Blautia luti reduces neratinib-induced diarrhea in a rat model.

IF 3 3区 医学 Q2 HEALTH CARE SCIENCES & SERVICES
Claire P Vieyra, Micaela J Quinn, Emma H Bateman, Hannah R Wardill, Joanne M Bowen
{"title":"Blautia luti reduces neratinib-induced diarrhea in a rat model.","authors":"Claire P Vieyra, Micaela J Quinn, Emma H Bateman, Hannah R Wardill, Joanne M Bowen","doi":"10.1007/s00520-025-09990-w","DOIUrl":null,"url":null,"abstract":"<p><strong>Purpose: </strong>Neratinib is a pan-human epidermal growth factor receptor (HER) tyrosine kinase inhibitor (TKI) used in the treatment of HER2+ breast cancer. Diarrhea is the most commonly reported toxicity, with the majority experiencing at least some grade of diarrhea. The mechanisms behind neratinib-induced diarrhea are yet to be fully defined, but have been linked to gut microbiome changes, specifically decreased levels of the genera Blautia. This study aimed to investigate the efficacy of Blautia luti (B.luti) administered as a daily probiotic on neratinib-induced diarrhea, and its effects on the gut microbiome in a well-established rat model.</p><p><strong>Methods: </strong>Female albino Wistar (AW) rats (n = 40) were randomly allocated to groups including; vehicle control (VC), neratinib alone, B.luti alone and neratinib + B.luti in different schedules (Pre, Pre & Post or Post). Daily oral gavage administration of B.luti (10<sup>7</sup>CFU/ml) was given according to corresponding schedules, alongside a 28-day cycle of neratinib (50 mg/kg). Diarrhea was graded daily, and faecal samples collected for gut microbiome analysis at study end. Ileum and colon samples were collected for intestinal analysis. 16S rRNA gene sequencing was performed on faecal samples and H&E performed on intestinal tissue for injury evaluation.</p><p><strong>Results: </strong>Grade 3 diarrhea was reduced in the Post group when compared to the neratinib alone group (p = 0.0122). No significant differences were seen in the tissue injury scores of the ileum or colon. There was no significant change in microbial composition with B.luti administration.</p><p><strong>Conclusion: </strong>This study demonstrated that administration of B.luti supplementation, was effective in reducing neratinib-induced diarrhea severity when consumed concurrently. This administration schedule may have a protective role in the intestines through immunomodulation.</p>","PeriodicalId":22046,"journal":{"name":"Supportive Care in Cancer","volume":"33 11","pages":"948"},"PeriodicalIF":3.0000,"publicationDate":"2025-10-14","publicationTypes":"Journal Article","fieldsOfStudy":null,"isOpenAccess":false,"openAccessPdf":"https://www.ncbi.nlm.nih.gov/pmc/articles/PMC12521284/pdf/","citationCount":"0","resultStr":null,"platform":"Semanticscholar","paperid":null,"PeriodicalName":"Supportive Care in Cancer","FirstCategoryId":"3","ListUrlMain":"https://doi.org/10.1007/s00520-025-09990-w","RegionNum":3,"RegionCategory":"医学","ArticlePicture":[],"TitleCN":null,"AbstractTextCN":null,"PMCID":null,"EPubDate":"","PubModel":"","JCR":"Q2","JCRName":"HEALTH CARE SCIENCES & SERVICES","Score":null,"Total":0}
引用次数: 0

Abstract

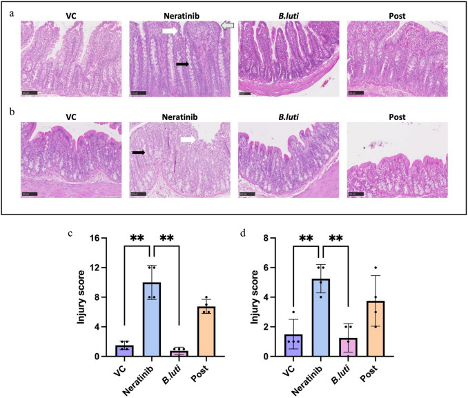
Purpose: Neratinib is a pan-human epidermal growth factor receptor (HER) tyrosine kinase inhibitor (TKI) used in the treatment of HER2+ breast cancer. Diarrhea is the most commonly reported toxicity, with the majority experiencing at least some grade of diarrhea. The mechanisms behind neratinib-induced diarrhea are yet to be fully defined, but have been linked to gut microbiome changes, specifically decreased levels of the genera Blautia. This study aimed to investigate the efficacy of Blautia luti (B.luti) administered as a daily probiotic on neratinib-induced diarrhea, and its effects on the gut microbiome in a well-established rat model.

Methods: Female albino Wistar (AW) rats (n = 40) were randomly allocated to groups including; vehicle control (VC), neratinib alone, B.luti alone and neratinib + B.luti in different schedules (Pre, Pre & Post or Post). Daily oral gavage administration of B.luti (107CFU/ml) was given according to corresponding schedules, alongside a 28-day cycle of neratinib (50 mg/kg). Diarrhea was graded daily, and faecal samples collected for gut microbiome analysis at study end. Ileum and colon samples were collected for intestinal analysis. 16S rRNA gene sequencing was performed on faecal samples and H&E performed on intestinal tissue for injury evaluation.

Results: Grade 3 diarrhea was reduced in the Post group when compared to the neratinib alone group (p = 0.0122). No significant differences were seen in the tissue injury scores of the ileum or colon. There was no significant change in microbial composition with B.luti administration.

Conclusion: This study demonstrated that administration of B.luti supplementation, was effective in reducing neratinib-induced diarrhea severity when consumed concurrently. This administration schedule may have a protective role in the intestines through immunomodulation.

Abstract Image

Abstract Image

Abstract Image

在大鼠模型中,蓝杆菌可减少纳伐替尼引起的腹泻。
目的:Neratinib是一种泛人表皮生长因子受体(HER)酪氨酸激酶抑制剂(TKI),用于治疗HER2+乳腺癌。腹泻是最常见的毒性报告,大多数人至少有一定程度的腹泻。纳拉替尼诱发腹泻的机制尚未完全确定,但与肠道微生物组的变化有关,特别是Blautia属水平的降低。本研究旨在探讨卢蒂蓝菌(Blautia luti, B.luti)作为每日益生菌对纳拉替尼引起的腹泻的疗效,以及其对建立的大鼠模型肠道微生物组的影响。方法:雌性白化Wistar (AW)大鼠40只,随机分为:整车控制(VC)、neratinib单用、B.luti单用和neratinib + B。luti在不同的时间表(Pre, Pre & Post或Post)。根据相应的时间表,每日口服给药B.luti (107CFU/ml),同时给予neratinib (50 mg/kg) 28天周期。每天对腹泻进行分级,并在研究结束时收集粪便样本进行肠道微生物组分析。收集回肠和结肠样本进行肠道分析。对粪便样本进行16S rRNA基因测序,对肠组织进行H&E评估损伤情况。结果:与单用奈拉替尼组相比,Post组3级腹泻减少(p = 0.0122)。回肠和结肠组织损伤评分差异无统计学意义。给药后肠道微生物组成无明显变化。结论:本研究表明,当同时服用纳拉替尼时,补充B.luti可有效降低纳拉替尼引起的腹泻严重程度。这种给药方案可能通过免疫调节对肠道具有保护作用。
本文章由计算机程序翻译,如有差异,请以英文原文为准。
求助全文
约1分钟内获得全文 求助全文
来源期刊
Supportive Care in Cancer
Supportive Care in Cancer 医学-康复医学
CiteScore
5.70
自引率
9.70%
发文量
751
审稿时长
3 months
期刊介绍: Supportive Care in Cancer provides members of the Multinational Association of Supportive Care in Cancer (MASCC) and all other interested individuals, groups and institutions with the most recent scientific and social information on all aspects of supportive care in cancer patients. It covers primarily medical, technical and surgical topics concerning supportive therapy and care which may supplement or substitute basic cancer treatment at all stages of the disease. Nursing, rehabilitative, psychosocial and spiritual issues of support are also included.
×
引用
GB/T 7714-2015
复制
MLA
复制
APA
复制
导出至
BibTeX EndNote RefMan NoteFirst NoteExpress
×
提示
您的信息不完整,为了账户安全,请先补充。
现在去补充
×
提示
您因"违规操作"
具体请查看互助需知
我知道了
×
提示
确定
请完成安全验证×
copy
已复制链接
快去分享给好友吧!
我知道了
右上角分享
点击右上角分享
0
联系我们:info@booksci.cn Book学术提供免费学术资源搜索服务,方便国内外学者检索中英文文献。致力于提供最便捷和优质的服务体验。 Copyright © 2023 布克学术 All rights reserved.
京ICP备2023020795号-1
ghs 京公网安备 11010802042870号
Book学术文献互助
Book学术文献互助群
群 号:604180095
Book学术官方微信