Successful surgical management of Ménétrier-like disease in a Devon Rex cat.

Brazilian journal of veterinary medicine Pub Date : 2025-10-01 eCollection Date: 2025-01-01 DOI:10.29374/2527-2179.bjvm005625
Evelina Burbaitė, Vytautas Stankus, Cynthia de Vries, Brigita Bandzevičiūtė, Vytautas Sabūnas
{"title":"Successful surgical management of Ménétrier-like disease in a Devon Rex cat.","authors":"Evelina Burbaitė, Vytautas Stankus, Cynthia de Vries, Brigita Bandzevičiūtė, Vytautas Sabūnas","doi":"10.29374/2527-2179.bjvm005625","DOIUrl":null,"url":null,"abstract":"<p><p>Ménétrier's disease is a rare human condition that causes diffuse hypertrophy of the gastric rugal folds. A similar condition in dogs has been reported as Ménétrier-like disease (MLD). To date, only two feline cases have been reported, and treatment was either unsuccessful or not documented. A 3-year-old female spayed Devon Rex cat was presented with acute nausea, retching, and vomiting. Within two months, multiple tests were performed to reach the diagnosis. Macroscopically, during gastroduodenoscopy, cerebriform hypertrophic gastric mucosal folds were observed in the gastric fundus, cardia, and greater curvature of the stomach. Superficial biopsy sampling of the gastric mucosa showed mild mucosal oedema and low numbers of <i>Helicobacter</i> spp. Considering the course of the disease, persistent gastrointestinal symptoms, and quality of life, a partial gastrectomy was performed. Histology of full-thickness biopsies confirmed hyperplastic fibrosing gastropathy with multifocal cystic dilated gastric glands resembling Ménétrier-like disease in dogs. At the time of the 3-month follow-up, the cat was asymptomatic, and the gastroduodenoscopy was unremarkable. This case report presents clinical findings, challenging diagnostics, and a novel treatment option in a cat with hyperplastic fibrosing gastropathy. To the authors'knowledge, this is the first reported successful surgical management of MLD in a cat.</p>","PeriodicalId":72458,"journal":{"name":"Brazilian journal of veterinary medicine","volume":"47 ","pages":"e005625"},"PeriodicalIF":0.0000,"publicationDate":"2025-10-01","publicationTypes":"Journal Article","fieldsOfStudy":null,"isOpenAccess":false,"openAccessPdf":"https://www.ncbi.nlm.nih.gov/pmc/articles/PMC12488196/pdf/","citationCount":"0","resultStr":null,"platform":"Semanticscholar","paperid":null,"PeriodicalName":"Brazilian journal of veterinary medicine","FirstCategoryId":"1085","ListUrlMain":"https://doi.org/10.29374/2527-2179.bjvm005625","RegionNum":0,"RegionCategory":null,"ArticlePicture":[],"TitleCN":null,"AbstractTextCN":null,"PMCID":null,"EPubDate":"2025/1/1 0:00:00","PubModel":"eCollection","JCR":"","JCRName":"","Score":null,"Total":0}
引用次数: 0

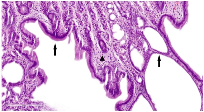
Abstract

Ménétrier's disease is a rare human condition that causes diffuse hypertrophy of the gastric rugal folds. A similar condition in dogs has been reported as Ménétrier-like disease (MLD). To date, only two feline cases have been reported, and treatment was either unsuccessful or not documented. A 3-year-old female spayed Devon Rex cat was presented with acute nausea, retching, and vomiting. Within two months, multiple tests were performed to reach the diagnosis. Macroscopically, during gastroduodenoscopy, cerebriform hypertrophic gastric mucosal folds were observed in the gastric fundus, cardia, and greater curvature of the stomach. Superficial biopsy sampling of the gastric mucosa showed mild mucosal oedema and low numbers of Helicobacter spp. Considering the course of the disease, persistent gastrointestinal symptoms, and quality of life, a partial gastrectomy was performed. Histology of full-thickness biopsies confirmed hyperplastic fibrosing gastropathy with multifocal cystic dilated gastric glands resembling Ménétrier-like disease in dogs. At the time of the 3-month follow-up, the cat was asymptomatic, and the gastroduodenoscopy was unremarkable. This case report presents clinical findings, challenging diagnostics, and a novel treatment option in a cat with hyperplastic fibrosing gastropathy. To the authors'knowledge, this is the first reported successful surgical management of MLD in a cat.

Abstract Image

Abstract Image

Abstract Image

德文雷克斯猫成功的手术治疗。
梅氏病是一种罕见的人类疾病,引起胃褶皱弥漫性肥大。在狗身上也有类似的疾病报告,称为MLD。迄今为止,只报告了两只猫的病例,治疗要么不成功,要么没有记录。一只3岁的德文雷克斯雌性绝育猫出现了急性恶心、干呕和呕吐。在两个月内,进行了多次测试以达到诊断。在胃十二指肠镜下,胃底、贲门和胃大弯曲处可见脑状增生性胃粘膜褶皱。胃黏膜浅表活检显示轻度黏膜水肿,幽门螺杆菌数量少。考虑到病程、持续的胃肠道症状和生活质量,行部分胃切除术。全层活检组织学证实狗的增生性纤维化胃病伴多灶性囊性胃腺扩张,类似于msamnsamtrie样疾病。在3个月的随访中,猫无症状,胃十二指肠镜检查无明显异常。本病例报告介绍了猫增生性纤维化胃病的临床表现,具有挑战性的诊断和一种新的治疗选择。据作者所知,这是首次报道成功的手术治疗猫的MLD。
本文章由计算机程序翻译,如有差异,请以英文原文为准。
求助全文
约1分钟内获得全文 求助全文
来源期刊
自引率
0.00%
发文量
0
×
引用
GB/T 7714-2015
复制
MLA
复制
APA
复制
导出至
BibTeX EndNote RefMan NoteFirst NoteExpress
×
提示
您的信息不完整,为了账户安全,请先补充。
现在去补充
×
提示
您因"违规操作"
具体请查看互助需知
我知道了
×
提示
确定
请完成安全验证×
copy
已复制链接
快去分享给好友吧!
我知道了
右上角分享
点击右上角分享
0
联系我们:info@booksci.cn Book学术提供免费学术资源搜索服务,方便国内外学者检索中英文文献。致力于提供最便捷和优质的服务体验。 Copyright © 2023 布克学术 All rights reserved.
京ICP备2023020795号-1
ghs 京公网安备 11010802042870号
Book学术文献互助
Book学术文献互助群
群 号:604180095
Book学术官方微信