Influence of Scleral Contact Lenses on Optical Coherence Tomography Parameters in Keratoconus Patients.

IF 3.3 3区 医学 Q1 MEDICINE, GENERAL & INTERNAL
Atılım Armağan Demirtaş, Aytül Arslan, Berna Yüce, Tuncay Küsbeci
{"title":"Influence of Scleral Contact Lenses on Optical Coherence Tomography Parameters in Keratoconus Patients.","authors":"Atılım Armağan Demirtaş, Aytül Arslan, Berna Yüce, Tuncay Küsbeci","doi":"10.3390/diagnostics15192541","DOIUrl":null,"url":null,"abstract":"<p><p><b>Background</b>: This study aimed to evaluate the influence of scleral contact lens (SCL) wear on optical coherence tomography (OCT) scan quality and structural measurements in patients with keratoconus. <b>Methods</b>: This retrospective observational study included 28 eyes of 28 keratoconus patients. All participants underwent a comprehensive ophthalmologic evaluation, including corneal topography and spectral-domain OCT (Optopol REVO 60). Two OCT measurement sessions were performed on the same day: one without SCLs and one after a 30-75 min adaptation period with Mini Misa<sup>®</sup> scleral lenses. Recorded parameters included corneal and epithelial thicknesses, ganglion cell-inner plexiform layer (GCIPL) thickness, retinal nerve fiber layer (RNFL) thickness, and device-reported quality index (QI). Correlation analyses between topographic values, age, and OCT parameters were also conducted. <b>Results</b>: The mean age of participants was 32.96 ± 13.72 years. SCL wear significantly decreased anterior segment QI (6.76 ± 1.73 vs. 5.57 ± 2.34, <i>p</i> = 0.019) but improved posterior segment QI in both the ganglion (2.52 ± 1.03 vs. 5.76 ± 2.17, <i>p</i> < 0.001) and disc (2.82 ± 0.94 vs. 4.39 ± 1.87, <i>p</i> < 0.001) modules. Central corneal thickness remained stable, while central epithelial thickness decreased slightly (50.53 ± 6.66 µm vs. 47.59 ± 7.20 µm, <i>p</i> = 0.007). RNFL and GCIPL thicknesses showed no significant changes, except for minor sectoral variations. Steeper keratometry values correlated with lower QI in both conditions. <b>Conclusions</b>: SCLs enhanced posterior OCT scan quality while reducing anterior segment image clarity. These findings suggest that SCLs not only provide visual rehabilitation but also facilitate more reliable posterior segment imaging in keratoconus patients, despite mild interference with anterior segment OCT metrics. Further prospective studies are warranted to validate these results.</p>","PeriodicalId":11225,"journal":{"name":"Diagnostics","volume":"15 19","pages":""},"PeriodicalIF":3.3000,"publicationDate":"2025-10-09","publicationTypes":"Journal Article","fieldsOfStudy":null,"isOpenAccess":false,"openAccessPdf":"https://www.ncbi.nlm.nih.gov/pmc/articles/PMC12523388/pdf/","citationCount":"0","resultStr":null,"platform":"Semanticscholar","paperid":null,"PeriodicalName":"Diagnostics","FirstCategoryId":"3","ListUrlMain":"https://doi.org/10.3390/diagnostics15192541","RegionNum":3,"RegionCategory":"医学","ArticlePicture":[],"TitleCN":null,"AbstractTextCN":null,"PMCID":null,"EPubDate":"","PubModel":"","JCR":"Q1","JCRName":"MEDICINE, GENERAL & INTERNAL","Score":null,"Total":0}
引用次数: 0

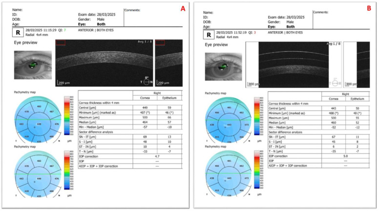
Abstract

Background: This study aimed to evaluate the influence of scleral contact lens (SCL) wear on optical coherence tomography (OCT) scan quality and structural measurements in patients with keratoconus. Methods: This retrospective observational study included 28 eyes of 28 keratoconus patients. All participants underwent a comprehensive ophthalmologic evaluation, including corneal topography and spectral-domain OCT (Optopol REVO 60). Two OCT measurement sessions were performed on the same day: one without SCLs and one after a 30-75 min adaptation period with Mini Misa® scleral lenses. Recorded parameters included corneal and epithelial thicknesses, ganglion cell-inner plexiform layer (GCIPL) thickness, retinal nerve fiber layer (RNFL) thickness, and device-reported quality index (QI). Correlation analyses between topographic values, age, and OCT parameters were also conducted. Results: The mean age of participants was 32.96 ± 13.72 years. SCL wear significantly decreased anterior segment QI (6.76 ± 1.73 vs. 5.57 ± 2.34, p = 0.019) but improved posterior segment QI in both the ganglion (2.52 ± 1.03 vs. 5.76 ± 2.17, p < 0.001) and disc (2.82 ± 0.94 vs. 4.39 ± 1.87, p < 0.001) modules. Central corneal thickness remained stable, while central epithelial thickness decreased slightly (50.53 ± 6.66 µm vs. 47.59 ± 7.20 µm, p = 0.007). RNFL and GCIPL thicknesses showed no significant changes, except for minor sectoral variations. Steeper keratometry values correlated with lower QI in both conditions. Conclusions: SCLs enhanced posterior OCT scan quality while reducing anterior segment image clarity. These findings suggest that SCLs not only provide visual rehabilitation but also facilitate more reliable posterior segment imaging in keratoconus patients, despite mild interference with anterior segment OCT metrics. Further prospective studies are warranted to validate these results.

Abstract Image

Abstract Image

Abstract Image

巩膜隐形眼镜对圆锥角膜患者光学相干断层成像参数的影响。
背景:本研究旨在评估巩膜接触镜(SCL)磨损对圆锥角膜患者光学相干断层扫描(OCT)扫描质量和结构测量的影响。方法:回顾性观察28例圆锥角膜患者的28只眼。所有参与者都进行了全面的眼科评估,包括角膜地形图和光谱域OCT (Optopol REVO 60)。在同一天进行两次OCT测量:一次没有巩膜晶状体,另一次在Mini Misa®巩膜晶状体适应期30-75分钟后进行。记录的参数包括角膜和上皮厚度、神经节细胞-内丛状层(GCIPL)厚度、视网膜神经纤维层(RNFL)厚度和设备报告质量指数(QI)。并对地形值、年龄、OCT参数进行了相关性分析。结果:患者平均年龄32.96±13.72岁。SCL磨损显著降低了前节段QI(6.76±1.73 vs. 5.57±2.34,p = 0.019),但改善了神经节(2.52±1.03 vs. 5.76±2.17,p < 0.001)和椎间盘(2.82±0.94 vs. 4.39±1.87,p < 0.001)模块的后节QI。中央角膜厚度保持稳定,而中央上皮厚度略有下降(50.53±6.66µm vs. 47.59±7.20µm, p = 0.007)。RNFL和GCIPL厚度没有显著变化,除了较小的部门变化。在两种情况下,更陡的角膜测量值与较低的QI相关。结论:scl增强后路OCT扫描质量,降低前段图像清晰度。这些发现表明,尽管对前段OCT指标有轻微干扰,但scl不仅可以提供视力康复,还可以为圆锥角膜患者提供更可靠的后段成像。需要进一步的前瞻性研究来验证这些结果。
本文章由计算机程序翻译,如有差异,请以英文原文为准。
求助全文
约1分钟内获得全文 求助全文
来源期刊
Diagnostics
Diagnostics Biochemistry, Genetics and Molecular Biology-Clinical Biochemistry
CiteScore
4.70
自引率
8.30%
发文量
2699
审稿时长
19.64 days
期刊介绍: Diagnostics (ISSN 2075-4418) is an international scholarly open access journal on medical diagnostics. It publishes original research articles, reviews, communications and short notes on the research and development of medical diagnostics. There is no restriction on the length of the papers. Our aim is to encourage scientists to publish their experimental and theoretical research in as much detail as possible. Full experimental and/or methodological details must be provided for research articles.
×
引用
GB/T 7714-2015
复制
MLA
复制
APA
复制
导出至
BibTeX EndNote RefMan NoteFirst NoteExpress
×
提示
您的信息不完整,为了账户安全,请先补充。
现在去补充
×
提示
您因"违规操作"
具体请查看互助需知
我知道了
×
提示
确定
请完成安全验证×
copy
已复制链接
快去分享给好友吧!
我知道了
右上角分享
点击右上角分享
0
联系我们:info@booksci.cn Book学术提供免费学术资源搜索服务,方便国内外学者检索中英文文献。致力于提供最便捷和优质的服务体验。 Copyright © 2023 布克学术 All rights reserved.
京ICP备2023020795号-1
ghs 京公网安备 11010802042870号
Book学术文献互助
Book学术文献互助群
群 号:604180095
Book学术官方微信