Diffuse Pulmonary Meningotheliomatosis Presenting as Innumerable Pulmonary Micronodules: A Case Report.

IF 2.3 3区 医学 Q3 ONCOLOGY
Eitetsu Koh, Yasuo Sekine, Hodaka Oeda, Tadao Nakazawa
{"title":"Diffuse Pulmonary Meningotheliomatosis Presenting as Innumerable Pulmonary Micronodules: A Case Report.","authors":"Eitetsu Koh, Yasuo Sekine, Hodaka Oeda, Tadao Nakazawa","doi":"10.1111/1759-7714.70172","DOIUrl":null,"url":null,"abstract":"<p><p>Diffuse pulmonary meningotheliomatosis (DPM) is a rare lung condition characterized by widespread meningothelial-like nodules and may radiologically mimic metastatic or granulomatous disease. We report a 2019-onset case of a 44-year-old woman with incidentally detected, bilateral 1-2-mm pulmonary micronodules on screening CT. Laboratory tests and pulmonary function were normal. Owing to the minute, peripheral distribution of the nodules, bronchoscopic biopsy was not feasible, and diagnostic video-assisted thoracoscopic wedge resection was undertaken. Histology showed spindle-to-ovoid cells in whorled arrangements without atypia or mitoses. Immunohistochemistry revealed diffuse vimentin positivity and negativity for epithelial and neuroendocrine markers (EMA, cytokeratin AE1/AE3, SMA, chromogranin). Postoperative brain MRI showed no intracranial lesion. The patient has remained asymptomatic without radiologic progression over 3 years. This case underscores DPM as an uncommon yet important differential diagnosis of diffuse pulmonary micronodules and highlights the need for histopathologic confirmation when bronchoscopic sampling is impracticable. Where available, PR and SSTR2A immunostains may further support the diagnosis.</p>","PeriodicalId":23338,"journal":{"name":"Thoracic Cancer","volume":"16 19","pages":"e70172"},"PeriodicalIF":2.3000,"publicationDate":"2025-10-01","publicationTypes":"Journal Article","fieldsOfStudy":null,"isOpenAccess":false,"openAccessPdf":"https://www.ncbi.nlm.nih.gov/pmc/articles/PMC12504144/pdf/","citationCount":"0","resultStr":null,"platform":"Semanticscholar","paperid":null,"PeriodicalName":"Thoracic Cancer","FirstCategoryId":"3","ListUrlMain":"https://doi.org/10.1111/1759-7714.70172","RegionNum":3,"RegionCategory":"医学","ArticlePicture":[],"TitleCN":null,"AbstractTextCN":null,"PMCID":null,"EPubDate":"","PubModel":"","JCR":"Q3","JCRName":"ONCOLOGY","Score":null,"Total":0}
引用次数: 0

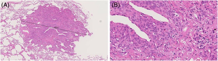
Abstract

Diffuse pulmonary meningotheliomatosis (DPM) is a rare lung condition characterized by widespread meningothelial-like nodules and may radiologically mimic metastatic or granulomatous disease. We report a 2019-onset case of a 44-year-old woman with incidentally detected, bilateral 1-2-mm pulmonary micronodules on screening CT. Laboratory tests and pulmonary function were normal. Owing to the minute, peripheral distribution of the nodules, bronchoscopic biopsy was not feasible, and diagnostic video-assisted thoracoscopic wedge resection was undertaken. Histology showed spindle-to-ovoid cells in whorled arrangements without atypia or mitoses. Immunohistochemistry revealed diffuse vimentin positivity and negativity for epithelial and neuroendocrine markers (EMA, cytokeratin AE1/AE3, SMA, chromogranin). Postoperative brain MRI showed no intracranial lesion. The patient has remained asymptomatic without radiologic progression over 3 years. This case underscores DPM as an uncommon yet important differential diagnosis of diffuse pulmonary micronodules and highlights the need for histopathologic confirmation when bronchoscopic sampling is impracticable. Where available, PR and SSTR2A immunostains may further support the diagnosis.

Abstract Image

Abstract Image

Abstract Image

弥漫性肺脑膜上皮瘤病表现为无数肺微结节1例。
弥漫性肺脑膜瘤病(DPM)是一种罕见的肺部疾病,其特征是广泛的脑膜样结节,放射学上可能类似转移性或肉芽肿性疾病。我们报告一名2019年发病的44岁女性,在CT筛查中偶然发现双侧1- 2mm肺微结节。实验室检查和肺功能正常。由于结节的微小外周分布,支气管镜活检不可行,因此进行了诊断性视频辅助胸腔镜楔形切除术。组织学显示纺锤形到卵球形细胞呈轮状排列,无异型性和有丝分裂。免疫组化显示,上皮和神经内分泌标志物(EMA、细胞角蛋白AE1/AE3、SMA、嗜铬粒蛋白)呈弥漫性波形蛋白阳性或阴性。术后脑MRI未见颅内病变。患者无症状,放射学进展超过3年。本病例强调DPM是弥漫性肺微结节的一种罕见但重要的鉴别诊断,并强调当支气管镜取样不可行时需要进行组织病理学确认。在可能的情况下,PR和SSTR2A免疫染色可能进一步支持诊断。
本文章由计算机程序翻译,如有差异,请以英文原文为准。
求助全文
约1分钟内获得全文 求助全文
来源期刊
Thoracic Cancer
Thoracic Cancer ONCOLOGY-RESPIRATORY SYSTEM
CiteScore
5.20
自引率
3.40%
发文量
439
审稿时长
2 months
期刊介绍: Thoracic Cancer aims to facilitate international collaboration and exchange of comprehensive and cutting-edge information on basic, translational, and applied clinical research in lung cancer, esophageal cancer, mediastinal cancer, breast cancer and other thoracic malignancies. Prevention, treatment and research relevant to Asia-Pacific is a focus area, but submissions from all regions are welcomed. The editors encourage contributions relevant to prevention, general thoracic surgery, medical oncology, radiology, radiation medicine, pathology, basic cancer research, as well as epidemiological and translational studies in thoracic cancer. Thoracic Cancer is the official publication of the Chinese Society of Lung Cancer, International Chinese Society of Thoracic Surgery and is endorsed by the Korean Association for the Study of Lung Cancer and the Hong Kong Cancer Therapy Society. The Journal publishes a range of article types including: Editorials, Invited Reviews, Mini Reviews, Original Articles, Clinical Guidelines, Technological Notes, Imaging in thoracic cancer, Meeting Reports, Case Reports, Letters to the Editor, Commentaries, and Brief Reports.
×
引用
GB/T 7714-2015
复制
MLA
复制
APA
复制
导出至
BibTeX EndNote RefMan NoteFirst NoteExpress
×
提示
您的信息不完整,为了账户安全,请先补充。
现在去补充
×
提示
您因"违规操作"
具体请查看互助需知
我知道了
×
提示
确定
请完成安全验证×
copy
已复制链接
快去分享给好友吧!
我知道了
右上角分享
点击右上角分享
0
联系我们:info@booksci.cn Book学术提供免费学术资源搜索服务,方便国内外学者检索中英文文献。致力于提供最便捷和优质的服务体验。 Copyright © 2023 布克学术 All rights reserved.
京ICP备2023020795号-1
ghs 京公网安备 11010802042870号
Book学术文献互助
Book学术文献互助群
群 号:604180095
Book学术官方微信