Contrast-Enhanced Ultrasound of Metastatic Clear Cell Sarcoma of the Liver: A Case Report and Review of the Literature.

IF 0.7 Q4 ONCOLOGY
Case Reports in Oncology Pub Date : 2025-06-30 eCollection Date: 2025-01-01 DOI:10.1159/000547164
Jian Gong, Jiao-Jiao Ding, Wei-Dong Luo
{"title":"Contrast-Enhanced Ultrasound of Metastatic Clear Cell Sarcoma of the Liver: A Case Report and Review of the Literature.","authors":"Jian Gong, Jiao-Jiao Ding, Wei-Dong Luo","doi":"10.1159/000547164","DOIUrl":null,"url":null,"abstract":"<p><strong>Introduction: </strong>Clear cell sarcoma (CCS) is a rare malignant soft tissue tumor derived from neural crest cells, and it exhibits a high tendency for recurrence and metastasis. Distant metastasis significantly affects the prognosis. The incidence of liver metastasis from CCS is very low, and related contrast-enhanced ultrasound imaging reports are scarce.</p><p><strong>Case report: </strong>We herein report a case involving a 23-year-old Tibetan man who was admitted to the hospital with swelling, pain, and limited movement of the right knee joint. Imaging revealed a tumor in the right knee, and preoperative examinations detected multiple liver lesions. Contrast-enhanced ultrasound showed high enhancement with a thick rim and uneven iso-enhancement in the center during the arterial phase, slow washout of the rim in the portal to delayed phases, and uneven low enhancement centrally. Based on these imaging findings and the patient's history, hepatic tuberculosis was considered, although a tumor could not be ruled out. Laboratory tests - including routine blood, liver function - were normal, and most tumor markers were normal except neuron-specific enolase. The patient underwent surgical resection of the knee tumor, and pathological diagnosis confirmed CCS. The liver lesions were further evaluated with contrast-enhanced computed tomography and enhanced magnetic resonance imaging, but a definitive diagnosis remained elusive. Ultimately, ultrasound-guided needle biopsy confirmed liver metastasis from CCS.</p><p><strong>Conclusion: </strong>Contrast-enhanced ultrasound has a good effect on the diagnosis of liver metastases. Combining with the relevant medical history of the patient or identifying the primary lesion can increase diagnostic confidence.</p>","PeriodicalId":9625,"journal":{"name":"Case Reports in Oncology","volume":"18 1","pages":"1111-1122"},"PeriodicalIF":0.7000,"publicationDate":"2025-06-30","publicationTypes":"Journal Article","fieldsOfStudy":null,"isOpenAccess":false,"openAccessPdf":"https://www.ncbi.nlm.nih.gov/pmc/articles/PMC12503478/pdf/","citationCount":"0","resultStr":null,"platform":"Semanticscholar","paperid":null,"PeriodicalName":"Case Reports in Oncology","FirstCategoryId":"1085","ListUrlMain":"https://doi.org/10.1159/000547164","RegionNum":0,"RegionCategory":null,"ArticlePicture":[],"TitleCN":null,"AbstractTextCN":null,"PMCID":null,"EPubDate":"2025/1/1 0:00:00","PubModel":"eCollection","JCR":"Q4","JCRName":"ONCOLOGY","Score":null,"Total":0}
引用次数: 0

Abstract

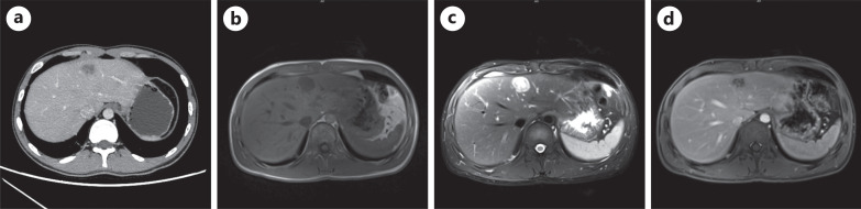
Introduction: Clear cell sarcoma (CCS) is a rare malignant soft tissue tumor derived from neural crest cells, and it exhibits a high tendency for recurrence and metastasis. Distant metastasis significantly affects the prognosis. The incidence of liver metastasis from CCS is very low, and related contrast-enhanced ultrasound imaging reports are scarce.

Case report: We herein report a case involving a 23-year-old Tibetan man who was admitted to the hospital with swelling, pain, and limited movement of the right knee joint. Imaging revealed a tumor in the right knee, and preoperative examinations detected multiple liver lesions. Contrast-enhanced ultrasound showed high enhancement with a thick rim and uneven iso-enhancement in the center during the arterial phase, slow washout of the rim in the portal to delayed phases, and uneven low enhancement centrally. Based on these imaging findings and the patient's history, hepatic tuberculosis was considered, although a tumor could not be ruled out. Laboratory tests - including routine blood, liver function - were normal, and most tumor markers were normal except neuron-specific enolase. The patient underwent surgical resection of the knee tumor, and pathological diagnosis confirmed CCS. The liver lesions were further evaluated with contrast-enhanced computed tomography and enhanced magnetic resonance imaging, but a definitive diagnosis remained elusive. Ultimately, ultrasound-guided needle biopsy confirmed liver metastasis from CCS.

Conclusion: Contrast-enhanced ultrasound has a good effect on the diagnosis of liver metastases. Combining with the relevant medical history of the patient or identifying the primary lesion can increase diagnostic confidence.

Abstract Image

Abstract Image

Abstract Image

肝转移性透明细胞肉瘤的超声造影:1例报告及文献复习。
简介:透明细胞肉瘤(CCS)是一种罕见的神经嵴细胞来源的软组织恶性肿瘤,具有较高的复发和转移倾向。远处转移显著影响预后。肝转移的发生率很低,相关超声造影报道较少。影像学显示右膝有肿瘤,术前检查发现多发肝脏病变。超声造影显示动脉期中心高强化,边缘厚,等强化不均匀,门静脉边缘缓慢冲淡至延迟期,中心低强化不均匀。根据这些影像学表现和患者的病史,考虑肝结核,尽管不能排除肿瘤。实验室检查包括血常规、肝功能正常,除神经元特异性烯醇化酶外,大多数肿瘤标志物正常。患者行手术切除膝关节肿瘤,病理诊断证实为CCS。肝脏病变进一步评估对比增强计算机断层扫描和增强磁共振成像,但明确的诊断仍然难以捉摸。最终,超声引导下的穿刺活检证实肝转移来自CCS。结论:超声造影对肝转移有较好的诊断作用。结合患者的相关病史或确定原发病变可提高诊断的可信度。
本文章由计算机程序翻译,如有差异,请以英文原文为准。
求助全文
约1分钟内获得全文 求助全文
来源期刊
CiteScore
1.40
自引率
12.50%
发文量
151
审稿时长
7 weeks
×
引用
GB/T 7714-2015
复制
MLA
复制
APA
复制
导出至
BibTeX EndNote RefMan NoteFirst NoteExpress
×
提示
您的信息不完整,为了账户安全,请先补充。
现在去补充
×
提示
您因"违规操作"
具体请查看互助需知
我知道了
×
提示
确定
请完成安全验证×
copy
已复制链接
快去分享给好友吧!
我知道了
右上角分享
点击右上角分享
0
联系我们:info@booksci.cn Book学术提供免费学术资源搜索服务,方便国内外学者检索中英文文献。致力于提供最便捷和优质的服务体验。 Copyright © 2023 布克学术 All rights reserved.
京ICP备2023020795号-1
ghs 京公网安备 11010802042870号
Book学术文献互助
Book学术文献互助群
群 号:604180095
Book学术官方微信