Low-grade NTRK-rearranged spindle cell neoplasm presenting as a colonic polyp and managed by polypectomy: a rare case report and literature review.

IF 2.3 3区 医学 Q2 PATHOLOGY
Gertruda Evaristo, Namrata Setia, Peng Wang, Peter Pytel, Lindsay Alpert
{"title":"Low-grade NTRK-rearranged spindle cell neoplasm presenting as a colonic polyp and managed by polypectomy: a rare case report and literature review.","authors":"Gertruda Evaristo, Namrata Setia, Peng Wang, Peter Pytel, Lindsay Alpert","doi":"10.1186/s13000-025-01713-3","DOIUrl":null,"url":null,"abstract":"<p><strong>Background: </strong>NTRK-rearranged spindle cell neoplasms constitute a novel, heterogeneous group of mesenchymal neoplasms originally described predominantly in soft tissue locations. They are commonly characterized by co-expression of S100 and CD34 immunostains and presence of NTRK fusions. While exceedingly rare, there are increasing reports of this lesion involving the gastrointestinal tract, presenting predominantly as large masses of the stomach, small bowel and colorectum.</p><p><strong>Case presentation: </strong>We present a case of a 37-year-old male who on colonoscopy was found to have a one cm polyp of the sigmoid colon which was removed by hot snare polypectomy. Histologic examination revealed haphazardly arranged bland spindle cells with diffuse CD34 and S100 co-expression. A targeted Next-Generation RNA Fusion Assay identified a TPR::NTRK1 fusion, confirming the diagnosis of low-grade NTRK-rearranged spindle cell neoplasm. The mucosal and deep margins were free of tumor. In contrast to the previously reported cases, the patient was managed with polypectomy and active surveillance, and remained disease-free at 14 months follow up.</p><p><strong>Conclusion: </strong>This case contributes to the limited body of literature on gastrointestinal low-grade NTRK-rearranged spindle cell neoplasms and raises the possibility of endoscopic treatment consideration for carefully selected patients.</p>","PeriodicalId":11237,"journal":{"name":"Diagnostic Pathology","volume":"20 1","pages":"111"},"PeriodicalIF":2.3000,"publicationDate":"2025-10-14","publicationTypes":"Journal Article","fieldsOfStudy":null,"isOpenAccess":false,"openAccessPdf":"https://www.ncbi.nlm.nih.gov/pmc/articles/PMC12522387/pdf/","citationCount":"0","resultStr":null,"platform":"Semanticscholar","paperid":null,"PeriodicalName":"Diagnostic Pathology","FirstCategoryId":"3","ListUrlMain":"https://doi.org/10.1186/s13000-025-01713-3","RegionNum":3,"RegionCategory":"医学","ArticlePicture":[],"TitleCN":null,"AbstractTextCN":null,"PMCID":null,"EPubDate":"","PubModel":"","JCR":"Q2","JCRName":"PATHOLOGY","Score":null,"Total":0}
引用次数: 0

Abstract

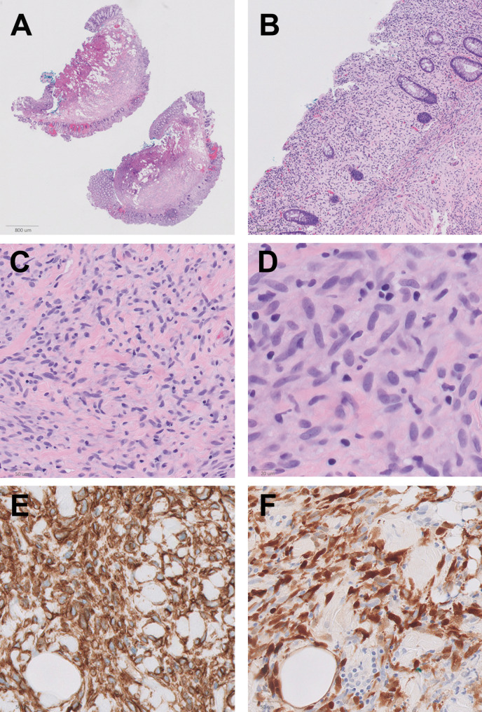
Background: NTRK-rearranged spindle cell neoplasms constitute a novel, heterogeneous group of mesenchymal neoplasms originally described predominantly in soft tissue locations. They are commonly characterized by co-expression of S100 and CD34 immunostains and presence of NTRK fusions. While exceedingly rare, there are increasing reports of this lesion involving the gastrointestinal tract, presenting predominantly as large masses of the stomach, small bowel and colorectum.

Case presentation: We present a case of a 37-year-old male who on colonoscopy was found to have a one cm polyp of the sigmoid colon which was removed by hot snare polypectomy. Histologic examination revealed haphazardly arranged bland spindle cells with diffuse CD34 and S100 co-expression. A targeted Next-Generation RNA Fusion Assay identified a TPR::NTRK1 fusion, confirming the diagnosis of low-grade NTRK-rearranged spindle cell neoplasm. The mucosal and deep margins were free of tumor. In contrast to the previously reported cases, the patient was managed with polypectomy and active surveillance, and remained disease-free at 14 months follow up.

Conclusion: This case contributes to the limited body of literature on gastrointestinal low-grade NTRK-rearranged spindle cell neoplasms and raises the possibility of endoscopic treatment consideration for carefully selected patients.

Abstract Image

Abstract Image

Abstract Image

低级别ntrk重排梭形细胞肿瘤表现为结肠息肉并行息肉切除术:罕见病例报告及文献复习。
背景:ntrk重排梭形细胞肿瘤是一种新的异质性间质肿瘤,最初主要发生在软组织部位。它们通常以S100和CD34免疫染色共表达和存在NTRK融合为特征。虽然非常罕见,但有越来越多的报道称这种病变累及胃肠道,主要表现为胃、小肠和结直肠的大块肿块。病例介绍:我们报告一个37岁男性的病例,他在结肠镜检查时发现乙状结肠有一个1厘米的息肉,并通过热陷阱息肉切除术切除。组织学检查显示无组织排列的淡色梭形细胞弥漫性CD34和S100共表达。靶向的下一代RNA融合实验发现TPR::NTRK1融合,证实了低级别ntrk重排梭形细胞肿瘤的诊断。粘膜及深缘未见肿瘤。与先前报道的病例相比,患者接受了息肉切除术和积极监测,并在14个月的随访中保持无疾病。结论:本病例增加了胃肠低级别ntrk重排梭形细胞肿瘤文献的局限性,并提出了对精心挑选的患者考虑内镜治疗的可能性。
本文章由计算机程序翻译,如有差异,请以英文原文为准。
求助全文
约1分钟内获得全文 求助全文
来源期刊
Diagnostic Pathology
Diagnostic Pathology 医学-病理学
CiteScore
4.60
自引率
0.00%
发文量
93
审稿时长
1 months
期刊介绍: Diagnostic Pathology is an open access, peer-reviewed, online journal that considers research in surgical and clinical pathology, immunology, and biology, with a special focus on cutting-edge approaches in diagnostic pathology and tissue-based therapy. The journal covers all aspects of surgical pathology, including classic diagnostic pathology, prognosis-related diagnosis (tumor stages, prognosis markers, such as MIB-percentage, hormone receptors, etc.), and therapy-related findings. The journal also focuses on the technological aspects of pathology, including molecular biology techniques, morphometry aspects (stereology, DNA analysis, syntactic structure analysis), communication aspects (telecommunication, virtual microscopy, virtual pathology institutions, etc.), and electronic education and quality assurance (for example interactive publication, on-line references with automated updating, etc.).
×
引用
GB/T 7714-2015
复制
MLA
复制
APA
复制
导出至
BibTeX EndNote RefMan NoteFirst NoteExpress
×
提示
您的信息不完整,为了账户安全,请先补充。
现在去补充
×
提示
您因"违规操作"
具体请查看互助需知
我知道了
×
提示
确定
请完成安全验证×
copy
已复制链接
快去分享给好友吧!
我知道了
右上角分享
点击右上角分享
0
联系我们:info@booksci.cn Book学术提供免费学术资源搜索服务,方便国内外学者检索中英文文献。致力于提供最便捷和优质的服务体验。 Copyright © 2023 布克学术 All rights reserved.
京ICP备2023020795号-1
ghs 京公网安备 11010802042870号
Book学术文献互助
Book学术文献互助群
群 号:604180095
Book学术官方微信