Childhood-onset primary Sjögren's Syndrome presenting as nephrotic syndrome: a case report and literature review.

IF 2 3区 医学 Q2 PEDIATRICS
Yuanjin Song, Lili Sun, Guangmei Cui, Dongning Feng, Qing Sun, Yibing Wang
{"title":"Childhood-onset primary Sjögren's Syndrome presenting as nephrotic syndrome: a case report and literature review.","authors":"Yuanjin Song, Lili Sun, Guangmei Cui, Dongning Feng, Qing Sun, Yibing Wang","doi":"10.1186/s12887-025-06029-1","DOIUrl":null,"url":null,"abstract":"<p><strong>Background: </strong>Pediatric primary Sjögren's syndrome typically presents with oral and ocular dryness, along with a broad spectrum of extraglandular manifestations affecting multiple organ systems. Among renal manifestations, tubulointerstitial nephritis is most commonly observed, whereas glomerular involvement is exceedingly rare.</p><p><strong>Case presentation: </strong>We report the case of an 8-year-old girl referred for evaluation of persistent foamy urine. Laboratory investigations revealed significant proteinuria and hypoalbuminemia. Kidney biopsy confirmed membranous nephropathy. Further evaluation indicated ocular involvement, evidenced by positive Schirmer's I test and reduced tear film break-up time. A labial salivary gland biopsy demonstrated focal lymphocytic infiltration. The patient was diagnosed with primary Sjögren's syndrome and was treated with corticosteroids and immunosuppressive agents, resulting in a favorable outcome and remission of proteinuria.</p><p><strong>Conclusions: </strong>This case underscores the diverse clinical spectrum of primary Sjögren's syndrome and highlights the potential for rare glomerular involvement in children. It emphasizes the need for heightened awareness among pediatric healthcare providers regarding the systemic manifestations of primary Sjögren's syndrome to prevent delayed diagnosis.</p>","PeriodicalId":9144,"journal":{"name":"BMC Pediatrics","volume":"25 1","pages":"721"},"PeriodicalIF":2.0000,"publicationDate":"2025-10-02","publicationTypes":"Journal Article","fieldsOfStudy":null,"isOpenAccess":false,"openAccessPdf":"https://www.ncbi.nlm.nih.gov/pmc/articles/PMC12492544/pdf/","citationCount":"0","resultStr":null,"platform":"Semanticscholar","paperid":null,"PeriodicalName":"BMC Pediatrics","FirstCategoryId":"3","ListUrlMain":"https://doi.org/10.1186/s12887-025-06029-1","RegionNum":3,"RegionCategory":"医学","ArticlePicture":[],"TitleCN":null,"AbstractTextCN":null,"PMCID":null,"EPubDate":"","PubModel":"","JCR":"Q2","JCRName":"PEDIATRICS","Score":null,"Total":0}
引用次数: 0

Abstract

Background: Pediatric primary Sjögren's syndrome typically presents with oral and ocular dryness, along with a broad spectrum of extraglandular manifestations affecting multiple organ systems. Among renal manifestations, tubulointerstitial nephritis is most commonly observed, whereas glomerular involvement is exceedingly rare.

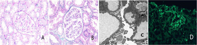
Case presentation: We report the case of an 8-year-old girl referred for evaluation of persistent foamy urine. Laboratory investigations revealed significant proteinuria and hypoalbuminemia. Kidney biopsy confirmed membranous nephropathy. Further evaluation indicated ocular involvement, evidenced by positive Schirmer's I test and reduced tear film break-up time. A labial salivary gland biopsy demonstrated focal lymphocytic infiltration. The patient was diagnosed with primary Sjögren's syndrome and was treated with corticosteroids and immunosuppressive agents, resulting in a favorable outcome and remission of proteinuria.

Conclusions: This case underscores the diverse clinical spectrum of primary Sjögren's syndrome and highlights the potential for rare glomerular involvement in children. It emphasizes the need for heightened awareness among pediatric healthcare providers regarding the systemic manifestations of primary Sjögren's syndrome to prevent delayed diagnosis.

Abstract Image

儿童期原发性Sjögren综合征表现为肾病综合征:1例报告及文献复习。
背景:儿童原发性Sjögren综合征通常表现为口腔和眼部干燥,并伴有影响多器官系统的广谱腺外表现。在肾脏表现中,小管间质性肾炎最常见,而累及肾小球则极为罕见。病例介绍:我们报告一个8岁女孩的情况,以评估持续性泡沫尿。实验室检查显示明显的蛋白尿和低白蛋白血症。肾活检证实膜性肾病。进一步的评估显示眼部受累,Schirmer’s I试验阳性,泪膜破裂时间缩短。唇唾液腺活检显示局灶性淋巴细胞浸润。患者被诊断为原发性Sjögren综合征,并接受皮质类固醇和免疫抑制剂治疗,结果良好,蛋白尿缓解。结论:该病例强调了原发性Sjögren综合征的多种临床谱,并强调了罕见的儿童肾小球受累的可能性。它强调需要提高儿科保健提供者对原发性Sjögren综合征的系统性表现的认识,以防止延误诊断。
本文章由计算机程序翻译,如有差异,请以英文原文为准。
求助全文
约1分钟内获得全文 求助全文
来源期刊
BMC Pediatrics
BMC Pediatrics PEDIATRICS-
CiteScore
3.70
自引率
4.20%
发文量
683
审稿时长
3-8 weeks
期刊介绍: BMC Pediatrics is an open access journal publishing peer-reviewed research articles in all aspects of health care in neonates, children and adolescents, as well as related molecular genetics, pathophysiology, and epidemiology.
×
引用
GB/T 7714-2015
复制
MLA
复制
APA
复制
导出至
BibTeX EndNote RefMan NoteFirst NoteExpress
×
提示
您的信息不完整,为了账户安全,请先补充。
现在去补充
×
提示
您因"违规操作"
具体请查看互助需知
我知道了
×
提示
确定
请完成安全验证×
copy
已复制链接
快去分享给好友吧!
我知道了
右上角分享
点击右上角分享
0
联系我们:info@booksci.cn Book学术提供免费学术资源搜索服务,方便国内外学者检索中英文文献。致力于提供最便捷和优质的服务体验。 Copyright © 2023 布克学术 All rights reserved.
京ICP备2023020795号-1
ghs 京公网安备 11010802042870号
Book学术文献互助
Book学术文献互助群
群 号:604180095
Book学术官方微信