Clostridioides difficile Bacteremia in an Elderly Female Patient After Colon Cancer Surgery.

IF 2.9 3区 医学 Q2 INFECTIOUS DISEASES
Infection and Drug Resistance Pub Date : 2025-10-04 eCollection Date: 2025-01-01 DOI:10.2147/IDR.S557503
Zhulan Yang, Kun Wang, Yi Liu, Xiaohong Xiang, Zhen Zhang
{"title":"<i>Clostridioides difficile</i> Bacteremia in an Elderly Female Patient After Colon Cancer Surgery.","authors":"Zhulan Yang, Kun Wang, Yi Liu, Xiaohong Xiang, Zhen Zhang","doi":"10.2147/IDR.S557503","DOIUrl":null,"url":null,"abstract":"<p><p><i>Clostridioides difficile</i> infection (CDI) is a major healthcare-associated concern, particularly in the elderly. While CDI typically manifests as toxin-mediated colitis, hematogenous dissemination leading to bacteremia is relatively rare and associated with high mortality. We report an unusual case of <i>C. difficile</i> bacteremia in an octogenarian female patient occurring shortly after right hemicolectomy for ascending colon adenocarcinoma. This critically ill patient presented with bloodstream infection in the ICU following surgery. Multiple risk factors converged, including advanced age, extensive colorectal surgery with mucosal disruption, malignancy, and broad-spectrum antibiotic exposure. Blood culture identification required specific anaerobic processing. Combined intravenous and high-dose oral vancomycin therapy, guided by rapid microbiological confirmation, led to successful resolution of the bacteremia. This case underscores the potential for life-threatening <i>C. difficile</i> bacteremia in vulnerable elderly patients post-colorectal cancer surgery, highlights the diagnostic challenges (necessitating anaerobic blood cultures), and emphasizes the critical importance of early suspicion, aggressive multimodal therapy, and meticulous antimicrobial stewardship in this high-risk population. It serves as a crucial reminder of this devastating complication.</p>","PeriodicalId":13577,"journal":{"name":"Infection and Drug Resistance","volume":"18 ","pages":"5257-5262"},"PeriodicalIF":2.9000,"publicationDate":"2025-10-04","publicationTypes":"Journal Article","fieldsOfStudy":null,"isOpenAccess":false,"openAccessPdf":"https://www.ncbi.nlm.nih.gov/pmc/articles/PMC12506774/pdf/","citationCount":"0","resultStr":null,"platform":"Semanticscholar","paperid":null,"PeriodicalName":"Infection and Drug Resistance","FirstCategoryId":"3","ListUrlMain":"https://doi.org/10.2147/IDR.S557503","RegionNum":3,"RegionCategory":"医学","ArticlePicture":[],"TitleCN":null,"AbstractTextCN":null,"PMCID":null,"EPubDate":"2025/1/1 0:00:00","PubModel":"eCollection","JCR":"Q2","JCRName":"INFECTIOUS DISEASES","Score":null,"Total":0}
引用次数: 0

Abstract

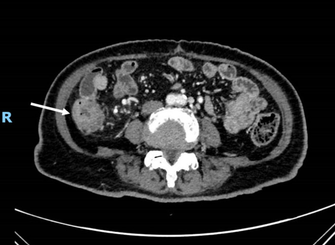
Clostridioides difficile infection (CDI) is a major healthcare-associated concern, particularly in the elderly. While CDI typically manifests as toxin-mediated colitis, hematogenous dissemination leading to bacteremia is relatively rare and associated with high mortality. We report an unusual case of C. difficile bacteremia in an octogenarian female patient occurring shortly after right hemicolectomy for ascending colon adenocarcinoma. This critically ill patient presented with bloodstream infection in the ICU following surgery. Multiple risk factors converged, including advanced age, extensive colorectal surgery with mucosal disruption, malignancy, and broad-spectrum antibiotic exposure. Blood culture identification required specific anaerobic processing. Combined intravenous and high-dose oral vancomycin therapy, guided by rapid microbiological confirmation, led to successful resolution of the bacteremia. This case underscores the potential for life-threatening C. difficile bacteremia in vulnerable elderly patients post-colorectal cancer surgery, highlights the diagnostic challenges (necessitating anaerobic blood cultures), and emphasizes the critical importance of early suspicion, aggressive multimodal therapy, and meticulous antimicrobial stewardship in this high-risk population. It serves as a crucial reminder of this devastating complication.

Abstract Image

Abstract Image

Abstract Image

老年女性大肠癌术后难辨梭菌血症1例。
艰难梭菌感染(CDI)是一个主要的卫生保健相关问题,特别是在老年人中。虽然CDI通常表现为毒素介导的结肠炎,但导致菌血症的血液传播相对罕见,且死亡率高。我们报告一例罕见的难辨梭菌菌血症,发生在一位八十多岁的女性患者右半结肠切除术后不久的升结肠腺癌。该危重患者手术后在ICU出现血流感染。多种危险因素汇聚在一起,包括高龄、广泛结直肠手术伴粘膜破坏、恶性肿瘤和广谱抗生素暴露。血液培养鉴定需要特殊的厌氧处理。在快速微生物学鉴定的指导下,静脉注射和大剂量口服万古霉素联合治疗成功地解决了菌血症。该病例强调了易受感染的老年结直肠癌术后患者发生危及生命的艰难梭菌血症的可能性,强调了诊断挑战(需要无氧血培养),并强调了在这一高危人群中早期怀疑、积极的多模式治疗和细致的抗菌药物管理的重要性。它是对这种毁灭性并发症的重要提醒。
本文章由计算机程序翻译,如有差异,请以英文原文为准。
求助全文
约1分钟内获得全文 求助全文
来源期刊
Infection and Drug Resistance
Infection and Drug Resistance Medicine-Pharmacology (medical)
CiteScore
5.60
自引率
7.70%
发文量
826
审稿时长
16 weeks
期刊介绍: About Journal Editors Peer Reviewers Articles Article Publishing Charges Aims and Scope Call For Papers ISSN: 1178-6973 Editor-in-Chief: Professor Suresh Antony An international, peer-reviewed, open access journal that focuses on the optimal treatment of infection (bacterial, fungal and viral) and the development and institution of preventative strategies to minimize the development and spread of resistance.
×
引用
GB/T 7714-2015
复制
MLA
复制
APA
复制
导出至
BibTeX EndNote RefMan NoteFirst NoteExpress
×
提示
您的信息不完整,为了账户安全,请先补充。
现在去补充
×
提示
您因"违规操作"
具体请查看互助需知
我知道了
×
提示
确定
请完成安全验证×
copy
已复制链接
快去分享给好友吧!
我知道了
右上角分享
点击右上角分享
0
联系我们:info@booksci.cn Book学术提供免费学术资源搜索服务,方便国内外学者检索中英文文献。致力于提供最便捷和优质的服务体验。 Copyright © 2023 布克学术 All rights reserved.
京ICP备2023020795号-1
ghs 京公网安备 11010802042870号
Book学术文献互助
Book学术文献互助群
群 号:604180095
Book学术官方微信