Is dorsal cortex drilling necessary for distal radius fractures treated with a volar locking plate? A comparative study of near-cortex-only and far-cortex drilling.

IF 0.2
Journal of Trauma and Injury Pub Date : 2025-09-01 Epub Date: 2025-09-29 DOI:10.20408/jti.2025.0018
Chul Hong Kim, Sung Yoon Jung, Hyeon Jun Kim, Si-Hyun Park
{"title":"Is dorsal cortex drilling necessary for distal radius fractures treated with a volar locking plate? A comparative study of near-cortex-only and far-cortex drilling.","authors":"Chul Hong Kim, Sung Yoon Jung, Hyeon Jun Kim, Si-Hyun Park","doi":"10.20408/jti.2025.0018","DOIUrl":null,"url":null,"abstract":"<p><strong>Purpose: </strong>This study aimed to compare and analyze the effectiveness of near-cortex-only drilling for the surgical treatment of distal radius fractures using a volar locking plate.</p><p><strong>Methods: </strong>From January 2010 to December 2022, a total of 185 patients aged 60 years or older with AO type C distal radius fractures who were treated with a volar locking plate at our hospital were enrolled. Of these, 59 patients were excluded according to the study criteria, resulting in a final cohort of 126 subjects. Without differentiating between left and right sides, group A (n=60) underwent distal locking screw fixation with screws of 12-mm length (except for the most radial screw) using near-cortex-only drilling. In group B (n=66), drilling was performed through to the dorsal cortex, and the length was measured using a depth gauge; distal screws were then fixed at a length 2 mm shorter than the measured depth. The degree of fracture reduction on postoperative radiographs was assessed using the modified Lidstrom scoring system by measuring radial inclination, radial height, and volar tilt. In addition, the visual analog scale, the Korean Disabilities of the Arm, Shoulder, and Hand (DASH) score, and the incidence of extensor tendon rupture and tenosynovitis were evaluated at the final follow-up and compared between groups.</p><p><strong>Results: </strong>Bone union was achieved in all cases, with no significant radiographic differences observed between the two groups (P>0.05). In contrast, two cases of extensor tenosynovitis were noted in group A, whereas group B experienced one extensor tendon rupture and five cases of extensor tenosynovitis, representing a significant difference (P<0.05).</p><p><strong>Conclusions: </strong>In patients aged 60 years or older with AO type C distal radius fractures, the technique of near-cortex-only drilling with short distal locking screws yielded satisfactory results for fracture reduction and clinical indices. This approach may offer a new alternative for preventing extensor tendon rupture or tenosynovitis.</p>","PeriodicalId":52698,"journal":{"name":"Journal of Trauma and Injury","volume":"38 3","pages":"248-254"},"PeriodicalIF":0.2000,"publicationDate":"2025-09-01","publicationTypes":"Journal Article","fieldsOfStudy":null,"isOpenAccess":false,"openAccessPdf":"https://www.ncbi.nlm.nih.gov/pmc/articles/PMC12489156/pdf/","citationCount":"0","resultStr":null,"platform":"Semanticscholar","paperid":null,"PeriodicalName":"Journal of Trauma and Injury","FirstCategoryId":"1085","ListUrlMain":"https://doi.org/10.20408/jti.2025.0018","RegionNum":0,"RegionCategory":null,"ArticlePicture":[],"TitleCN":null,"AbstractTextCN":null,"PMCID":null,"EPubDate":"2025/9/29 0:00:00","PubModel":"Epub","JCR":"","JCRName":"","Score":null,"Total":0}
引用次数: 0

Abstract

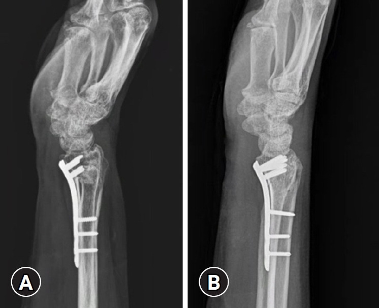
Purpose: This study aimed to compare and analyze the effectiveness of near-cortex-only drilling for the surgical treatment of distal radius fractures using a volar locking plate.

Methods: From January 2010 to December 2022, a total of 185 patients aged 60 years or older with AO type C distal radius fractures who were treated with a volar locking plate at our hospital were enrolled. Of these, 59 patients were excluded according to the study criteria, resulting in a final cohort of 126 subjects. Without differentiating between left and right sides, group A (n=60) underwent distal locking screw fixation with screws of 12-mm length (except for the most radial screw) using near-cortex-only drilling. In group B (n=66), drilling was performed through to the dorsal cortex, and the length was measured using a depth gauge; distal screws were then fixed at a length 2 mm shorter than the measured depth. The degree of fracture reduction on postoperative radiographs was assessed using the modified Lidstrom scoring system by measuring radial inclination, radial height, and volar tilt. In addition, the visual analog scale, the Korean Disabilities of the Arm, Shoulder, and Hand (DASH) score, and the incidence of extensor tendon rupture and tenosynovitis were evaluated at the final follow-up and compared between groups.

Results: Bone union was achieved in all cases, with no significant radiographic differences observed between the two groups (P>0.05). In contrast, two cases of extensor tenosynovitis were noted in group A, whereas group B experienced one extensor tendon rupture and five cases of extensor tenosynovitis, representing a significant difference (P<0.05).

Conclusions: In patients aged 60 years or older with AO type C distal radius fractures, the technique of near-cortex-only drilling with short distal locking screws yielded satisfactory results for fracture reduction and clinical indices. This approach may offer a new alternative for preventing extensor tendon rupture or tenosynovitis.

Abstract Image

Abstract Image

掌侧锁定钢板治疗桡骨远端骨折是否需要进行背侧皮质钻孔?仅近皮层和远皮层钻孔的比较研究。
目的:本研究旨在比较和分析掌侧锁定钢板在桡骨远端骨折手术治疗中的效果。方法:选取2010年1月至2022年12月在我院行掌侧锁定钢板治疗的60岁及以上AO型桡骨远端骨折患者185例。其中,根据研究标准排除59例患者,最终纳入126例受试者。在不区分左右两侧的情况下,A组(n=60)采用近皮质钻孔,使用长度为12mm的螺钉(除了最径向的螺钉)进行远端锁定螺钉固定。在B组(n=66),钻孔穿过背皮质,并使用深度计测量长度;然后将远端螺钉固定在比测量深度短2mm的长度上。术后x线片上的骨折复位程度采用改良的Lidstrom评分系统,通过测量桡骨倾角、桡骨高度和掌侧倾角来评估。此外,在最后随访时评估视觉模拟量表、韩国手臂、肩膀和手的残疾(DASH)评分、伸肌腱断裂和肌腱滑膜炎的发生率,并进行组间比较。结果:所有病例均实现骨愈合,两组影像学差异无统计学意义(P < 0.05)。A组有2例伸肌腱滑膜炎,B组有1例伸肌腱断裂,5例伸肌腱滑膜炎,差异有统计学意义(p)结论:60岁及以上AO型桡骨远端骨折患者,采用近皮质钻孔加短远端锁定螺钉技术,骨折复位和临床指标均满意。这种方法可能为预防伸肌腱断裂或腱鞘炎提供新的选择。
本文章由计算机程序翻译,如有差异,请以英文原文为准。
求助全文
约1分钟内获得全文 求助全文
来源期刊
自引率
0.00%
发文量
58
审稿时长
11 weeks
×
引用
GB/T 7714-2015
复制
MLA
复制
APA
复制
导出至
BibTeX EndNote RefMan NoteFirst NoteExpress
×
提示
您的信息不完整,为了账户安全,请先补充。
现在去补充
×
提示
您因"违规操作"
具体请查看互助需知
我知道了
×
提示
确定
请完成安全验证×
copy
已复制链接
快去分享给好友吧!
我知道了
右上角分享
点击右上角分享
0
联系我们:info@booksci.cn Book学术提供免费学术资源搜索服务,方便国内外学者检索中英文文献。致力于提供最便捷和优质的服务体验。 Copyright © 2023 布克学术 All rights reserved.
京ICP备2023020795号-1
ghs 京公网安备 11010802042870号
Book学术文献互助
Book学术文献互助群
群 号:604180095
Book学术官方微信