Median Nerve Diameter Ratio on Ultrasound as a Complementary Tool to Electrodiagnostic Testing in Carpal Tunnel Syndrome.

IF 3.3 3区 医学 Q1 MEDICINE, GENERAL & INTERNAL
Thorsten Lehnhardt, Christian Soost, Jan Adriaan Graw, Rene Burchard, Christopher Bliemel, Artur Barsumyan
{"title":"Median Nerve Diameter Ratio on Ultrasound as a Complementary Tool to Electrodiagnostic Testing in Carpal Tunnel Syndrome.","authors":"Thorsten Lehnhardt, Christian Soost, Jan Adriaan Graw, Rene Burchard, Christopher Bliemel, Artur Barsumyan","doi":"10.3390/diagnostics15192464","DOIUrl":null,"url":null,"abstract":"<p><p><b>Background</b>: Carpal tunnel syndrome is a common entrapment neuropathy of the upper limb that has a significant clinical and socioeconomic impact. Sonographic short-axis measurement of the median nerve cross-sectional area is a well-established complement to clinical examination and neurography. This study aimed to evaluate the correlation between the median nerve diameter ratio, distal motor latency, and sensory nerve conduction velocity. <b>Methods</b>: A total of 74 patients (94 hands and 93 evaluations) with carpal tunnel syndrome were examined. Ultrasound was performed using a Siemens Acuson X300 with a 10 MHz linear probe. Median nerve diameters proximal and within the carpal tunnel were measured in a longitudinal scan. The carpal tunnel ratio (proximal diameter/intratunnel diameter) was then calculated and correlated with distal motor latency. <b>Results</b>: No significant correlation was found between distal motor latency and the carpal tunnel ratio (r = 0.018, <i>p</i> = 0.8655). However, a weak, non-significant positive correlation was observed between sensory nerve conduction velocity and carpal tunnel ratio (r = 0.238, <i>p</i> = 0.326). <b>Conclusions</b>: Ultrasound cannot replace electrodiagnostic testing. In this cohort, no statistically significant association was observed between the carpal tunnel ratio and distal motor latency. While our findings do not support the use of this ultrasound parameter as a standalone diagnostic measure, sonographic assessment of the median nerve may still provide complementary information in selected clinical contexts.</p>","PeriodicalId":11225,"journal":{"name":"Diagnostics","volume":"15 19","pages":""},"PeriodicalIF":3.3000,"publicationDate":"2025-09-26","publicationTypes":"Journal Article","fieldsOfStudy":null,"isOpenAccess":false,"openAccessPdf":"https://www.ncbi.nlm.nih.gov/pmc/articles/PMC12524227/pdf/","citationCount":"0","resultStr":null,"platform":"Semanticscholar","paperid":null,"PeriodicalName":"Diagnostics","FirstCategoryId":"3","ListUrlMain":"https://doi.org/10.3390/diagnostics15192464","RegionNum":3,"RegionCategory":"医学","ArticlePicture":[],"TitleCN":null,"AbstractTextCN":null,"PMCID":null,"EPubDate":"","PubModel":"","JCR":"Q1","JCRName":"MEDICINE, GENERAL & INTERNAL","Score":null,"Total":0}
引用次数: 0

Abstract

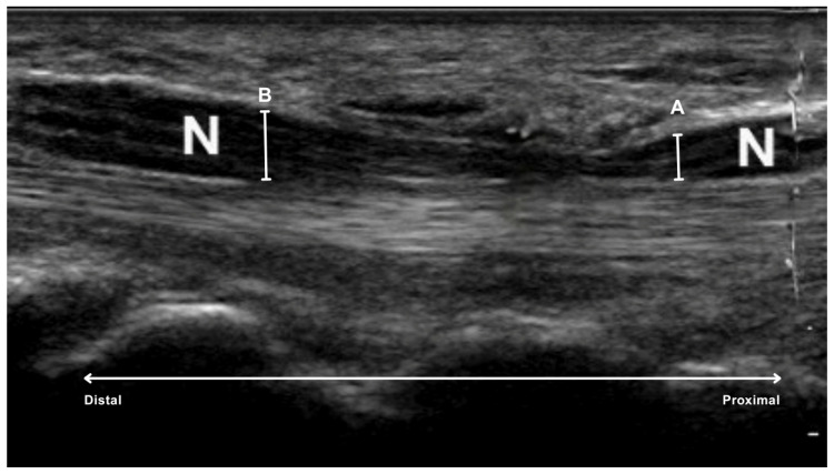
Background: Carpal tunnel syndrome is a common entrapment neuropathy of the upper limb that has a significant clinical and socioeconomic impact. Sonographic short-axis measurement of the median nerve cross-sectional area is a well-established complement to clinical examination and neurography. This study aimed to evaluate the correlation between the median nerve diameter ratio, distal motor latency, and sensory nerve conduction velocity. Methods: A total of 74 patients (94 hands and 93 evaluations) with carpal tunnel syndrome were examined. Ultrasound was performed using a Siemens Acuson X300 with a 10 MHz linear probe. Median nerve diameters proximal and within the carpal tunnel were measured in a longitudinal scan. The carpal tunnel ratio (proximal diameter/intratunnel diameter) was then calculated and correlated with distal motor latency. Results: No significant correlation was found between distal motor latency and the carpal tunnel ratio (r = 0.018, p = 0.8655). However, a weak, non-significant positive correlation was observed between sensory nerve conduction velocity and carpal tunnel ratio (r = 0.238, p = 0.326). Conclusions: Ultrasound cannot replace electrodiagnostic testing. In this cohort, no statistically significant association was observed between the carpal tunnel ratio and distal motor latency. While our findings do not support the use of this ultrasound parameter as a standalone diagnostic measure, sonographic assessment of the median nerve may still provide complementary information in selected clinical contexts.

Abstract Image

Abstract Image

Abstract Image

超声正中神经径比作为腕管综合征电诊断试验的补充工具。
背景:腕管综合征是一种常见的上肢压迫性神经病变,具有显著的临床和社会经济影响。超声短轴测量正中神经横截面积是一种完善的补充临床检查和神经造影。本研究旨在评估正中神经直径比、远端运动潜伏期和感觉神经传导速度之间的相关性。方法:对74例腕管综合征患者(手94例,评价93例)进行检查。超声使用西门子Acuson X300与10 MHz线性探头进行。纵向扫描测量近端和腕管内正中神经直径。然后计算腕管比率(近端直径/隧道内直径)并与远端运动潜伏期相关。结果:远端运动潜伏期与腕管率无显著相关性(r = 0.018, p = 0.8655)。然而,感觉神经传导速度与腕管比率之间存在微弱的、不显著的正相关(r = 0.238, p = 0.326)。结论:超声不能替代电诊断检测。在这个队列中,腕管比率和远端运动潜伏期之间没有统计学上显著的关联。虽然我们的研究结果不支持使用该超声参数作为独立的诊断措施,但正中神经的超声评估仍然可以在选定的临床背景下提供补充信息。
本文章由计算机程序翻译,如有差异,请以英文原文为准。
求助全文
约1分钟内获得全文 求助全文
来源期刊
Diagnostics
Diagnostics Biochemistry, Genetics and Molecular Biology-Clinical Biochemistry
CiteScore
4.70
自引率
8.30%
发文量
2699
审稿时长
19.64 days
期刊介绍: Diagnostics (ISSN 2075-4418) is an international scholarly open access journal on medical diagnostics. It publishes original research articles, reviews, communications and short notes on the research and development of medical diagnostics. There is no restriction on the length of the papers. Our aim is to encourage scientists to publish their experimental and theoretical research in as much detail as possible. Full experimental and/or methodological details must be provided for research articles.
×
引用
GB/T 7714-2015
复制
MLA
复制
APA
复制
导出至
BibTeX EndNote RefMan NoteFirst NoteExpress
×
提示
您的信息不完整,为了账户安全,请先补充。
现在去补充
×
提示
您因"违规操作"
具体请查看互助需知
我知道了
×
提示
确定
请完成安全验证×
copy
已复制链接
快去分享给好友吧!
我知道了
右上角分享
点击右上角分享
0
联系我们:info@booksci.cn Book学术提供免费学术资源搜索服务,方便国内外学者检索中英文文献。致力于提供最便捷和优质的服务体验。 Copyright © 2023 布克学术 All rights reserved.
京ICP备2023020795号-1
ghs 京公网安备 11010802042870号
Book学术文献互助
Book学术文献互助群
群 号:604180095
Book学术官方微信