"PeriodicalName":"Diagnostic Pathology","FirstCategoryId":"3","ListUrlMain":"https://doi.org/10.1186/s13000-025-01720-4","RegionNum":3,"RegionCategory":"医学","ArticlePicture":[],"TitleCN":null,"AbstractTextCN":null,"PMCID":null,"EPubDate":"","PubModel":"","JCR":"Q2","JCRName":"PATHOLOGY","Score":null,"Total":0}
引用次数: 0

Abstract

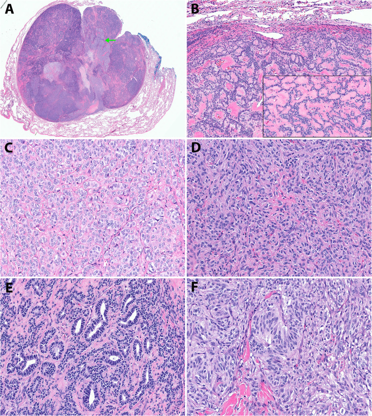
Background: Low-grade endometrial stromal sarcoma (LGESS) is a malignant stromal tumor characterized by an indolent clinical course, often with late recurrence or distant metastasis after a prolonged period of remission. These tumors can exhibit various lineage differentiations, making diagnosis challenging, especially in cases of remote recurrence. Most of these tumors are driven by fusions involving the JAZF1, SUZ12, and/or PHF1 genes.

Materials and methods: A case of metastatic endometrial stromal sarcoma was collected. Clinicopathologic and molecular features were documented.

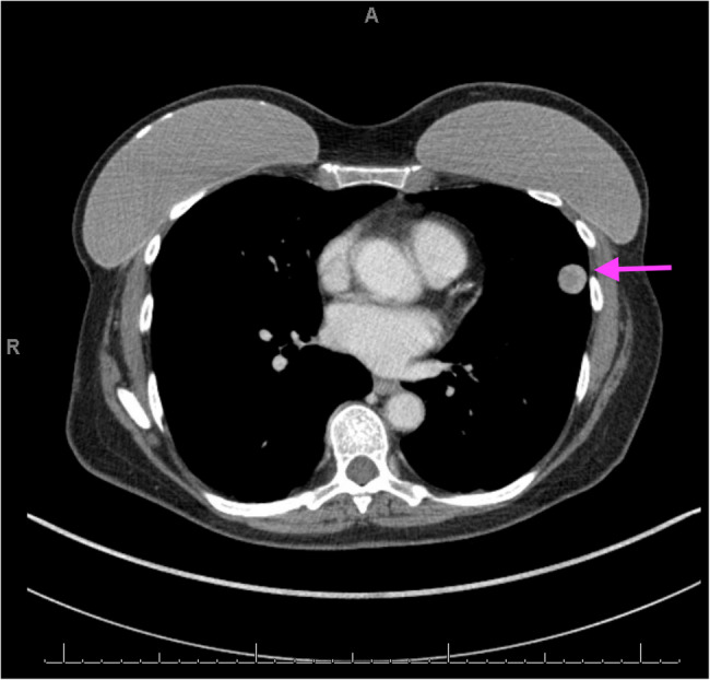
Results: A senior lady with a remote history of an unknown uterine neoplasm. Imaging of the chest revealed bilateral, enlarging pulmonary nodules, which were histologically and immunohistochemically characterized as mesenchymal-like neoplastic cells with sex cord and neuroendocrine differentiation. RNA-based next-generation sequencing identified a complex JAZF1::DLG5::PHF1 fusion, confirming a diagnosis of metastatic endometrial stromal sarcoma with sex cord and neuroendocrine differentiation.

Conclusion: This report underscores the propensity of low-grade endometrial stromal sarcoma to metastasize after a prolonged period of remission, in which the tumor exhibited sex cord and unique neuroendocrine differentiation. We also present a complex fusion in which the DLG5 gene acts as a 'filler' to maintain the in-frame configuration.

Abstract Image

Abstract Image

Abstract Image

转移性子宫内膜间质肉瘤伴性索和神经内分泌分化,具有复杂的基因融合。
背景:低级别子宫内膜间质肉瘤(LGESS)是一种恶性间质肿瘤,临床病程缓慢,常在长期缓解后出现晚期复发或远处转移。这些肿瘤可以表现出各种谱系分化,使诊断具有挑战性,特别是在远处复发的情况下。这些肿瘤大多是由JAZF1、SUZ12和/或PHF1基因的融合驱动的。材料与方法:收集1例转移性子宫内膜间质肉瘤。记录了临床病理和分子特征。结果:一位有不明子宫肿瘤病史的老年妇女。胸部影像学显示双侧增大的肺结节,组织学和免疫组织化学特征为间充质样肿瘤细胞,伴性索和神经内分泌分化。基于rna的下一代测序鉴定出复杂的JAZF1::DLG5::PHF1融合,确认了转移性子宫内膜间质肉瘤伴性索和神经内分泌分化的诊断。结论:本报告强调了低级别子宫内膜间质肉瘤在长时间缓解后的转移倾向,其中肿瘤表现出性索和独特的神经内分泌分化。我们还提出了一种复杂的融合,其中DLG5基因作为“填充物”来维持帧内结构。
本文章由计算机程序翻译,如有差异,请以英文原文为准。
求助全文
约1分钟内获得全文 求助全文
来源期刊
Diagnostic Pathology
Diagnostic Pathology 医学-病理学
CiteScore
4.60
自引率
0.00%
发文量
93
审稿时长
1 months
期刊介绍: Diagnostic Pathology is an open access, peer-reviewed, online journal that considers research in surgical and clinical pathology, immunology, and biology, with a special focus on cutting-edge approaches in diagnostic pathology and tissue-based therapy. The journal covers all aspects of surgical pathology, including classic diagnostic pathology, prognosis-related diagnosis (tumor stages, prognosis markers, such as MIB-percentage, hormone receptors, etc.), and therapy-related findings. The journal also focuses on the technological aspects of pathology, including molecular biology techniques, morphometry aspects (stereology, DNA analysis, syntactic structure analysis), communication aspects (telecommunication, virtual microscopy, virtual pathology institutions, etc.), and electronic education and quality assurance (for example interactive publication, on-line references with automated updating, etc.).
×
引用
GB/T 7714-2015
复制
MLA
复制
APA
复制
导出至
BibTeX EndNote RefMan NoteFirst NoteExpress
×
提示
您的信息不完整,为了账户安全,请先补充。
现在去补充
×
提示
您因"违规操作"
具体请查看互助需知
我知道了
×
提示
确定
请完成安全验证×
copy
已复制链接
快去分享给好友吧!
我知道了
右上角分享
点击右上角分享
0
联系我们:info@booksci.cn Book学术提供免费学术资源搜索服务,方便国内外学者检索中英文文献。致力于提供最便捷和优质的服务体验。 Copyright © 2023 布克学术 All rights reserved.
京ICP备2023020795号-1
ghs 京公网安备 11010802042870号
Book学术文献互助
Book学术文献互助群
群 号:604180095
Book学术官方微信