Periodontal Management to Improve Oral Health-related Quality of Life in an Adolescent Girl with Phenytoin-induced Gingival Enlargement: A Case Report.

Q3 Dentistry
Anika Dawar, Bhumika Gumber, Kanika Makker
{"title":"Periodontal Management to Improve Oral Health-related Quality of Life in an Adolescent Girl with Phenytoin-induced Gingival Enlargement: A Case Report.","authors":"Anika Dawar, Bhumika Gumber, Kanika Makker","doi":"10.5005/jp-journals-10005-3133","DOIUrl":null,"url":null,"abstract":"<p><strong>Aims and background: </strong>Gingival enlargement is a common adverse effect of phenytoin medication prescribed for epilepsy. This case report, for the first time, presents the impact of severe phenytoin-induced gingival enlargement (PGE) on the oral health-related quality of life (OHRQoL), which assesses the physical, social, and psychological effects of the disease. This case illustrates the importance of simple measures like drug substitution in conjunction with nonsurgical periodontal therapy (NSPT) as the keystone in the periodontal management of PGE.</p><p><strong>Case description: </strong>A 15-year-old girl presented with a generalized, severe, disfiguring PGE involving the entire maxillary and mandibular arch, causing an impairment of oral hygiene, mastication, speech, and esthetics. Clinical indices and oral health impact profile-14 were recorded at baseline, 1, 6, 9, 12, and 18 months. Phenytoin was replaced by the drugs levetiracetam and oxycarbamazepine. NSPT was initiated, which included plaque control measures and oral prophylaxis. There was a consistent improvement in OHRQoL scores from baseline (score 52 out of 56) to 6 months (score 15; 70% improvement) and a decrease of subscale scores (score 8-2) for psychological discomfort, psychological disability, and social disability, following drug substitution and NSPT. Thereafter, the relatively smaller, nonresponsive, persistent growth was treated with gingivectomy. Complete restoration of gingival health and no signs of recurrence were seen at 18 months (score 0).</p><p><strong>Conclusion: </strong>PGE can impact both the physical and psychological well-being of the patient. The synergism of NSPT and drug substitution can cause a substantial reduction in PGE, thus improving OHRQoL.</p><p><strong>Clinical significance: </strong>Local plaque control, routine dental visits, and long-term maintenance are essential for every patient undergoing phenytoin therapy for controlling the severity and recurrence of phenytoin-induced gingival overgrowth.</p><p><strong>How to cite this article: </strong>Dawar A, Gumber B, Makker K. Periodontal Management to Improve Oral Health-related Quality of Life in an Adolescent Girl with Phenytoin-induced Gingival Enlargement: A Case Report. Int J Clin Pediatr Dent 2025;18(5):599-605.</p>","PeriodicalId":36045,"journal":{"name":"International Journal of Clinical Pediatric Dentistry","volume":"18 5","pages":"599-605"},"PeriodicalIF":0.0000,"publicationDate":"2025-05-01","publicationTypes":"Journal Article","fieldsOfStudy":null,"isOpenAccess":false,"openAccessPdf":"https://www.ncbi.nlm.nih.gov/pmc/articles/PMC12488515/pdf/","citationCount":"0","resultStr":null,"platform":"Semanticscholar","paperid":null,"PeriodicalName":"International Journal of Clinical Pediatric Dentistry","FirstCategoryId":"1085","ListUrlMain":"https://doi.org/10.5005/jp-journals-10005-3133","RegionNum":0,"RegionCategory":null,"ArticlePicture":[],"TitleCN":null,"AbstractTextCN":null,"PMCID":null,"EPubDate":"2025/7/25 0:00:00","PubModel":"Epub","JCR":"Q3","JCRName":"Dentistry","Score":null,"Total":0}
引用次数: 0

Abstract

Aims and background: Gingival enlargement is a common adverse effect of phenytoin medication prescribed for epilepsy. This case report, for the first time, presents the impact of severe phenytoin-induced gingival enlargement (PGE) on the oral health-related quality of life (OHRQoL), which assesses the physical, social, and psychological effects of the disease. This case illustrates the importance of simple measures like drug substitution in conjunction with nonsurgical periodontal therapy (NSPT) as the keystone in the periodontal management of PGE.

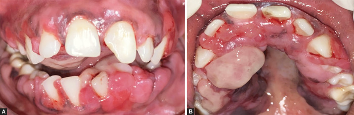
Case description: A 15-year-old girl presented with a generalized, severe, disfiguring PGE involving the entire maxillary and mandibular arch, causing an impairment of oral hygiene, mastication, speech, and esthetics. Clinical indices and oral health impact profile-14 were recorded at baseline, 1, 6, 9, 12, and 18 months. Phenytoin was replaced by the drugs levetiracetam and oxycarbamazepine. NSPT was initiated, which included plaque control measures and oral prophylaxis. There was a consistent improvement in OHRQoL scores from baseline (score 52 out of 56) to 6 months (score 15; 70% improvement) and a decrease of subscale scores (score 8-2) for psychological discomfort, psychological disability, and social disability, following drug substitution and NSPT. Thereafter, the relatively smaller, nonresponsive, persistent growth was treated with gingivectomy. Complete restoration of gingival health and no signs of recurrence were seen at 18 months (score 0).

Conclusion: PGE can impact both the physical and psychological well-being of the patient. The synergism of NSPT and drug substitution can cause a substantial reduction in PGE, thus improving OHRQoL.

Clinical significance: Local plaque control, routine dental visits, and long-term maintenance are essential for every patient undergoing phenytoin therapy for controlling the severity and recurrence of phenytoin-induced gingival overgrowth.

How to cite this article: Dawar A, Gumber B, Makker K. Periodontal Management to Improve Oral Health-related Quality of Life in an Adolescent Girl with Phenytoin-induced Gingival Enlargement: A Case Report. Int J Clin Pediatr Dent 2025;18(5):599-605.

Abstract Image

Abstract Image

Abstract Image

牙周管理改善苯妥英引起的牙龈肿大的青春期女孩口腔健康相关生活质量:一例报告。
目的和背景:牙龈肿大是苯妥英治疗癫痫的常见不良反应。本病例报告首次提出了严重苯妥英引起的牙龈肿大(PGE)对口腔健康相关生活质量(OHRQoL)的影响,评估了该疾病的生理、社会和心理影响。这个病例说明了简单措施的重要性,如药物替代结合非手术牙周治疗(NSPT)作为牙周管理PGE的基石。病例描述:一名15岁女孩表现为全身性、严重、毁容性PGE,累及整个上颌和下颌弓,导致口腔卫生、咀嚼、言语和美学受损。在基线、1、6、9、12和18个月记录临床指标和口腔健康影响概况-14。苯妥英被左乙拉西坦和奥卡马西平替代。NSPT被启动,其中包括菌斑控制措施和口腔预防。药物替代和NSPT后,OHRQoL评分从基线(56分中的52分)到6个月(15分,改善70%)持续改善,心理不适、心理残疾和社会残疾的亚量表评分(8-2分)下降。此后,对相对较小的、无反应的、持续的生长进行牙龈切除术。18个月时牙龈健康完全恢复,无复发迹象(评分0)。结论:PGE对患者身心健康均有影响。NSPT和药物替代的协同作用可使PGE显著降低,从而改善OHRQoL。临床意义:局部菌斑控制、常规牙科检查和长期维护是每一位接受苯妥英治疗的患者控制苯妥英诱导的牙龈过度生长的严重程度和复发的必要条件。Dawar A, Gumber B, Makker K.牙周管理改善苯妥英引起的牙龈肿大的青春期女孩口腔健康相关生活质量:1例报告。中华临床儿科杂志,2015;18(5):599-605。
本文章由计算机程序翻译,如有差异,请以英文原文为准。
求助全文
约1分钟内获得全文 求助全文
来源期刊
CiteScore
1.20
自引率
0.00%
发文量
135
×
引用
GB/T 7714-2015
复制
MLA
复制
APA
复制
导出至
BibTeX EndNote RefMan NoteFirst NoteExpress
×
提示
您的信息不完整,为了账户安全,请先补充。
现在去补充
×
提示
您因"违规操作"
具体请查看互助需知
我知道了
×
提示
确定
请完成安全验证×
copy
已复制链接
快去分享给好友吧!
我知道了
右上角分享
点击右上角分享
0
联系我们:info@booksci.cn Book学术提供免费学术资源搜索服务,方便国内外学者检索中英文文献。致力于提供最便捷和优质的服务体验。 Copyright © 2023 布克学术 All rights reserved.
京ICP备2023020795号-1
ghs 京公网安备 11010802042870号
Book学术文献互助
Book学术文献互助群
群 号:604180095
Book学术官方微信