Case Report: Rare Dupilumab-Associated Pulmonary and Extrapulmonary Tuberculosis.

IF 2.9 3区 医学 Q2 INFECTIOUS DISEASES
Infection and Drug Resistance Pub Date : 2025-10-02 eCollection Date: 2025-01-01 DOI:10.2147/IDR.S540790
Weiyan Xu, Jianfeng Zhong
{"title":"Case Report: Rare Dupilumab-Associated Pulmonary and Extrapulmonary Tuberculosis.","authors":"Weiyan Xu, Jianfeng Zhong","doi":"10.2147/IDR.S540790","DOIUrl":null,"url":null,"abstract":"<p><p>Dupilumab, a fully human monoclonal antibody targeting the interleukin-4 receptor alpha (IL-4Rα), has revolutionized the management of moderate-to-severe atopic dermatitis (AD) by inhibiting signaling of interleukin-4 (IL-4) and interleukin-13 (IL-13). Our case report is about a 71-year-old man with a history of AD who developed pulmonary tuberculosis (PTB) and extrapulmonary tuberculosis (EPTB) after treatment with dupilumab. The mechanism is unclear, but it may be related to the fact that dupilumab inhibits the expression of pro-inflammatory response-related genes and the innate immunity of macrophages, thereby aggravating TB infection. This is the first report of PTB and EPTB associated with dupilumab treatment, and it may be useful for clinicians to enhance TB vigilance in patients receiving dupilumab therapy, particularly in endemic regions.</p>","PeriodicalId":13577,"journal":{"name":"Infection and Drug Resistance","volume":"18 ","pages":"5219-5222"},"PeriodicalIF":2.9000,"publicationDate":"2025-10-02","publicationTypes":"Journal Article","fieldsOfStudy":null,"isOpenAccess":false,"openAccessPdf":"https://www.ncbi.nlm.nih.gov/pmc/articles/PMC12499361/pdf/","citationCount":"0","resultStr":null,"platform":"Semanticscholar","paperid":null,"PeriodicalName":"Infection and Drug Resistance","FirstCategoryId":"3","ListUrlMain":"https://doi.org/10.2147/IDR.S540790","RegionNum":3,"RegionCategory":"医学","ArticlePicture":[],"TitleCN":null,"AbstractTextCN":null,"PMCID":null,"EPubDate":"2025/1/1 0:00:00","PubModel":"eCollection","JCR":"Q2","JCRName":"INFECTIOUS DISEASES","Score":null,"Total":0}
引用次数: 0

Abstract

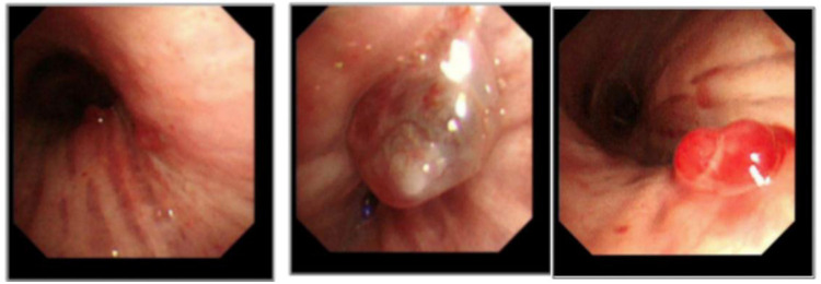
Dupilumab, a fully human monoclonal antibody targeting the interleukin-4 receptor alpha (IL-4Rα), has revolutionized the management of moderate-to-severe atopic dermatitis (AD) by inhibiting signaling of interleukin-4 (IL-4) and interleukin-13 (IL-13). Our case report is about a 71-year-old man with a history of AD who developed pulmonary tuberculosis (PTB) and extrapulmonary tuberculosis (EPTB) after treatment with dupilumab. The mechanism is unclear, but it may be related to the fact that dupilumab inhibits the expression of pro-inflammatory response-related genes and the innate immunity of macrophages, thereby aggravating TB infection. This is the first report of PTB and EPTB associated with dupilumab treatment, and it may be useful for clinicians to enhance TB vigilance in patients receiving dupilumab therapy, particularly in endemic regions.

Abstract Image

Abstract Image

Abstract Image

病例报告:罕见的dupilumab相关性肺结核和肺外结核。
Dupilumab是一种靶向白介素-4受体α (IL-4Rα)的全人源单克隆抗体,通过抑制白介素-4 (IL-4)和白介素-13 (IL-13)的信号传导,彻底改变了中重度特应性皮炎(AD)的治疗。我们的病例报告是关于一位有AD病史的71岁男性患者,在接受dupilumab治疗后并发肺结核(PTB)和肺外结核(EPTB)。其机制尚不清楚,但可能与dupilumab抑制促炎反应相关基因的表达和巨噬细胞先天免疫,从而加重TB感染有关。这是首个与dupilumab治疗相关的PTB和EPTB的报告,它可能有助于临床医生提高接受dupilumab治疗的患者的结核病警惕性,特别是在流行地区。
本文章由计算机程序翻译,如有差异,请以英文原文为准。
求助全文
约1分钟内获得全文 求助全文
来源期刊
Infection and Drug Resistance
Infection and Drug Resistance Medicine-Pharmacology (medical)
CiteScore
5.60
自引率
7.70%
发文量
826
审稿时长
16 weeks
期刊介绍: About Journal Editors Peer Reviewers Articles Article Publishing Charges Aims and Scope Call For Papers ISSN: 1178-6973 Editor-in-Chief: Professor Suresh Antony An international, peer-reviewed, open access journal that focuses on the optimal treatment of infection (bacterial, fungal and viral) and the development and institution of preventative strategies to minimize the development and spread of resistance.
×
引用
GB/T 7714-2015
复制
MLA
复制
APA
复制
导出至
BibTeX EndNote RefMan NoteFirst NoteExpress
×
提示
您的信息不完整,为了账户安全,请先补充。
现在去补充
×
提示
您因"违规操作"
具体请查看互助需知
我知道了
×
提示
确定
请完成安全验证×
copy
已复制链接
快去分享给好友吧!
我知道了
右上角分享
点击右上角分享
0
联系我们:info@booksci.cn Book学术提供免费学术资源搜索服务,方便国内外学者检索中英文文献。致力于提供最便捷和优质的服务体验。 Copyright © 2023 布克学术 All rights reserved.
京ICP备2023020795号-1
ghs 京公网安备 11010802042870号
Book学术文献互助
Book学术文献互助群
群 号:604180095
Book学术官方微信