A case report of hepatocarcinoma-originated pericardial malignancy.

IF 2.8 3区 医学 Q2 CARDIAC & CARDIOVASCULAR SYSTEMS
Frontiers in Cardiovascular Medicine Pub Date : 2025-09-18 eCollection Date: 2025-01-01 DOI:10.3389/fcvm.2025.1643805
Bin Wu, Zhixiao Wang, Weizhe Lin, Jian Xiong, Chaoyong He
{"title":"A case report of hepatocarcinoma-originated pericardial malignancy.","authors":"Bin Wu, Zhixiao Wang, Weizhe Lin, Jian Xiong, Chaoyong He","doi":"10.3389/fcvm.2025.1643805","DOIUrl":null,"url":null,"abstract":"<p><p>Cardiac tumors constitute an exceptionally rare neoplastic entity posing significant diagnostic challenges. We report a 55-year-old female patient without prior oncologic history who presented with acute-onset bilateral lower extremity edema progressing over 72 h. Transthoracic echocardiography demonstrated a pericardial mass with concomitant hemorrhagic pericardial effusion. Subsequent magnetic resonance imaging and systemic positron emission tomography localized the lesion to the right bottom of the heart. Surgical exploration suggested a cardiac occupancy as an irregular, fish-flesh-like soft tissue mass, pathology biopsy was performed suggesting a malignant tumour of epithelial origin, and immunohistochemistry was suggestive of hepatic origin. The patient received combination therapy comprising programmed death-1 inhibitor camrelizumab (200 mg via intravenous infusion every 21 days) and oral lenvatinib (8 mg once daily). Serial contrast-enhanced computed tomography of the thorax and abdomen demonstrated progressive metastatic dissemination with malignant pleural and peritoneal effusion formation. Despite therapeutic intervention, the patient ultimately experienced disease progression culminating in mortality.</p>","PeriodicalId":12414,"journal":{"name":"Frontiers in Cardiovascular Medicine","volume":"12 ","pages":"1643805"},"PeriodicalIF":2.8000,"publicationDate":"2025-09-18","publicationTypes":"Journal Article","fieldsOfStudy":null,"isOpenAccess":false,"openAccessPdf":"https://www.ncbi.nlm.nih.gov/pmc/articles/PMC12488558/pdf/","citationCount":"0","resultStr":null,"platform":"Semanticscholar","paperid":null,"PeriodicalName":"Frontiers in Cardiovascular Medicine","FirstCategoryId":"3","ListUrlMain":"https://doi.org/10.3389/fcvm.2025.1643805","RegionNum":3,"RegionCategory":"医学","ArticlePicture":[],"TitleCN":null,"AbstractTextCN":null,"PMCID":null,"EPubDate":"2025/1/1 0:00:00","PubModel":"eCollection","JCR":"Q2","JCRName":"CARDIAC & CARDIOVASCULAR SYSTEMS","Score":null,"Total":0}
引用次数: 0

Abstract

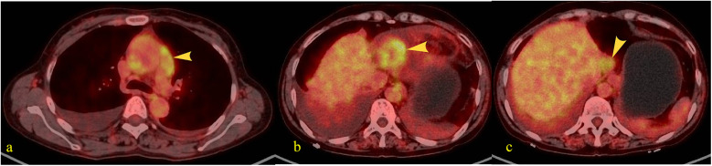
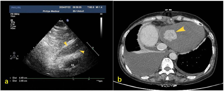
Cardiac tumors constitute an exceptionally rare neoplastic entity posing significant diagnostic challenges. We report a 55-year-old female patient without prior oncologic history who presented with acute-onset bilateral lower extremity edema progressing over 72 h. Transthoracic echocardiography demonstrated a pericardial mass with concomitant hemorrhagic pericardial effusion. Subsequent magnetic resonance imaging and systemic positron emission tomography localized the lesion to the right bottom of the heart. Surgical exploration suggested a cardiac occupancy as an irregular, fish-flesh-like soft tissue mass, pathology biopsy was performed suggesting a malignant tumour of epithelial origin, and immunohistochemistry was suggestive of hepatic origin. The patient received combination therapy comprising programmed death-1 inhibitor camrelizumab (200 mg via intravenous infusion every 21 days) and oral lenvatinib (8 mg once daily). Serial contrast-enhanced computed tomography of the thorax and abdomen demonstrated progressive metastatic dissemination with malignant pleural and peritoneal effusion formation. Despite therapeutic intervention, the patient ultimately experienced disease progression culminating in mortality.

Abstract Image

Abstract Image

Abstract Image

肝癌源性心包恶性肿瘤1例报告。
心脏肿瘤是一种非常罕见的肿瘤实体,对诊断提出了重大挑战。我们报告了一位55岁的女性患者,之前没有肿瘤病史,她表现为急性发作的双侧下肢水肿,进展超过72小时。经胸超声心动图显示心包肿块伴出血性心包积液。随后的磁共振成像和全身正电子发射断层扫描将病变定位在心脏右下方。手术探查提示心脏占位为不规则的鱼肉样软组织肿块,病理活检提示上皮源性恶性肿瘤,免疫组化提示肝源性肿瘤。患者接受了包括程序性死亡-1抑制剂camrelizumab(每21天静脉输注200毫克)和口服lenvatinib(每天一次8毫克)的联合治疗。胸部和腹部连续增强计算机断层扫描显示进行性转移播散伴恶性胸膜和腹膜积液形成。尽管进行了治疗干预,但患者最终经历了疾病进展,最终导致死亡。
本文章由计算机程序翻译,如有差异,请以英文原文为准。
求助全文
约1分钟内获得全文 求助全文
来源期刊
Frontiers in Cardiovascular Medicine
Frontiers in Cardiovascular Medicine Medicine-Cardiology and Cardiovascular Medicine
CiteScore
3.80
自引率
11.10%
发文量
3529
审稿时长
14 weeks
期刊介绍: Frontiers? Which frontiers? Where exactly are the frontiers of cardiovascular medicine? And who should be defining these frontiers? At Frontiers in Cardiovascular Medicine we believe it is worth being curious to foresee and explore beyond the current frontiers. In other words, we would like, through the articles published by our community journal Frontiers in Cardiovascular Medicine, to anticipate the future of cardiovascular medicine, and thus better prevent cardiovascular disorders and improve therapeutic options and outcomes of our patients.
×
引用
GB/T 7714-2015
复制
MLA
复制
APA
复制
导出至
BibTeX EndNote RefMan NoteFirst NoteExpress
×
提示
您的信息不完整,为了账户安全,请先补充。
现在去补充
×
提示
您因"违规操作"
具体请查看互助需知
我知道了
×
提示
确定
请完成安全验证×
copy
已复制链接
快去分享给好友吧!
我知道了
右上角分享
点击右上角分享
0
联系我们:info@booksci.cn Book学术提供免费学术资源搜索服务,方便国内外学者检索中英文文献。致力于提供最便捷和优质的服务体验。 Copyright © 2023 布克学术 All rights reserved.
京ICP备2023020795号-1
ghs 京公网安备 11010802042870号
Book学术文献互助
Book学术文献互助群
群 号:604180095
Book学术官方微信