A Rare Case of Sacrococcygeal Pilonidal Abscess Caused by Coinfection of Actinomyces Turicensis and Actinotignum Schaalii: A Case Report.

IF 2.9 3区 医学 Q2 INFECTIOUS DISEASES
Infection and Drug Resistance Pub Date : 2025-10-04 eCollection Date: 2025-01-01 DOI:10.2147/IDR.S550162
Jiayuan Ye, Shanshan Zhao, Yilian Xie, Qiuqin Mao, Lijun Chen, Bing Shen, Yuxiang Xu
{"title":"A Rare Case of Sacrococcygeal Pilonidal Abscess Caused by Coinfection of <i>Actinomyces Turicensis</i> and <i>Actinotignum Schaalii</i>: A Case Report.","authors":"Jiayuan Ye, Shanshan Zhao, Yilian Xie, Qiuqin Mao, Lijun Chen, Bing Shen, Yuxiang Xu","doi":"10.2147/IDR.S550162","DOIUrl":null,"url":null,"abstract":"<p><p>Sacrococcygeal pilonidal abscesses are typically caused by <i>anaerobic</i> and Gram-negative bacteria due to their anatomical proximity to the anus; however, mixed infections involving <i>Actinomyces</i> and <i>Actinotignum</i> species are exceptionally rare, and to our knowledge, this is the first reported case of a sacrococcygeal pilonidal abscesses caused by Actinomyces turicensis and Actinotignum schaalii. The patient, an 18-year-old female, presented with one week of localized pain, redness, and swelling, which failed to respond to conventional antibiotics. Pelvic CT revealed an abscess, prompting surgical debridement and subsequent recovery. Rapid pathogen identification was achieved using Matrix-Assisted Laser Desorption/Ionization Time-of-Flight Mass Spectrometry (MALDI-TOF MS) from a single colony culture. This case underscores the importance of microbiological identification using tools like MALDI-TOF MS to recognize uncommon pathogens, which is critical for avoiding ineffective empiric antibiotics and guiding appropriate therapy. Further research is needed to optimize management strategies for such rare infections.</p>","PeriodicalId":13577,"journal":{"name":"Infection and Drug Resistance","volume":"18 ","pages":"5249-5256"},"PeriodicalIF":2.9000,"publicationDate":"2025-10-04","publicationTypes":"Journal Article","fieldsOfStudy":null,"isOpenAccess":false,"openAccessPdf":"https://www.ncbi.nlm.nih.gov/pmc/articles/PMC12506780/pdf/","citationCount":"0","resultStr":null,"platform":"Semanticscholar","paperid":null,"PeriodicalName":"Infection and Drug Resistance","FirstCategoryId":"3","ListUrlMain":"https://doi.org/10.2147/IDR.S550162","RegionNum":3,"RegionCategory":"医学","ArticlePicture":[],"TitleCN":null,"AbstractTextCN":null,"PMCID":null,"EPubDate":"2025/1/1 0:00:00","PubModel":"eCollection","JCR":"Q2","JCRName":"INFECTIOUS DISEASES","Score":null,"Total":0}
引用次数: 0

Abstract

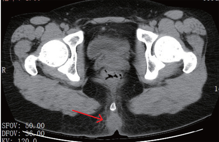
Sacrococcygeal pilonidal abscesses are typically caused by anaerobic and Gram-negative bacteria due to their anatomical proximity to the anus; however, mixed infections involving Actinomyces and Actinotignum species are exceptionally rare, and to our knowledge, this is the first reported case of a sacrococcygeal pilonidal abscesses caused by Actinomyces turicensis and Actinotignum schaalii. The patient, an 18-year-old female, presented with one week of localized pain, redness, and swelling, which failed to respond to conventional antibiotics. Pelvic CT revealed an abscess, prompting surgical debridement and subsequent recovery. Rapid pathogen identification was achieved using Matrix-Assisted Laser Desorption/Ionization Time-of-Flight Mass Spectrometry (MALDI-TOF MS) from a single colony culture. This case underscores the importance of microbiological identification using tools like MALDI-TOF MS to recognize uncommon pathogens, which is critical for avoiding ineffective empiric antibiotics and guiding appropriate therapy. Further research is needed to optimize management strategies for such rare infections.

Abstract Image

Abstract Image

图利放线菌与沙利放线菌合并感染致骶尾骨毛突脓肿1例。
骶尾骨毛毛脓肿通常是由厌氧菌和革兰氏阴性菌引起的,因为它们在解剖学上靠近肛门;然而,涉及放线菌和放线菌的混合感染是非常罕见的,据我们所知,这是第一例由turicomyces和Actinotignum schaalii引起的骶尾骨毛毛脓肿。患者为18岁女性,表现为局部疼痛、红肿一周,常规抗生素治疗无效。盆腔CT显示一个脓肿,促使手术清创和随后的恢复。利用基质辅助激光解吸/电离飞行时间质谱法(MALDI-TOF MS)从单个菌落培养中实现了病原体的快速鉴定。该病例强调了使用MALDI-TOF MS等工具识别罕见病原体的微生物鉴定的重要性,这对于避免无效的经验性抗生素和指导适当的治疗至关重要。需要进一步研究以优化此类罕见感染的管理策略。
本文章由计算机程序翻译,如有差异,请以英文原文为准。
求助全文
约1分钟内获得全文 求助全文
来源期刊
Infection and Drug Resistance
Infection and Drug Resistance Medicine-Pharmacology (medical)
CiteScore
5.60
自引率
7.70%
发文量
826
审稿时长
16 weeks
期刊介绍: About Journal Editors Peer Reviewers Articles Article Publishing Charges Aims and Scope Call For Papers ISSN: 1178-6973 Editor-in-Chief: Professor Suresh Antony An international, peer-reviewed, open access journal that focuses on the optimal treatment of infection (bacterial, fungal and viral) and the development and institution of preventative strategies to minimize the development and spread of resistance.
×
引用
GB/T 7714-2015
复制
MLA
复制
APA
复制
导出至
BibTeX EndNote RefMan NoteFirst NoteExpress
×
提示
您的信息不完整,为了账户安全,请先补充。
现在去补充
×
提示
您因"违规操作"
具体请查看互助需知
我知道了
×
提示
确定
请完成安全验证×
copy
已复制链接
快去分享给好友吧!
我知道了
右上角分享
点击右上角分享
0
联系我们:info@booksci.cn Book学术提供免费学术资源搜索服务,方便国内外学者检索中英文文献。致力于提供最便捷和优质的服务体验。 Copyright © 2023 布克学术 All rights reserved.
京ICP备2023020795号-1
ghs 京公网安备 11010802042870号
Book学术文献互助
Book学术文献互助群
群 号:604180095
Book学术官方微信