Noninvasive assessment of hemodynamic profile and myocardial mechanics in pulsus alternans patients by multiple echocardiographic methods.

IF 2.9 Q2 Medicine
Rongrong Miao, Tingting Wu, Qilong Wu, Teng Ye, Hui Li, Shusheng Liao
{"title":"Noninvasive assessment of hemodynamic profile and myocardial mechanics in pulsus alternans patients by multiple echocardiographic methods.","authors":"Rongrong Miao, Tingting Wu, Qilong Wu, Teng Ye, Hui Li, Shusheng Liao","doi":"10.1186/s13089-025-00448-y","DOIUrl":null,"url":null,"abstract":"<p><strong>Background: </strong>Pulsus alternans (PA) is an intriguing phenomenon and a clinically rare entity. Accurately assessing cardiac function in patients with PA remains challenging. This study aims to investigate the myocardial mechanical characteristics and non-invasive hemodynamic profiles of PA patients using multiple echocardiographic imaging modalities.</p><p><strong>Methods: </strong>Clinical and echocardiographic data were retrospectively analysed from 16 patients diagnosed with PA by echocardiography at our hospital between January 2021 and May 2025. In this study, the characteristics of PA were elaborated by multiple echocardiographic methods, and the non-invasive hemodynamic profile was determined by pulse-wave Doppler.</p><p><strong>Results: </strong>Sixteen patients were enrolled. Seven were classified as NYHA class III and six as class IV. Elevated levels of NT-proBNP and hs-cTNT were observed in most patients. Follow-up ranged from 1 to 44 months, and five patients experienced adverse outcomes, including heart transplantation, rehospitalisation, and death. Within this cohort, three patients exhibited biventricular PA, while 13 patients presented with left ventricular (LV) PA. Key hemodynamic parameters varied significantly: LVOT-VTI<sub>strong beat</sub> ranged from 11.3 cm to 29.2 cm, LVOT-VTI<sub>weak beat</sub> from 6.8 cm to 22.1 cm, and the variation rate between strong and weak beats (∆LVOT-VTI) ranged from 19 to 52%. Global longitudinal strain (GLS) was significantly reduced in 14 patients (range: - 1.2% to - 10.4%), while peak strain dispersion (PSD) increased (range: 47 ms to 117.5 ms). Two patients were excluded from strain analysis due to suboptimal imaging. Hemodynamic parameters (LVOT-VTI<sub>strong beat</sub>, LVOT-VTI<sub>weak beat</sub> and ∆LVOT-VTI) showed strong correlations with GLS in PA patients (r = 0.806, P = 0.001; r = 0.642, P = 0.018 and r = 0.611, P = 0.027, respectively). NT-proBNP was significantly positively related to adverse outcomes in PA patients (r = 0.669, P = 0.012).</p><p><strong>Conclusion: </strong>Echocardiography is essential for evaluating cardiac function in patients with PA. This study used multiple echocardiographic methods to delineate the characteristics of this intriguing clinical phenomenon. Non-invasive hemodynamic parameters are potentially important for prognosis assessment, and myocardial strain assessment provides valuable insights into myocardial mechanical features. A comprehensive analysis using multimodality imaging is crucial for accurately identifying this disease, potentially enhancing the understanding of the pathophysiological mechanism of PA.</p>","PeriodicalId":36911,"journal":{"name":"Ultrasound Journal","volume":"17 1","pages":"46"},"PeriodicalIF":2.9000,"publicationDate":"2025-10-06","publicationTypes":"Journal Article","fieldsOfStudy":null,"isOpenAccess":false,"openAccessPdf":"https://www.ncbi.nlm.nih.gov/pmc/articles/PMC12500491/pdf/","citationCount":"0","resultStr":null,"platform":"Semanticscholar","paperid":null,"PeriodicalName":"Ultrasound Journal","FirstCategoryId":"1085","ListUrlMain":"https://doi.org/10.1186/s13089-025-00448-y","RegionNum":0,"RegionCategory":null,"ArticlePicture":[],"TitleCN":null,"AbstractTextCN":null,"PMCID":null,"EPubDate":"","PubModel":"","JCR":"Q2","JCRName":"Medicine","Score":null,"Total":0}
引用次数: 0

Abstract

Background: Pulsus alternans (PA) is an intriguing phenomenon and a clinically rare entity. Accurately assessing cardiac function in patients with PA remains challenging. This study aims to investigate the myocardial mechanical characteristics and non-invasive hemodynamic profiles of PA patients using multiple echocardiographic imaging modalities.

Methods: Clinical and echocardiographic data were retrospectively analysed from 16 patients diagnosed with PA by echocardiography at our hospital between January 2021 and May 2025. In this study, the characteristics of PA were elaborated by multiple echocardiographic methods, and the non-invasive hemodynamic profile was determined by pulse-wave Doppler.

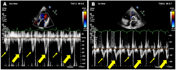
Results: Sixteen patients were enrolled. Seven were classified as NYHA class III and six as class IV. Elevated levels of NT-proBNP and hs-cTNT were observed in most patients. Follow-up ranged from 1 to 44 months, and five patients experienced adverse outcomes, including heart transplantation, rehospitalisation, and death. Within this cohort, three patients exhibited biventricular PA, while 13 patients presented with left ventricular (LV) PA. Key hemodynamic parameters varied significantly: LVOT-VTIstrong beat ranged from 11.3 cm to 29.2 cm, LVOT-VTIweak beat from 6.8 cm to 22.1 cm, and the variation rate between strong and weak beats (∆LVOT-VTI) ranged from 19 to 52%. Global longitudinal strain (GLS) was significantly reduced in 14 patients (range: - 1.2% to - 10.4%), while peak strain dispersion (PSD) increased (range: 47 ms to 117.5 ms). Two patients were excluded from strain analysis due to suboptimal imaging. Hemodynamic parameters (LVOT-VTIstrong beat, LVOT-VTIweak beat and ∆LVOT-VTI) showed strong correlations with GLS in PA patients (r = 0.806, P = 0.001; r = 0.642, P = 0.018 and r = 0.611, P = 0.027, respectively). NT-proBNP was significantly positively related to adverse outcomes in PA patients (r = 0.669, P = 0.012).

Conclusion: Echocardiography is essential for evaluating cardiac function in patients with PA. This study used multiple echocardiographic methods to delineate the characteristics of this intriguing clinical phenomenon. Non-invasive hemodynamic parameters are potentially important for prognosis assessment, and myocardial strain assessment provides valuable insights into myocardial mechanical features. A comprehensive analysis using multimodality imaging is crucial for accurately identifying this disease, potentially enhancing the understanding of the pathophysiological mechanism of PA.

Abstract Image

Abstract Image

Abstract Image

多种超声心动图方法无创评价脉交替患者的血流动力学特征和心肌力学。
背景:交替脉(PA)是一种有趣的临床罕见现象。准确评估PA患者的心功能仍然具有挑战性。本研究旨在通过多种超声心动图成像方式研究PA患者的心肌力学特征和非侵入性血流动力学特征。方法:回顾性分析我院2021年1月至2025年5月超声心动图诊断为PA的16例患者的临床和超声心动图资料。本研究通过多种超声心动图方法阐述了PA的特点,并通过脉冲波多普勒测定了无创血流动力学剖面。结果:16例患者入组。其中7例为NYHA III级,6例为IV级。大多数患者NT-proBNP和hs-cTNT水平升高。随访时间从1到44个月不等,5名患者出现了不良结果,包括心脏移植、再住院和死亡。在该队列中,3例患者表现为双心室PA, 13例患者表现为左心室(LV) PA。关键血流动力学参数变化显著:LVOT-VTI强搏在11.3 cm ~ 29.2 cm之间,LVOT-VTI弱搏在6.8 cm ~ 22.1 cm之间,强弱搏(∆LVOT-VTI)变化率在19% ~ 52%之间。14例患者总体纵向应变(GLS)显著降低(范围:- 1.2% ~ - 10.4%),峰值应变离散(PSD)增加(范围:47 ms ~ 117.5 ms)。2例患者因影像不理想被排除在应变分析之外。血流动力学参数(lvot - vti强拍、lvot - vti弱拍和∆LVOT-VTI)与PA患者GLS有较强相关性(r = 0.806, P = 0.001; r = 0.642, P = 0.018和r = 0.611, P = 0.027)。NT-proBNP与PA患者不良结局显著正相关(r = 0.669, P = 0.012)。结论:超声心动图是评价PA患者心功能的重要指标。本研究使用多种超声心动图方法来描述这种有趣的临床现象的特征。非侵入性血流动力学参数对预后评估具有潜在的重要意义,心肌应变评估为心肌力学特征提供了有价值的见解。使用多模态成像进行综合分析对于准确识别这种疾病至关重要,可能会增强对前列腺癌病理生理机制的理解。
本文章由计算机程序翻译,如有差异,请以英文原文为准。
求助全文
约1分钟内获得全文 求助全文
来源期刊
Ultrasound Journal
Ultrasound Journal Health Professions-Radiological and Ultrasound Technology
CiteScore
6.80
自引率
2.90%
发文量
45
审稿时长
22 weeks
×
引用
GB/T 7714-2015
复制
MLA
复制
APA
复制
导出至
BibTeX EndNote RefMan NoteFirst NoteExpress
×
提示
您的信息不完整,为了账户安全,请先补充。
现在去补充
×
提示
您因"违规操作"
具体请查看互助需知
我知道了
×
提示
确定
请完成安全验证×
copy
已复制链接
快去分享给好友吧!
我知道了
右上角分享
点击右上角分享
0
联系我们:info@booksci.cn Book学术提供免费学术资源搜索服务,方便国内外学者检索中英文文献。致力于提供最便捷和优质的服务体验。 Copyright © 2023 布克学术 All rights reserved.
京ICP备2023020795号-1
ghs 京公网安备 11010802042870号
Book学术文献互助
Book学术文献互助群
群 号:604180095
Book学术官方微信