Dental Management of Child with Myelomeningocele Associated with Type II Arnold-Chiari Malformation: Case Report and Review of Literature.

Q3 Dentistry
Makkada Yuvaraj Padmanabhan
{"title":"Dental Management of Child with Myelomeningocele Associated with Type II Arnold-Chiari Malformation: Case Report and Review of Literature.","authors":"Makkada Yuvaraj Padmanabhan","doi":"10.5005/jp-journals-10005-3150","DOIUrl":null,"url":null,"abstract":"<p><strong>Aim and background: </strong>Myelomeningocele (MMC), the most severe form of spina bifida, is a congenital malformation of the spinal cord and brain, often associated with type II Arnold-Chiari malformation. This condition leads to significant complications such as hydrocephalus, cerebrospinal fluid (CSF) leakage, mobility impairment, and bladder/bowel incontinence. These issues, along with social and financial burdens, profoundly affect patients and their families. Children with MMC are also at higher risk of dental neglect, increasing the likelihood of severe oral health issues like dental caries and gingival disease.</p><p><strong>Case description: </strong>This case focuses on the dental management of a young child with MMC and type II Arnold-Chiari malformation. Due to the elevated risk of complications from general anesthesia or sedation, behavior management techniques were employed to provide comprehensive dental care. The treatment approach considered the child's medical complexities, mobility limitations, and neurosensory challenges, ensuring that oral health needs were met safely and effectively.</p><p><strong>Conclusion: </strong>Children with MMC and type II Arnold-Chiari malformation require careful treatment planning to avoid anesthesia-related risks. Comprehensive dental care can be successfully provided using behavior management strategies.</p><p><strong>Clinical significance: </strong>This case highlights the importance of adapting dental care to the needs of children with complex medical conditions. Nonpharmacological strategies can ensure safe treatment, reducing the risk of complications and improving overall health outcomes.</p><p><strong>How to cite this article: </strong>Padmanabhan MY. Dental Management of Child with Myelomeningocele Associated with Type II Arnold-Chiari Malformation: Case Report and Review of Literature. Int J Clin Pediatr Dent 2025;18(6):738-744.</p>","PeriodicalId":36045,"journal":{"name":"International Journal of Clinical Pediatric Dentistry","volume":"18 6","pages":"738-744"},"PeriodicalIF":0.0000,"publicationDate":"2025-06-01","publicationTypes":"Journal Article","fieldsOfStudy":null,"isOpenAccess":false,"openAccessPdf":"https://www.ncbi.nlm.nih.gov/pmc/articles/PMC12486479/pdf/","citationCount":"0","resultStr":null,"platform":"Semanticscholar","paperid":null,"PeriodicalName":"International Journal of Clinical Pediatric Dentistry","FirstCategoryId":"1085","ListUrlMain":"https://doi.org/10.5005/jp-journals-10005-3150","RegionNum":0,"RegionCategory":null,"ArticlePicture":[],"TitleCN":null,"AbstractTextCN":null,"PMCID":null,"EPubDate":"2025/8/6 0:00:00","PubModel":"Epub","JCR":"Q3","JCRName":"Dentistry","Score":null,"Total":0}
引用次数: 0

Abstract

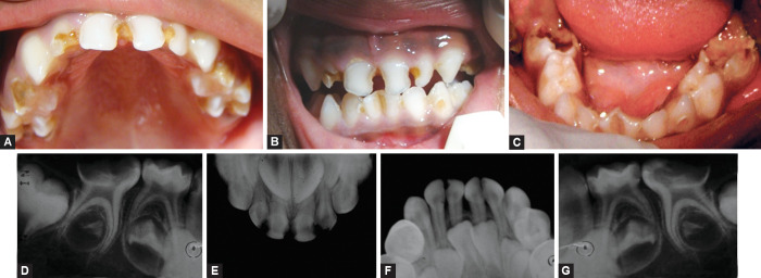
Aim and background: Myelomeningocele (MMC), the most severe form of spina bifida, is a congenital malformation of the spinal cord and brain, often associated with type II Arnold-Chiari malformation. This condition leads to significant complications such as hydrocephalus, cerebrospinal fluid (CSF) leakage, mobility impairment, and bladder/bowel incontinence. These issues, along with social and financial burdens, profoundly affect patients and their families. Children with MMC are also at higher risk of dental neglect, increasing the likelihood of severe oral health issues like dental caries and gingival disease.

Case description: This case focuses on the dental management of a young child with MMC and type II Arnold-Chiari malformation. Due to the elevated risk of complications from general anesthesia or sedation, behavior management techniques were employed to provide comprehensive dental care. The treatment approach considered the child's medical complexities, mobility limitations, and neurosensory challenges, ensuring that oral health needs were met safely and effectively.

Conclusion: Children with MMC and type II Arnold-Chiari malformation require careful treatment planning to avoid anesthesia-related risks. Comprehensive dental care can be successfully provided using behavior management strategies.

Clinical significance: This case highlights the importance of adapting dental care to the needs of children with complex medical conditions. Nonpharmacological strategies can ensure safe treatment, reducing the risk of complications and improving overall health outcomes.

How to cite this article: Padmanabhan MY. Dental Management of Child with Myelomeningocele Associated with Type II Arnold-Chiari Malformation: Case Report and Review of Literature. Int J Clin Pediatr Dent 2025;18(6):738-744.

Abstract Image

Abstract Image

Abstract Image

小儿脊髓脊膜膨出合并II型Arnold-Chiari畸形的牙科治疗:病例报告及文献回顾。
目的和背景:脊髓脊膜膨出(MMC)是脊柱裂最严重的形式,是脊髓和大脑的先天性畸形,通常与II型Arnold-Chiari畸形相关。这种情况会导致严重的并发症,如脑积水、脑脊液(CSF)泄漏、行动障碍和膀胱/肠失禁。这些问题,连同社会和经济负担,深刻地影响着患者及其家庭。患有MMC的儿童也有更高的牙科忽视风险,增加了严重口腔健康问题的可能性,如龋齿和牙龈疾病。病例描述:本病例集中于一个患有MMC和II型Arnold-Chiari畸形的幼儿的牙科治疗。由于全身麻醉或镇静的并发症风险增加,行为管理技术被用于提供全面的牙科护理。治疗方法考虑到儿童的医疗复杂性、活动能力限制和神经感觉挑战,确保安全有效地满足口腔健康需求。结论:MMC合并II型Arnold-Chiari畸形患儿需要精心的治疗计划以避免麻醉相关风险。使用行为管理策略可以成功地提供全面的牙科保健。临床意义:本病例强调了适应复杂医疗条件的儿童需要的牙科护理的重要性。非药物策略可以确保安全治疗,减少并发症的风险并改善整体健康结果。如何引用本文:Padmanabhan MY。小儿脊髓脊膜膨出合并II型Arnold-Chiari畸形的牙科治疗:病例报告及文献回顾。中华临床儿科杂志,2015;18(6):738-744。
本文章由计算机程序翻译,如有差异,请以英文原文为准。
求助全文
约1分钟内获得全文 求助全文
来源期刊
CiteScore
1.20
自引率
0.00%
发文量
135
×
引用
GB/T 7714-2015
复制
MLA
复制
APA
复制
导出至
BibTeX EndNote RefMan NoteFirst NoteExpress
×
提示
您的信息不完整,为了账户安全,请先补充。
现在去补充
×
提示
您因"违规操作"
具体请查看互助需知
我知道了
×
提示
确定
请完成安全验证×
copy
已复制链接
快去分享给好友吧!
我知道了
右上角分享
点击右上角分享
0
联系我们:info@booksci.cn Book学术提供免费学术资源搜索服务,方便国内外学者检索中英文文献。致力于提供最便捷和优质的服务体验。 Copyright © 2023 布克学术 All rights reserved.
京ICP备2023020795号-1
ghs 京公网安备 11010802042870号
Book学术文献互助
Book学术文献互助群
群 号:604180095
Book学术官方微信