Isolated Central Nervous System FHL3 in an Asian Pediatric Patient: A Case Report and Literature Review.

IF 4.1 2区 医学 Q2 IMMUNOLOGY
Journal of Inflammation Research Pub Date : 2025-10-02 eCollection Date: 2025-01-01 DOI:10.2147/JIR.S543598
Zhanwei Zhang, Haolin Duan, Ciliu Zhang, Fang He, Fei Yin, Lifen Yang, Jing Peng
{"title":"Isolated Central Nervous System FHL3 in an Asian Pediatric Patient: A Case Report and Literature Review.","authors":"Zhanwei Zhang, Haolin Duan, Ciliu Zhang, Fang He, Fei Yin, Lifen Yang, Jing Peng","doi":"10.2147/JIR.S543598","DOIUrl":null,"url":null,"abstract":"<p><p>Familial hemophagocytic lymphohistiocytosis (FHL) is a genetic inflammatory response syndrome involving many organs. Central nervous system (CNS)-isolated FHL is a rare, neuroinflammatory condition. Here, we report a case of CNS-isolated FHL3. Brain magnetic resonance imaging (MRI) showed CNS lesions mimicking chronic lymphocytic inflammation with pontine perivascular enhancement responsive to steroids and multiple sclerosis. Whole-exome sequencing (WES) demonstrated likely pathogenic, parentally inherited homozygous variants of <i>UNC13D</i> (c.2588G>A, p.G863D). Neuropathological examination of a brain biopsy specimen revealed lymphocyte infiltration. Reduced levels of CD107a were also observed. CNS-isolated FHL was final diagnosis. The patient's clinical and radiological condition improved after allogeneic hematopoietic stem cell transplantation (HSCT). A study of five isolated CNS FHL3 cases (onset: 7-31 years; three females, one male, and one unknown) identified the hotspot variants c.2588G>A and c.2346_2349del. Possible triggers include the Epstein-Barr virus and herpes simplex virus. Common CNS symptoms included headache, seizures, diplopia, and ataxia (3/5 each). MRI revealed multifocal cerebral/brainstem/spinal cord lesions. Cerebrospinal fluid revealed nonspecific inflammation. Biopsies revealed T-cell predominant lymphocytic infiltration (3/3). Reduced CD107a expression was observed in four patients. Two developed systemic hemophagocytic lymphohistiocytosis (HLH). Steroids (5/5) and intravenous immunoglobulin (4/5) were the primary treatments and HSCT (4/4) achieved good outcomes. One died of HLH. To date, homozygous variants of <i>UNC13D</i> (c.2588G>A, p.G863D) have not been reported in CNS-isolated FHL. Symptoms and brain MRI of CNS-isolated FHL simulate some neuroinflammatory diseases; however, WES and functional analysis may be useful for distinguishing between them. HSCT might be an effective therapeutic strategy.</p>","PeriodicalId":16107,"journal":{"name":"Journal of Inflammation Research","volume":"18 ","pages":"13625-13633"},"PeriodicalIF":4.1000,"publicationDate":"2025-10-02","publicationTypes":"Journal Article","fieldsOfStudy":null,"isOpenAccess":false,"openAccessPdf":"https://www.ncbi.nlm.nih.gov/pmc/articles/PMC12500473/pdf/","citationCount":"0","resultStr":null,"platform":"Semanticscholar","paperid":null,"PeriodicalName":"Journal of Inflammation Research","FirstCategoryId":"3","ListUrlMain":"https://doi.org/10.2147/JIR.S543598","RegionNum":2,"RegionCategory":"医学","ArticlePicture":[],"TitleCN":null,"AbstractTextCN":null,"PMCID":null,"EPubDate":"2025/1/1 0:00:00","PubModel":"eCollection","JCR":"Q2","JCRName":"IMMUNOLOGY","Score":null,"Total":0}
引用次数: 0

Abstract

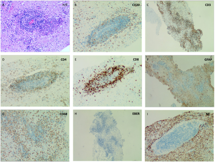
Familial hemophagocytic lymphohistiocytosis (FHL) is a genetic inflammatory response syndrome involving many organs. Central nervous system (CNS)-isolated FHL is a rare, neuroinflammatory condition. Here, we report a case of CNS-isolated FHL3. Brain magnetic resonance imaging (MRI) showed CNS lesions mimicking chronic lymphocytic inflammation with pontine perivascular enhancement responsive to steroids and multiple sclerosis. Whole-exome sequencing (WES) demonstrated likely pathogenic, parentally inherited homozygous variants of UNC13D (c.2588G>A, p.G863D). Neuropathological examination of a brain biopsy specimen revealed lymphocyte infiltration. Reduced levels of CD107a were also observed. CNS-isolated FHL was final diagnosis. The patient's clinical and radiological condition improved after allogeneic hematopoietic stem cell transplantation (HSCT). A study of five isolated CNS FHL3 cases (onset: 7-31 years; three females, one male, and one unknown) identified the hotspot variants c.2588G>A and c.2346_2349del. Possible triggers include the Epstein-Barr virus and herpes simplex virus. Common CNS symptoms included headache, seizures, diplopia, and ataxia (3/5 each). MRI revealed multifocal cerebral/brainstem/spinal cord lesions. Cerebrospinal fluid revealed nonspecific inflammation. Biopsies revealed T-cell predominant lymphocytic infiltration (3/3). Reduced CD107a expression was observed in four patients. Two developed systemic hemophagocytic lymphohistiocytosis (HLH). Steroids (5/5) and intravenous immunoglobulin (4/5) were the primary treatments and HSCT (4/4) achieved good outcomes. One died of HLH. To date, homozygous variants of UNC13D (c.2588G>A, p.G863D) have not been reported in CNS-isolated FHL. Symptoms and brain MRI of CNS-isolated FHL simulate some neuroinflammatory diseases; however, WES and functional analysis may be useful for distinguishing between them. HSCT might be an effective therapeutic strategy.

Abstract Image

Abstract Image

Abstract Image

1例亚洲儿童分离性中枢神经系统FHL3病例报告及文献回顾。
家族性噬血细胞淋巴组织细胞病(FHL)是一种累及多器官的遗传性炎症反应综合征。中枢神经系统(CNS)孤立性FHL是一种罕见的神经炎性疾病。在此,我们报告一例cns分离的FHL3。脑磁共振成像(MRI)显示中枢神经系统病变模拟慢性淋巴细胞炎症,并伴有脑桥血管周围增强,对类固醇和多发性硬化症有反应。全外显子组测序(WES)显示UNC13D (c.2588G b> A, p.G863D)可能具有致病性,亲本遗传的纯合变异。脑活检标本的神经病理学检查显示淋巴细胞浸润。还观察到CD107a水平降低。最终诊断为cns分离性FHL。同种异体造血干细胞移植(HSCT)后,患者的临床和放射学状况得到改善。对5例分离的中枢神经系统FHL3病例(发病年龄:7-31岁,3女1男1未知)的研究发现了热点变异c.2588G>A和c.2346_2349del。可能的诱因包括爱泼斯坦-巴尔病毒和单纯疱疹病毒。常见的中枢神经系统症状包括头痛、癫痫发作、复视和共济失调(3/5)。MRI显示多灶性脑/脑干/脊髓病变。脑脊液显示非特异性炎症。活检示t细胞为主的淋巴细胞浸润(3/3)。4例患者观察到CD107a表达降低。2例发生系统性噬血细胞性淋巴组织细胞病(HLH)。类固醇(5/5)和静脉注射免疫球蛋白(4/5)是主要治疗方法,HSCT(4/4)取得了良好的效果。一人死于HLH。迄今为止,在cns分离的FHL中尚未报道UNC13D纯合变异体(c.2588G b> A, p.G863D)。中枢神经系统分离的FHL的症状和脑MRI模拟了一些神经炎性疾病;然而,WES和功能分析可能有助于区分它们。造血干细胞移植可能是一种有效的治疗策略。
本文章由计算机程序翻译,如有差异,请以英文原文为准。
求助全文
约1分钟内获得全文 求助全文
来源期刊
Journal of Inflammation Research
Journal of Inflammation Research Immunology and Microbiology-Immunology
CiteScore
6.10
自引率
2.20%
发文量
658
审稿时长
16 weeks
期刊介绍: An international, peer-reviewed, open access, online journal that welcomes laboratory and clinical findings on the molecular basis, cell biology and pharmacology of inflammation.
×
引用
GB/T 7714-2015
复制
MLA
复制
APA
复制
导出至
BibTeX EndNote RefMan NoteFirst NoteExpress
×
提示
您的信息不完整,为了账户安全,请先补充。
现在去补充
×
提示
您因"违规操作"
具体请查看互助需知
我知道了
×
提示
确定
请完成安全验证×
copy
已复制链接
快去分享给好友吧!
我知道了
右上角分享
点击右上角分享
0
联系我们:info@booksci.cn Book学术提供免费学术资源搜索服务,方便国内外学者检索中英文文献。致力于提供最便捷和优质的服务体验。 Copyright © 2023 布克学术 All rights reserved.
京ICP备2023020795号-1
ghs 京公网安备 11010802042870号
Book学术文献互助
Book学术文献互助群
群 号:604180095
Book学术官方微信