Kikuchi-Fujimoto disease misdiagnosed as tubercular lymphadenitis: A puzzle in cervical lymph nodes.

IF 1 Q4 PRIMARY HEALTH CARE
Kshiroda Chandra Sahoo, Ananda Datta
{"title":"Kikuchi-Fujimoto disease misdiagnosed as tubercular lymphadenitis: A puzzle in cervical lymph nodes.","authors":"Kshiroda Chandra Sahoo, Ananda Datta","doi":"10.4103/jfmpc.jfmpc_171_25","DOIUrl":null,"url":null,"abstract":"<p><p>Kikuchi-Fujimoto disease (KFD) is a rare and benign condition characterized by regional necrotizing lymphadenopathy. Acute or subacute painful cervical lymphadenopathy is the most common clinical presentation. The characteristic morphology in histopathologic examination of the lymph node specimen is diagnostic of KFD. Fine needle aspiration cytology (FNAC), often employed as the initial diagnostic method, gives inconclusive results due to inadequate specimens. Our patient was a 36-year-old woman who presented with cervical lymphadenopathy for six weeks. Despite an inconclusive FNAC result, she was treated with empirical antituberculosis therapy (ATT). Later, she was diagnosed with KFD in our facility on excisional lung biopsy in view of non-improvement with ATT. Ambiguous cytological findings may usually lead to the initiation of empirical ATT since tuberculosis (TB) is a major cause of cervical lymphadenitis, particularly in TB-endemic areas. As a result, there is not only a delay in the management of the actual disease, but also a chance of developing adverse reactions to ATT.</p>","PeriodicalId":15856,"journal":{"name":"Journal of Family Medicine and Primary Care","volume":"14 8","pages":"3586-3588"},"PeriodicalIF":1.0000,"publicationDate":"2025-08-01","publicationTypes":"Journal Article","fieldsOfStudy":null,"isOpenAccess":false,"openAccessPdf":"https://www.ncbi.nlm.nih.gov/pmc/articles/PMC12488096/pdf/","citationCount":"0","resultStr":null,"platform":"Semanticscholar","paperid":null,"PeriodicalName":"Journal of Family Medicine and Primary Care","FirstCategoryId":"1085","ListUrlMain":"https://doi.org/10.4103/jfmpc.jfmpc_171_25","RegionNum":0,"RegionCategory":null,"ArticlePicture":[],"TitleCN":null,"AbstractTextCN":null,"PMCID":null,"EPubDate":"2025/9/24 0:00:00","PubModel":"Epub","JCR":"Q4","JCRName":"PRIMARY HEALTH CARE","Score":null,"Total":0}
引用次数: 0

Abstract

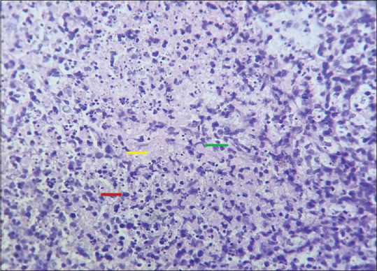
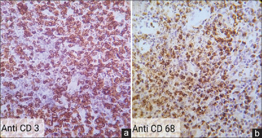
Kikuchi-Fujimoto disease (KFD) is a rare and benign condition characterized by regional necrotizing lymphadenopathy. Acute or subacute painful cervical lymphadenopathy is the most common clinical presentation. The characteristic morphology in histopathologic examination of the lymph node specimen is diagnostic of KFD. Fine needle aspiration cytology (FNAC), often employed as the initial diagnostic method, gives inconclusive results due to inadequate specimens. Our patient was a 36-year-old woman who presented with cervical lymphadenopathy for six weeks. Despite an inconclusive FNAC result, she was treated with empirical antituberculosis therapy (ATT). Later, she was diagnosed with KFD in our facility on excisional lung biopsy in view of non-improvement with ATT. Ambiguous cytological findings may usually lead to the initiation of empirical ATT since tuberculosis (TB) is a major cause of cervical lymphadenitis, particularly in TB-endemic areas. As a result, there is not only a delay in the management of the actual disease, but also a chance of developing adverse reactions to ATT.

Abstract Image

Abstract Image

菊池-藤本病误诊为结核性淋巴结炎:颈淋巴结之谜。
菊池-藤本病(KFD)是一种罕见的良性疾病,以区域性坏死性淋巴结病变为特征。急性或亚急性疼痛性宫颈淋巴结病是最常见的临床表现。淋巴结标本组织病理学检查的特征形态是KFD的诊断。细针抽吸细胞学(FNAC)通常被用作最初的诊断方法,由于样本不足,结果不确定。我们的病人是一名36岁的女性,她表现为宫颈淋巴结病6周。尽管FNAC结果不确定,但她接受了经验性抗结核治疗(ATT)。后来,鉴于ATT未得到改善,她在我们的医院进行了肺切除活检,诊断为KFD。由于结核病(TB)是宫颈淋巴结炎的主要原因,特别是在结核病流行地区,模糊的细胞学检查结果通常会导致经验性ATT的开始。因此,不仅延误了对实际疾病的管理,而且有可能对ATT产生不良反应。
本文章由计算机程序翻译,如有差异,请以英文原文为准。
求助全文
约1分钟内获得全文 求助全文
来源期刊
自引率
7.10%
发文量
884
审稿时长
40 weeks
×
引用
GB/T 7714-2015
复制
MLA
复制
APA
复制
导出至
BibTeX EndNote RefMan NoteFirst NoteExpress
×
提示
您的信息不完整,为了账户安全,请先补充。
现在去补充
×
提示
您因"违规操作"
具体请查看互助需知
我知道了
×
提示
确定
请完成安全验证×
copy
已复制链接
快去分享给好友吧!
我知道了
右上角分享
点击右上角分享
0
联系我们:info@booksci.cn Book学术提供免费学术资源搜索服务,方便国内外学者检索中英文文献。致力于提供最便捷和优质的服务体验。 Copyright © 2023 布克学术 All rights reserved.
京ICP备2023020795号-1
ghs 京公网安备 11010802042870号
Book学术文献互助
Book学术文献互助群
群 号:604180095
Book学术官方微信