Relationship between Maternal Retinal Microvascular Changes in the Postpartum Period, Tumor Necrosis Factor Receptor 2, and Cotinine.

Biomedicine hub Pub Date : 2025-08-28 eCollection Date: 2025-01-01 DOI:10.1159/000548212
Yogavijayan Kandasamy, Rachel Lim, Jean Calleja-Agius, Donna Rudd
{"title":"Relationship between Maternal Retinal Microvascular Changes in the Postpartum Period, Tumor Necrosis Factor Receptor 2, and Cotinine.","authors":"Yogavijayan Kandasamy, Rachel Lim, Jean Calleja-Agius, Donna Rudd","doi":"10.1159/000548212","DOIUrl":null,"url":null,"abstract":"<p><strong>Introduction: </strong>During pregnancy, placental microvasculature undergoes significant adaptations to support the developing fetus. However, studying placental microcirculation in vivo remains challenging. This study examined the potential of using retinal microvasculature measurements as a proxy, along with umbilical cord blood markers of angiogenesis and inflammation together with urine cotinine (a nicotine metabolite), to gain insights into the microvasculature changes in the human placenta.</p><p><strong>Methods: </strong>During the 24-month recruitment period (August 2019 to August 2021), the study was open to all pregnant women receiving antenatal care at Townsville University Hospital in Australia. Immediately after childbirth, the maternal central retinal artery equivalent (CRAE) diameter, the central retinal vein equivalent (CRVE) diameter, and the arteriovenous ratio (AVR) were determined using a handheld non-mydriatic retinal camera. Umbilical cord blood and maternal urine were also collected and analyzed.</p><p><strong>Results: </strong>Data from 80 women were analyzed. Multivariate analyses found a significant negative correlation between CRAE, CRVE, and tumor necrosis factor receptor 2 (TNFR2) and a significant positive correlation between CRVE and urine cotinine, the diagnosis of preeclampsia, and diabetes mellitus in pregnancy.</p><p><strong>Conclusions: </strong>We propose that the changes in the retinal artery and vein may reflect alterations in the placenta's spiral artery and its draining vein, with TNFR2 acting as a common mediator.</p>","PeriodicalId":101351,"journal":{"name":"Biomedicine hub","volume":"10 1","pages":"183-190"},"PeriodicalIF":0.0000,"publicationDate":"2025-08-28","publicationTypes":"Journal Article","fieldsOfStudy":null,"isOpenAccess":false,"openAccessPdf":"https://www.ncbi.nlm.nih.gov/pmc/articles/PMC12503849/pdf/","citationCount":"0","resultStr":null,"platform":"Semanticscholar","paperid":null,"PeriodicalName":"Biomedicine hub","FirstCategoryId":"1085","ListUrlMain":"https://doi.org/10.1159/000548212","RegionNum":0,"RegionCategory":null,"ArticlePicture":[],"TitleCN":null,"AbstractTextCN":null,"PMCID":null,"EPubDate":"2025/1/1 0:00:00","PubModel":"eCollection","JCR":"","JCRName":"","Score":null,"Total":0}
引用次数: 0

Abstract

Introduction: During pregnancy, placental microvasculature undergoes significant adaptations to support the developing fetus. However, studying placental microcirculation in vivo remains challenging. This study examined the potential of using retinal microvasculature measurements as a proxy, along with umbilical cord blood markers of angiogenesis and inflammation together with urine cotinine (a nicotine metabolite), to gain insights into the microvasculature changes in the human placenta.

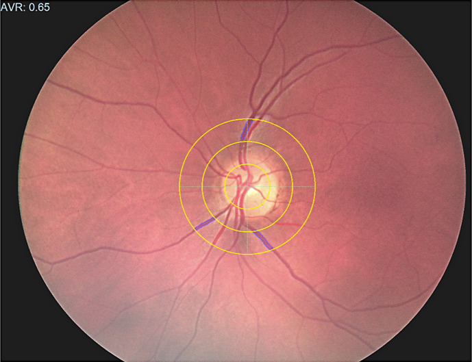
Methods: During the 24-month recruitment period (August 2019 to August 2021), the study was open to all pregnant women receiving antenatal care at Townsville University Hospital in Australia. Immediately after childbirth, the maternal central retinal artery equivalent (CRAE) diameter, the central retinal vein equivalent (CRVE) diameter, and the arteriovenous ratio (AVR) were determined using a handheld non-mydriatic retinal camera. Umbilical cord blood and maternal urine were also collected and analyzed.

Results: Data from 80 women were analyzed. Multivariate analyses found a significant negative correlation between CRAE, CRVE, and tumor necrosis factor receptor 2 (TNFR2) and a significant positive correlation between CRVE and urine cotinine, the diagnosis of preeclampsia, and diabetes mellitus in pregnancy.

Conclusions: We propose that the changes in the retinal artery and vein may reflect alterations in the placenta's spiral artery and its draining vein, with TNFR2 acting as a common mediator.

Abstract Image

Abstract Image

Abstract Image

产后母体视网膜微血管变化、肿瘤坏死因子受体2与可替宁的关系。
简介:在怀孕期间,胎盘微血管经历了显著的适应,以支持胎儿的发育。然而,在体内研究胎盘微循环仍然具有挑战性。本研究考察了利用视网膜微血管测量作为替代指标的潜力,以及脐带血血管生成和炎症标志物以及尿可替宁(一种尼古丁代谢物),以深入了解人类胎盘微血管变化。方法:在为期24个月的招募期间(2019年8月至2021年8月),该研究向在澳大利亚汤斯维尔大学医院接受产前护理的所有孕妇开放。分娩后立即使用手持式无血管视网膜相机测定母体视网膜中央动脉当量(CRAE)直径、视网膜中央静脉当量(CRVE)直径和动静脉比(AVR)。同时采集脐带血和产妇尿液进行分析。结果:对80例妇女的资料进行分析。多因素分析发现CRAE、CRVE与肿瘤坏死因子受体2 (TNFR2)呈显著负相关,而CRVE与尿可替宁、子痫前期诊断、妊娠期糖尿病呈显著正相关。结论:我们认为视网膜动脉和静脉的变化可能反映了胎盘螺旋动脉及其引流静脉的变化,而TNFR2是一种共同的介质。
本文章由计算机程序翻译,如有差异,请以英文原文为准。
求助全文
约1分钟内获得全文 求助全文
来源期刊
自引率
0.00%
发文量
0
×
引用
GB/T 7714-2015
复制
MLA
复制
APA
复制
导出至
BibTeX EndNote RefMan NoteFirst NoteExpress
×
提示
您的信息不完整,为了账户安全,请先补充。
现在去补充
×
提示
您因"违规操作"
具体请查看互助需知
我知道了
×
提示
确定
请完成安全验证×
copy
已复制链接
快去分享给好友吧!
我知道了
右上角分享
点击右上角分享
0
联系我们:info@booksci.cn Book学术提供免费学术资源搜索服务,方便国内外学者检索中英文文献。致力于提供最便捷和优质的服务体验。 Copyright © 2023 布克学术 All rights reserved.
京ICP备2023020795号-1
ghs 京公网安备 11010802042870号
Book学术文献互助
Book学术文献互助群
群 号:604180095
Book学术官方微信