Myelodysplastic Neoplasm with Biallelic TP53 Mutations Presenting with Myelofibrosis and CD42b Expression: A Case Report.

IF 0.7 Q4 ONCOLOGY
Case Reports in Oncology Pub Date : 2025-07-10 eCollection Date: 2025-01-01 DOI:10.1159/000546929
Xian Li, Xinyi Zhu, Xibin Xiao, Weiqin Wang
{"title":"Myelodysplastic Neoplasm with Biallelic TP53 Mutations Presenting with Myelofibrosis and CD42b Expression: A Case Report.","authors":"Xian Li, Xinyi Zhu, Xibin Xiao, Weiqin Wang","doi":"10.1159/000546929","DOIUrl":null,"url":null,"abstract":"<p><strong>Introduction: </strong>Myelodysplastic neoplasms (MDS) with biallelic TP53 mutations (MDS-biTP53) represent a rare and aggressive MDS subtype associated with a poor prognosis. The 5th edition of the WHO classification defines MDS-biTP53 as a high-risk entity with rapid progression to acute myeloid leukemia (AML).</p><p><strong>Case presentation: </strong>A 69-year-old male presented with fatigue, pancytopenia, splenomegaly, fever, and elevated lactate dehydrogenase. Initial bone marrow smear revealed 10.5% plasma cell-like abnormal cells, leading to a suspected diagnosis of multiple myeloma. However, further bone marrow biopsy, immunophenotype, and next-generation sequencing confirmed the diagnosis of MDS-biTP53 with myelofibrosis and megakaryocytic differentiation, as evidenced by strong CD42b expression. Despite treatment with azacitidine, lenalidomide, and erythropoietin, the patient rapidly progressed to AML.</p><p><strong>Conclusion: </strong>This case highlights the diagnostic challenges in differentiating MDS-biTP53 with CD42b-positive blasts from plasmablastic neoplasms. The presence of myelofibrosis and CD42b expression raises important questions regarding the biological role of megakaryocytic differentiation in MDS progression and potential implications for disease transformation.</p>","PeriodicalId":9625,"journal":{"name":"Case Reports in Oncology","volume":"18 1","pages":"1081-1088"},"PeriodicalIF":0.7000,"publicationDate":"2025-07-10","publicationTypes":"Journal Article","fieldsOfStudy":null,"isOpenAccess":false,"openAccessPdf":"https://www.ncbi.nlm.nih.gov/pmc/articles/PMC12503481/pdf/","citationCount":"0","resultStr":null,"platform":"Semanticscholar","paperid":null,"PeriodicalName":"Case Reports in Oncology","FirstCategoryId":"1085","ListUrlMain":"https://doi.org/10.1159/000546929","RegionNum":0,"RegionCategory":null,"ArticlePicture":[],"TitleCN":null,"AbstractTextCN":null,"PMCID":null,"EPubDate":"2025/1/1 0:00:00","PubModel":"eCollection","JCR":"Q4","JCRName":"ONCOLOGY","Score":null,"Total":0}
引用次数: 0

Abstract

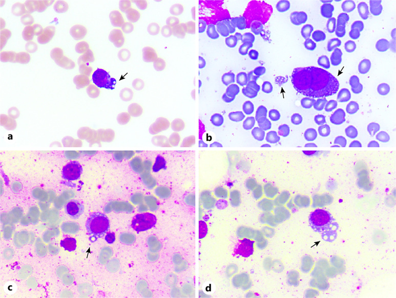
Introduction: Myelodysplastic neoplasms (MDS) with biallelic TP53 mutations (MDS-biTP53) represent a rare and aggressive MDS subtype associated with a poor prognosis. The 5th edition of the WHO classification defines MDS-biTP53 as a high-risk entity with rapid progression to acute myeloid leukemia (AML).

Case presentation: A 69-year-old male presented with fatigue, pancytopenia, splenomegaly, fever, and elevated lactate dehydrogenase. Initial bone marrow smear revealed 10.5% plasma cell-like abnormal cells, leading to a suspected diagnosis of multiple myeloma. However, further bone marrow biopsy, immunophenotype, and next-generation sequencing confirmed the diagnosis of MDS-biTP53 with myelofibrosis and megakaryocytic differentiation, as evidenced by strong CD42b expression. Despite treatment with azacitidine, lenalidomide, and erythropoietin, the patient rapidly progressed to AML.

Conclusion: This case highlights the diagnostic challenges in differentiating MDS-biTP53 with CD42b-positive blasts from plasmablastic neoplasms. The presence of myelofibrosis and CD42b expression raises important questions regarding the biological role of megakaryocytic differentiation in MDS progression and potential implications for disease transformation.

Abstract Image

Abstract Image

Abstract Image

骨髓增生异常肿瘤伴双等位基因TP53突变,表现为骨髓纤维化和CD42b表达:1例报告
骨髓增生异常肿瘤(MDS)伴双等位基因TP53突变(MDS- bitp53)是一种罕见的侵袭性MDS亚型,预后较差。世卫组织第5版分类将MDS-biTP53定义为高风险实体,可快速进展为急性髓性白血病(AML)。病例介绍:一名69岁男性,表现为疲劳、全血细胞减少、脾肿大、发热和乳酸脱氢酶升高。骨髓涂片显示10.5%浆细胞样异常细胞,怀疑多发性骨髓瘤。然而,进一步的骨髓活检、免疫表型和下一代测序证实了MDS-biTP53与骨髓纤维化和巨核细胞分化的诊断,证实了CD42b的强表达。尽管用阿扎胞苷、来那度胺和促红细胞生成素治疗,患者仍迅速发展为急性髓性白血病。结论:该病例强调了从质母细胞肿瘤中鉴别MDS-biTP53与cd42b阳性母细胞的诊断挑战。骨髓纤维化和CD42b表达的存在提出了关于巨核细胞分化在MDS进展中的生物学作用和疾病转化的潜在影响的重要问题。
本文章由计算机程序翻译,如有差异,请以英文原文为准。
求助全文
约1分钟内获得全文 求助全文
来源期刊
CiteScore
1.40
自引率
12.50%
发文量
151
审稿时长
7 weeks
×
引用
GB/T 7714-2015
复制
MLA
复制
APA
复制
导出至
BibTeX EndNote RefMan NoteFirst NoteExpress
×
提示
您的信息不完整,为了账户安全,请先补充。
现在去补充
×
提示
您因"违规操作"
具体请查看互助需知
我知道了
×
提示
确定
请完成安全验证×
copy
已复制链接
快去分享给好友吧!
我知道了
右上角分享
点击右上角分享
0
联系我们:info@booksci.cn Book学术提供免费学术资源搜索服务,方便国内外学者检索中英文文献。致力于提供最便捷和优质的服务体验。 Copyright © 2023 布克学术 All rights reserved.
京ICP备2023020795号-1
ghs 京公网安备 11010802042870号
Book学术文献互助
Book学术文献互助群
群 号:604180095
Book学术官方微信