Machine learning-based prediction of N2 lymph node metastasis in non-small cell lung cancer.

IF 2.8 3区 医学 Q2 RESPIRATORY SYSTEM
Eren Erdogdu, İlkay Öksüz, Salih Duman, Berker Ozkan, Sukru Mehmet Erturk, Doğu Vurallı Bakkaloğlu, Murat Kara, Alper Toker
{"title":"Machine learning-based prediction of N2 lymph node metastasis in non-small cell lung cancer.","authors":"Eren Erdogdu, İlkay Öksüz, Salih Duman, Berker Ozkan, Sukru Mehmet Erturk, Doğu Vurallı Bakkaloğlu, Murat Kara, Alper Toker","doi":"10.1186/s12890-025-03921-5","DOIUrl":null,"url":null,"abstract":"<p><strong>Background: </strong>Lung cancer is a leading cause of cancer-related mortality worldwide. Accurate staging of mediastinal lymph nodes is a crucial step in determining appropriate treatment approaches. Current noninvasive diagnostic methods do not provide sufficient accuracy to confidently decide on surgery without histological confirmation. Our study aimed to develop a artificial intelligence model for the precise prediction of N2 lymph node metastasis.</p><p><strong>Methods: </strong>We retrospectively analyzed 1489 patients who underwent standard cervical mediastinoscopy at our department, including 472 patients diagnosed with non-small cell lung cancer. We developed three distinct prediction models for N2 lymph node station metastasis: one using standard statistical analysis, another utilizing an image processing deep learning algorithm with thoracic CT, and the third employing various machine learning methods with clinicopathological and radiological data. We compared diagnostic accuracy, area under the curve (AUC), sensitivity, and specificity rates, as well as the F1-score of all models.</p><p><strong>Results: </strong>Linear discriminant analysis, quadratic discriminant analysis, Gaussian naive Bayes, and artificial neural networks all surpassed 90% accuracy. The linear support vector machine demonstrated the highest performance, with an accuracy of 95.7%, an AUC of 93.5%, and an F1-score of 92%, respectively and outperformed the logistic regression-based statistical model, which reached an accuracy of 90.6% and an AUC of 85.7%.</p><p><strong>Conclusion: </strong>Machine learning models outperformed standard statistical analysis models in predicting N2 lymph node metastasis. Implementing these machine learning prediction models might greatly improve the accuracy of mediastinal lymph node metastasis detection, thereby enhancing clinical decision making and patient outcomes.</p>","PeriodicalId":9148,"journal":{"name":"BMC Pulmonary Medicine","volume":"25 1","pages":"454"},"PeriodicalIF":2.8000,"publicationDate":"2025-10-06","publicationTypes":"Journal Article","fieldsOfStudy":null,"isOpenAccess":false,"openAccessPdf":"https://www.ncbi.nlm.nih.gov/pmc/articles/PMC12502267/pdf/","citationCount":"0","resultStr":null,"platform":"Semanticscholar","paperid":null,"PeriodicalName":"BMC Pulmonary Medicine","FirstCategoryId":"3","ListUrlMain":"https://doi.org/10.1186/s12890-025-03921-5","RegionNum":3,"RegionCategory":"医学","ArticlePicture":[],"TitleCN":null,"AbstractTextCN":null,"PMCID":null,"EPubDate":"","PubModel":"","JCR":"Q2","JCRName":"RESPIRATORY SYSTEM","Score":null,"Total":0}
引用次数: 0

Abstract

Background: Lung cancer is a leading cause of cancer-related mortality worldwide. Accurate staging of mediastinal lymph nodes is a crucial step in determining appropriate treatment approaches. Current noninvasive diagnostic methods do not provide sufficient accuracy to confidently decide on surgery without histological confirmation. Our study aimed to develop a artificial intelligence model for the precise prediction of N2 lymph node metastasis.

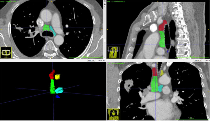
Methods: We retrospectively analyzed 1489 patients who underwent standard cervical mediastinoscopy at our department, including 472 patients diagnosed with non-small cell lung cancer. We developed three distinct prediction models for N2 lymph node station metastasis: one using standard statistical analysis, another utilizing an image processing deep learning algorithm with thoracic CT, and the third employing various machine learning methods with clinicopathological and radiological data. We compared diagnostic accuracy, area under the curve (AUC), sensitivity, and specificity rates, as well as the F1-score of all models.

Results: Linear discriminant analysis, quadratic discriminant analysis, Gaussian naive Bayes, and artificial neural networks all surpassed 90% accuracy. The linear support vector machine demonstrated the highest performance, with an accuracy of 95.7%, an AUC of 93.5%, and an F1-score of 92%, respectively and outperformed the logistic regression-based statistical model, which reached an accuracy of 90.6% and an AUC of 85.7%.

Conclusion: Machine learning models outperformed standard statistical analysis models in predicting N2 lymph node metastasis. Implementing these machine learning prediction models might greatly improve the accuracy of mediastinal lymph node metastasis detection, thereby enhancing clinical decision making and patient outcomes.

Abstract Image

Abstract Image

Abstract Image

基于机器学习的非小细胞肺癌N2淋巴结转移预测。
背景:肺癌是世界范围内癌症相关死亡的主要原因。准确的纵隔淋巴结分期是确定适当治疗方法的关键步骤。目前的无创诊断方法不能提供足够的准确性,在没有组织学证实的情况下自信地决定手术。我们的研究旨在建立一个精确预测N2淋巴结转移的人工智能模型。方法:我们回顾性分析1489例在我科接受标准宫颈纵隔镜检查的患者,其中472例诊断为非小细胞肺癌。我们开发了三种不同的N2淋巴结转移预测模型:一种使用标准统计分析,另一种使用胸部CT图像处理深度学习算法,第三种使用各种机器学习方法结合临床病理和放射学数据。我们比较了所有模型的诊断准确性、曲线下面积(AUC)、敏感性和特异性以及f1评分。结果:线性判别分析、二次判别分析、高斯朴素贝叶斯和人工神经网络的准确率均超过90%。线性支持向量机的准确率为95.7%,AUC为93.5%,f1得分为92%,优于基于logistic回归的统计模型,准确率为90.6%,AUC为85.7%。结论:机器学习模型在预测N2淋巴结转移方面优于标准统计分析模型。实现这些机器学习预测模型可能会大大提高纵隔淋巴结转移检测的准确性,从而提高临床决策和患者预后。
本文章由计算机程序翻译,如有差异,请以英文原文为准。
求助全文
约1分钟内获得全文 求助全文
来源期刊
BMC Pulmonary Medicine
BMC Pulmonary Medicine RESPIRATORY SYSTEM-
CiteScore
4.40
自引率
3.20%
发文量
423
审稿时长
6-12 weeks
期刊介绍: BMC Pulmonary Medicine is an open access, peer-reviewed journal that considers articles on all aspects of the prevention, diagnosis and management of pulmonary and associated disorders, as well as related molecular genetics, pathophysiology, and epidemiology.
×
引用
GB/T 7714-2015
复制
MLA
复制
APA
复制
导出至
BibTeX EndNote RefMan NoteFirst NoteExpress
×
提示
您的信息不完整,为了账户安全,请先补充。
现在去补充
×
提示
您因"违规操作"
具体请查看互助需知
我知道了
×
提示
确定
请完成安全验证×
copy
已复制链接
快去分享给好友吧!
我知道了
右上角分享
点击右上角分享
0
联系我们:info@booksci.cn Book学术提供免费学术资源搜索服务,方便国内外学者检索中英文文献。致力于提供最便捷和优质的服务体验。 Copyright © 2023 布克学术 All rights reserved.
京ICP备2023020795号-1
ghs 京公网安备 11010802042870号
Book学术文献互助
Book学术文献互助群
群 号:604180095
Book学术官方微信