Primary malignant melanoma of the lung with C-KIT mutation and SRD5A3-KIT fusion.

IF 2.3 3区 医学 Q2 PATHOLOGY
Lan Shen, Pei Guo, Mingzhen Li, Ting Jiang, Anjia Han, Xiaojuan Pei
{"title":"Primary malignant melanoma of the lung with C-KIT mutation and SRD5A3-KIT fusion.","authors":"Lan Shen, Pei Guo, Mingzhen Li, Ting Jiang, Anjia Han, Xiaojuan Pei","doi":"10.1186/s13000-025-01711-5","DOIUrl":null,"url":null,"abstract":"<p><strong>Background: </strong>Primary pulmonary malignant melanoma (PMML), an exceedingly rare aggressive neoplasm originating from bronchial mucosal melanocytes, is characterized by early metastatic dissemination and high mortality. While over 95% of malignant melanomas are cutaneous in origin, fewer than 80 PMML cases have been documented globally. The molecular pathogenesis of PMML remains poorly defined, with less prior genomic studies utilizing Next-generation sequencing (NGS) reported to date.</p><p><strong>Case presentation: </strong>A 68-year-old asymptomatic woman was referred to our institution in June 2022 after a routine health screening revealed a solitary pulmonary nodule. Chest CT demonstrated a 1.2 cm × 0.8 cm hypodense nodular opacity nodule in the posterior segment of the left upper lobe. The lesion remained stable during a 2-month observation period. Despite the absence of respiratory symptoms (e.g., cough, hemoptysis) or constitutional signs (e.g., weight loss), the patient elected surgical resection due to persistent malignancy concerns.</p><p><strong>Conclusion: </strong>Histopathological examination revealed tumor cells exhibiting epithelioid to spindle-shaped morphology, characterized by prominent nucleoli and intracytoplasmic melanin deposition (hematoxylin and eosin staining). Immunohistochemical analysis demonstrated diffuse and strong positivity for S-100, HMB-45, and Melan-A. Based on the histomorphological features and immunohistochemical profile, a diagnosis of malignant melanoma was established. NGS detected a somatic KIT exon 11 mutation (c.1727 T > C, p. Leu576Pro; variant allele frequency: 20.1%) and identified an SRD5A3-KIT gene fusion involving transcript variants NM_024592.4 (SRD5A3) and NM_000222.2 (KIT), with breakpoints in Exon 5 of SRD5A3 and Exon 6 of KIT. The fusion variant showed a somatic mutation frequency of 24.8%. These findings not only expand the molecular landscape of PMML but also suggest therapeutic opportunities through targeted kinase inhibition. This case underscores the critical role of integrated multimodal analysis (radiological-pathological-molecular) in characterizing rare malignancies.</p>","PeriodicalId":11237,"journal":{"name":"Diagnostic Pathology","volume":"20 1","pages":"113"},"PeriodicalIF":2.3000,"publicationDate":"2025-10-14","publicationTypes":"Journal Article","fieldsOfStudy":null,"isOpenAccess":false,"openAccessPdf":"https://www.ncbi.nlm.nih.gov/pmc/articles/PMC12522767/pdf/","citationCount":"0","resultStr":null,"platform":"Semanticscholar","paperid":null,"PeriodicalName":"Diagnostic Pathology","FirstCategoryId":"3","ListUrlMain":"https://doi.org/10.1186/s13000-025-01711-5","RegionNum":3,"RegionCategory":"医学","ArticlePicture":[],"TitleCN":null,"AbstractTextCN":null,"PMCID":null,"EPubDate":"","PubModel":"","JCR":"Q2","JCRName":"PATHOLOGY","Score":null,"Total":0}
引用次数: 0

Abstract

Background: Primary pulmonary malignant melanoma (PMML), an exceedingly rare aggressive neoplasm originating from bronchial mucosal melanocytes, is characterized by early metastatic dissemination and high mortality. While over 95% of malignant melanomas are cutaneous in origin, fewer than 80 PMML cases have been documented globally. The molecular pathogenesis of PMML remains poorly defined, with less prior genomic studies utilizing Next-generation sequencing (NGS) reported to date.

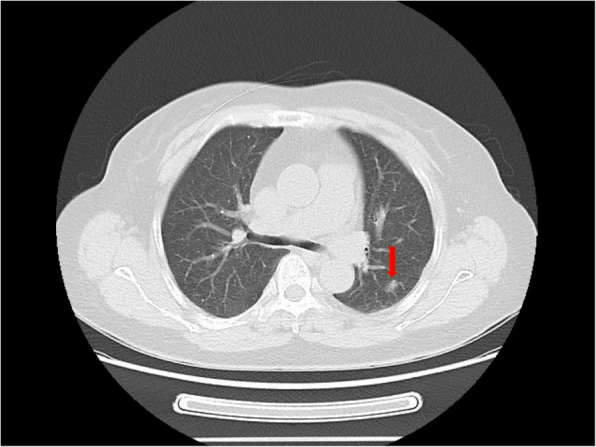
Case presentation: A 68-year-old asymptomatic woman was referred to our institution in June 2022 after a routine health screening revealed a solitary pulmonary nodule. Chest CT demonstrated a 1.2 cm × 0.8 cm hypodense nodular opacity nodule in the posterior segment of the left upper lobe. The lesion remained stable during a 2-month observation period. Despite the absence of respiratory symptoms (e.g., cough, hemoptysis) or constitutional signs (e.g., weight loss), the patient elected surgical resection due to persistent malignancy concerns.

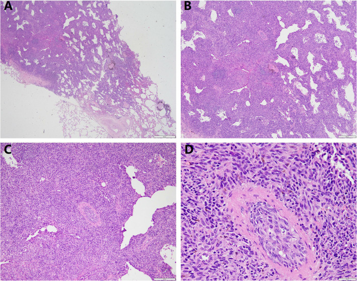
Conclusion: Histopathological examination revealed tumor cells exhibiting epithelioid to spindle-shaped morphology, characterized by prominent nucleoli and intracytoplasmic melanin deposition (hematoxylin and eosin staining). Immunohistochemical analysis demonstrated diffuse and strong positivity for S-100, HMB-45, and Melan-A. Based on the histomorphological features and immunohistochemical profile, a diagnosis of malignant melanoma was established. NGS detected a somatic KIT exon 11 mutation (c.1727 T > C, p. Leu576Pro; variant allele frequency: 20.1%) and identified an SRD5A3-KIT gene fusion involving transcript variants NM_024592.4 (SRD5A3) and NM_000222.2 (KIT), with breakpoints in Exon 5 of SRD5A3 and Exon 6 of KIT. The fusion variant showed a somatic mutation frequency of 24.8%. These findings not only expand the molecular landscape of PMML but also suggest therapeutic opportunities through targeted kinase inhibition. This case underscores the critical role of integrated multimodal analysis (radiological-pathological-molecular) in characterizing rare malignancies.

Abstract Image

Abstract Image

Abstract Image

伴有C-KIT突变和SRD5A3-KIT融合的原发性肺恶性黑色素瘤。
背景:原发性肺恶性黑色素瘤(PMML)是一种起源于支气管粘膜黑色素细胞的极其罕见的侵袭性肿瘤,其特点是早期转移传播和高死亡率。虽然95%以上的恶性黑色素瘤起源于皮肤,但全球记录的PMML病例不到80例。PMML的分子发病机制仍然不明确,迄今为止使用下一代测序(NGS)的基因组研究报告较少。病例介绍:一名68岁无症状女性于2022年6月在常规健康筛查后被转介到我们机构,发现一个孤立的肺结节。胸部CT示左上肺叶后段一1.2 cm × 0.8 cm低密度结节性不透明结节。在2个月的观察期间,病变保持稳定。尽管没有呼吸道症状(如咳嗽、咯血)或体质体征(如体重减轻),但由于持续的恶性肿瘤担忧,患者选择手术切除。结论:组织病理学检查显示肿瘤细胞呈上皮样至梭形形态,核仁突出,胞浆内黑色素沉积(苏木精和伊红染色)。免疫组化分析显示S-100、HMB-45和Melan-A呈弥漫性和强阳性。根据组织形态学特征和免疫组化特征,诊断为恶性黑色素瘤。NGS检测到体细胞KIT外显子11突变(c.1727)T > C, p. Leu576Pro;变异等位基因频率:20.1%),鉴定出SRD5A3-KIT基因融合,涉及转录物变体NM_024592.4 (SRD5A3)和NM_000222.2 (KIT),断点位于SRD5A3的外显子5和KIT的外显子6。融合变异的体细胞突变频率为24.8%。这些发现不仅扩大了PMML的分子格局,而且表明了通过靶向激酶抑制治疗PMML的机会。该病例强调了综合多模式分析(放射-病理-分子)在罕见恶性肿瘤特征中的关键作用。
本文章由计算机程序翻译,如有差异,请以英文原文为准。
求助全文
约1分钟内获得全文 求助全文
来源期刊
Diagnostic Pathology
Diagnostic Pathology 医学-病理学
CiteScore
4.60
自引率
0.00%
发文量
93
审稿时长
1 months
期刊介绍: Diagnostic Pathology is an open access, peer-reviewed, online journal that considers research in surgical and clinical pathology, immunology, and biology, with a special focus on cutting-edge approaches in diagnostic pathology and tissue-based therapy. The journal covers all aspects of surgical pathology, including classic diagnostic pathology, prognosis-related diagnosis (tumor stages, prognosis markers, such as MIB-percentage, hormone receptors, etc.), and therapy-related findings. The journal also focuses on the technological aspects of pathology, including molecular biology techniques, morphometry aspects (stereology, DNA analysis, syntactic structure analysis), communication aspects (telecommunication, virtual microscopy, virtual pathology institutions, etc.), and electronic education and quality assurance (for example interactive publication, on-line references with automated updating, etc.).
×
引用
GB/T 7714-2015
复制
MLA
复制
APA
复制
导出至
BibTeX EndNote RefMan NoteFirst NoteExpress
×
提示
您的信息不完整,为了账户安全,请先补充。
现在去补充
×
提示
您因"违规操作"
具体请查看互助需知
我知道了
×
提示
确定
请完成安全验证×
copy
已复制链接
快去分享给好友吧!
我知道了
右上角分享
点击右上角分享
0
联系我们:info@booksci.cn Book学术提供免费学术资源搜索服务,方便国内外学者检索中英文文献。致力于提供最便捷和优质的服务体验。 Copyright © 2023 布克学术 All rights reserved.
京ICP备2023020795号-1
ghs 京公网安备 11010802042870号
Book学术文献互助
Book学术文献互助群
群 号:604180095
Book学术官方微信