Postoperative secondary contralateral arachnoid cyst following rupture and bleeding of intracranial aneurysm: a case report.

IF 1.6 4区 医学 Q2 SURGERY
Frontiers in Surgery Pub Date : 2025-09-23 eCollection Date: 2025-01-01 DOI:10.3389/fsurg.2025.1672623
Kun Hu, Yanyan Yu, Yancong Yang, Huichen Li, Jinyuan Liao, Huanglian Zhong, Qiuhua Jiang, Jun Liu, Shuiying Zeng, Nan Yang, Wenjun Zhang
{"title":"Postoperative secondary contralateral arachnoid cyst following rupture and bleeding of intracranial aneurysm: a case report.","authors":"Kun Hu, Yanyan Yu, Yancong Yang, Huichen Li, Jinyuan Liao, Huanglian Zhong, Qiuhua Jiang, Jun Liu, Shuiying Zeng, Nan Yang, Wenjun Zhang","doi":"10.3389/fsurg.2025.1672623","DOIUrl":null,"url":null,"abstract":"<p><p>The simultaneous occurrence of intracranial aneurysms and intracranial arachnoid cysts is a rare clinical observation, with the majority of documented instances demonstrating ipsilateral presentation. In this report, we describe an atypical case involving the development of a secondary arachnoid cyst subsequent to the rupture of an intracranial aneurysm. Notably the cyst was situated contralaterally to the site of the aneurysm rupture and outside the surgical field. The patient's clinical history and imaging studies confirmedcorroborated the secondary nature of the cyst, which is postulated to have resulted from inflammatory responses triggered by a subarachnoid hemorrhage (SAH). The patient underwent neuroendoscopic partial resection of the cyst wall and lateral ventriculostomy, leading to a significant improvement in neurological dysfunction symptoms associated with the secondary arachnoid cyst. Follow-up cranial MRI demonstrated a substantial reduction in the cyst's volume, with no evidence of subsequent hydrocephalus or cyst enlargement. This case enhances the comprehension of the pathophysiological mechanisms underlying the formation of contralateral arachnoid cysts subsequent to aneurysm rupture and emphasizes the necessity of acknowledging arachnoid cysts as potential delayed complications associated with aneurysmal subarachnoid hemorrhage (aSAH).</p>","PeriodicalId":12564,"journal":{"name":"Frontiers in Surgery","volume":"12 ","pages":"1672623"},"PeriodicalIF":1.6000,"publicationDate":"2025-09-23","publicationTypes":"Journal Article","fieldsOfStudy":null,"isOpenAccess":false,"openAccessPdf":"https://www.ncbi.nlm.nih.gov/pmc/articles/PMC12500747/pdf/","citationCount":"0","resultStr":null,"platform":"Semanticscholar","paperid":null,"PeriodicalName":"Frontiers in Surgery","FirstCategoryId":"3","ListUrlMain":"https://doi.org/10.3389/fsurg.2025.1672623","RegionNum":4,"RegionCategory":"医学","ArticlePicture":[],"TitleCN":null,"AbstractTextCN":null,"PMCID":null,"EPubDate":"2025/1/1 0:00:00","PubModel":"eCollection","JCR":"Q2","JCRName":"SURGERY","Score":null,"Total":0}
引用次数: 0

Abstract

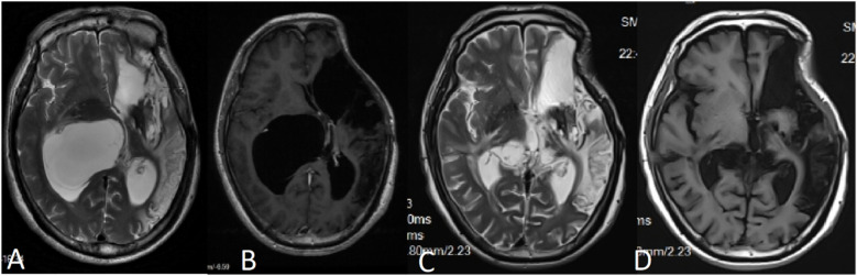
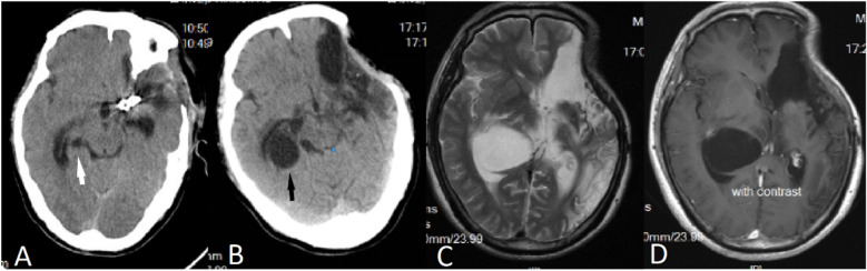
The simultaneous occurrence of intracranial aneurysms and intracranial arachnoid cysts is a rare clinical observation, with the majority of documented instances demonstrating ipsilateral presentation. In this report, we describe an atypical case involving the development of a secondary arachnoid cyst subsequent to the rupture of an intracranial aneurysm. Notably the cyst was situated contralaterally to the site of the aneurysm rupture and outside the surgical field. The patient's clinical history and imaging studies confirmedcorroborated the secondary nature of the cyst, which is postulated to have resulted from inflammatory responses triggered by a subarachnoid hemorrhage (SAH). The patient underwent neuroendoscopic partial resection of the cyst wall and lateral ventriculostomy, leading to a significant improvement in neurological dysfunction symptoms associated with the secondary arachnoid cyst. Follow-up cranial MRI demonstrated a substantial reduction in the cyst's volume, with no evidence of subsequent hydrocephalus or cyst enlargement. This case enhances the comprehension of the pathophysiological mechanisms underlying the formation of contralateral arachnoid cysts subsequent to aneurysm rupture and emphasizes the necessity of acknowledging arachnoid cysts as potential delayed complications associated with aneurysmal subarachnoid hemorrhage (aSAH).

Abstract Image

Abstract Image

Abstract Image

颅内动脉瘤破裂出血后继发对侧蛛网膜囊肿1例。
颅内动脉瘤和颅内蛛网膜囊肿同时发生是一种罕见的临床观察,大多数记录的病例显示同侧表现。在这个报告中,我们描述了一个不典型的病例,涉及颅内动脉瘤破裂后继发性蛛网膜囊肿的发展。值得注意的是,囊肿位于动脉瘤破裂部位的对侧和手术野外。患者的临床病史和影像学检查证实了囊肿的继发性,推测是由蛛网膜下腔出血(SAH)引发的炎症反应引起的。患者接受了神经内窥镜部分切除囊肿壁和侧脑室造口术,继发性蛛网膜囊肿相关的神经功能障碍症状明显改善。后续颅脑MRI显示囊肿体积明显缩小,未见脑积水或囊肿增大。本病例加强了对动脉瘤破裂后对侧蛛网膜囊肿形成的病理生理机制的理解,并强调了将蛛网膜囊肿视为动脉瘤性蛛网膜下腔出血(aSAH)相关的潜在延迟并发症的必要性。
本文章由计算机程序翻译,如有差异,请以英文原文为准。
求助全文
约1分钟内获得全文 求助全文
来源期刊
Frontiers in Surgery
Frontiers in Surgery Medicine-Surgery
CiteScore
1.90
自引率
11.10%
发文量
1872
审稿时长
12 weeks
期刊介绍: Evidence of surgical interventions go back to prehistoric times. Since then, the field of surgery has developed into a complex array of specialties and procedures, particularly with the advent of microsurgery, lasers and minimally invasive techniques. The advanced skills now required from surgeons has led to ever increasing specialization, though these still share important fundamental principles. Frontiers in Surgery is the umbrella journal representing the publication interests of all surgical specialties. It is divided into several “Specialty Sections” listed below. All these sections have their own Specialty Chief Editor, Editorial Board and homepage, but all articles carry the citation Frontiers in Surgery. Frontiers in Surgery calls upon medical professionals and scientists from all surgical specialties to publish their experimental and clinical studies in this journal. By assembling all surgical specialties, which nonetheless retain their independence, under the common umbrella of Frontiers in Surgery, a powerful publication venue is created. Since there is often overlap and common ground between the different surgical specialties, assembly of all surgical disciplines into a single journal will foster a collaborative dialogue amongst the surgical community. This means that publications, which are also of interest to other surgical specialties, will reach a wider audience and have greater impact. The aim of this multidisciplinary journal is to create a discussion and knowledge platform of advances and research findings in surgical practice today to continuously improve clinical management of patients and foster innovation in this field.
×
引用
GB/T 7714-2015
复制
MLA
复制
APA
复制
导出至
BibTeX EndNote RefMan NoteFirst NoteExpress
×
提示
您的信息不完整,为了账户安全,请先补充。
现在去补充
×
提示
您因"违规操作"
具体请查看互助需知
我知道了
×
提示
确定
请完成安全验证×
copy
已复制链接
快去分享给好友吧!
我知道了
右上角分享
点击右上角分享
0
联系我们:info@booksci.cn Book学术提供免费学术资源搜索服务,方便国内外学者检索中英文文献。致力于提供最便捷和优质的服务体验。 Copyright © 2023 布克学术 All rights reserved.
京ICP备2023020795号-1
ghs 京公网安备 11010802042870号
Book学术文献互助
Book学术文献互助群
群 号:604180095
Book学术官方微信