Case Report: Isolated surgical decompression for compressive internal jugular vein stenosis: case series and literature review.

IF 1.6 4区 医学 Q2 SURGERY
Frontiers in Surgery Pub Date : 2025-09-16 eCollection Date: 2025-01-01 DOI:10.3389/fsurg.2025.1639108
Haiyang Ma, Rui Zhao, Shuaibin Lu, Weicheng Peng, Xupeng Peng, Sheng Xu, Beibei Mao, Guangtong Zhu, Zhiqiang Hu
{"title":"Case Report: Isolated surgical decompression for compressive internal jugular vein stenosis: case series and literature review.","authors":"Haiyang Ma, Rui Zhao, Shuaibin Lu, Weicheng Peng, Xupeng Peng, Sheng Xu, Beibei Mao, Guangtong Zhu, Zhiqiang Hu","doi":"10.3389/fsurg.2025.1639108","DOIUrl":null,"url":null,"abstract":"<p><strong>Background: </strong>Internal jugular vein stenosis (IJVS) is an underrecognized cause of cerebral venous outflow obstruction, commonly presenting with nonspecific symptoms such as head-noise, tinnitus, dizziness, headaches, and visual or auditory disturbances. Extrinsic compression by bony structures, particularly transverse process of the atlas (C1), has emerged as a significant but frequently ignored etiology. This study presents the first case series demonstrating that isolated resection of the C1 transverse process can restore venous outflow and provide durable relief of head-noise-dominant symptoms.</p><p><strong>Objective: </strong>This study presents three cases of symptomatic IJVS caused by bony compression, marked by head noise-dominant presentation and failure of conservative or endovascular treatments, emphasizing the diagnostic challenges, individualized surgical strategies, and clinical outcomes, along with a review of current literature.</p><p><strong>Methods: </strong>Three patients with imaging-confirmed compressive IJVS underwent Doppler ultrasound, 3D computed tomography venography, and magnetic resonance imaging. All patients receivedtargeted surgical decompression via resection of the compressive bony structures, with one patient receiving adjunctive venous stenting due to persistent flow limitation.</p><p><strong>Results: </strong>All patients achieved significant postoperative improvement, including resolution of head noise and amelioration of associated symptoms. Imaging confirmed improved venous caliber and outflow. Notably, one patient with previous stenting failure benefited from staged decompression and re-intervention, highlighting the value of individualized management.</p><p><strong>Conclusion: </strong>Extrinsic compression is a treatable cause of IJVS. Isolated surgical decompression offers a viable treatment option, particularly in patients unresponsive to endovascular approaches. These cases support the need for greater awareness of compressive IJVS and further studies to refine treatment indications and evaluate long-term outcomes.</p>","PeriodicalId":12564,"journal":{"name":"Frontiers in Surgery","volume":"12 ","pages":"1639108"},"PeriodicalIF":1.6000,"publicationDate":"2025-09-16","publicationTypes":"Journal Article","fieldsOfStudy":null,"isOpenAccess":false,"openAccessPdf":"https://www.ncbi.nlm.nih.gov/pmc/articles/PMC12479468/pdf/","citationCount":"0","resultStr":null,"platform":"Semanticscholar","paperid":null,"PeriodicalName":"Frontiers in Surgery","FirstCategoryId":"3","ListUrlMain":"https://doi.org/10.3389/fsurg.2025.1639108","RegionNum":4,"RegionCategory":"医学","ArticlePicture":[],"TitleCN":null,"AbstractTextCN":null,"PMCID":null,"EPubDate":"2025/1/1 0:00:00","PubModel":"eCollection","JCR":"Q2","JCRName":"SURGERY","Score":null,"Total":0}
引用次数: 0

Abstract

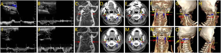
Background: Internal jugular vein stenosis (IJVS) is an underrecognized cause of cerebral venous outflow obstruction, commonly presenting with nonspecific symptoms such as head-noise, tinnitus, dizziness, headaches, and visual or auditory disturbances. Extrinsic compression by bony structures, particularly transverse process of the atlas (C1), has emerged as a significant but frequently ignored etiology. This study presents the first case series demonstrating that isolated resection of the C1 transverse process can restore venous outflow and provide durable relief of head-noise-dominant symptoms.

Objective: This study presents three cases of symptomatic IJVS caused by bony compression, marked by head noise-dominant presentation and failure of conservative or endovascular treatments, emphasizing the diagnostic challenges, individualized surgical strategies, and clinical outcomes, along with a review of current literature.

Methods: Three patients with imaging-confirmed compressive IJVS underwent Doppler ultrasound, 3D computed tomography venography, and magnetic resonance imaging. All patients receivedtargeted surgical decompression via resection of the compressive bony structures, with one patient receiving adjunctive venous stenting due to persistent flow limitation.

Results: All patients achieved significant postoperative improvement, including resolution of head noise and amelioration of associated symptoms. Imaging confirmed improved venous caliber and outflow. Notably, one patient with previous stenting failure benefited from staged decompression and re-intervention, highlighting the value of individualized management.

Conclusion: Extrinsic compression is a treatable cause of IJVS. Isolated surgical decompression offers a viable treatment option, particularly in patients unresponsive to endovascular approaches. These cases support the need for greater awareness of compressive IJVS and further studies to refine treatment indications and evaluate long-term outcomes.

Abstract Image

Abstract Image

Abstract Image

病例报告:颈内静脉压迫性狭窄的孤立手术减压:病例系列和文献复习。
背景:颈内静脉狭窄(IJVS)是一种未被充分认识的脑静脉流出梗阻的病因,通常表现为非特异性症状,如头部杂音、耳鸣、头晕、头痛和视觉或听觉障碍。由骨结构引起的外源性压迫,特别是寰椎(C1)的横突,已经成为一个重要但经常被忽视的病因。本研究首次提出了一系列病例,证明孤立切除C1横突可以恢复静脉流出,并持久缓解头部噪声为主的症状。目的:本研究报告了3例由骨压迫引起的症状性IJVS,以头部噪声为主,保守或血管内治疗失败为特征,强调了诊断挑战、个体化手术策略和临床结果,并对当前文献进行了回顾。方法:对3例影像证实为压缩性IJVS的患者行多普勒超声、三维计算机断层血管造影和磁共振成像。所有患者均通过切除压缩性骨结构接受了靶向手术减压,其中1例患者由于持续血流受限接受了辅助静脉支架植入术。结果:所有患者术后均有明显改善,包括头部噪音的消除和相关症状的改善。影像学证实静脉口径和流出改善。值得注意的是,一名先前支架置入失败的患者受益于分阶段减压和再干预,突出了个体化治疗的价值。结论:外源性压迫是一种可治疗的原因。孤立手术减压提供了一种可行的治疗选择,特别是对血管内入路无反应的患者。这些病例表明,有必要提高对压缩性IJVS的认识,并进一步研究以完善治疗适应症和评估长期结果。
本文章由计算机程序翻译,如有差异,请以英文原文为准。
求助全文
约1分钟内获得全文 求助全文
来源期刊
Frontiers in Surgery
Frontiers in Surgery Medicine-Surgery
CiteScore
1.90
自引率
11.10%
发文量
1872
审稿时长
12 weeks
期刊介绍: Evidence of surgical interventions go back to prehistoric times. Since then, the field of surgery has developed into a complex array of specialties and procedures, particularly with the advent of microsurgery, lasers and minimally invasive techniques. The advanced skills now required from surgeons has led to ever increasing specialization, though these still share important fundamental principles. Frontiers in Surgery is the umbrella journal representing the publication interests of all surgical specialties. It is divided into several “Specialty Sections” listed below. All these sections have their own Specialty Chief Editor, Editorial Board and homepage, but all articles carry the citation Frontiers in Surgery. Frontiers in Surgery calls upon medical professionals and scientists from all surgical specialties to publish their experimental and clinical studies in this journal. By assembling all surgical specialties, which nonetheless retain their independence, under the common umbrella of Frontiers in Surgery, a powerful publication venue is created. Since there is often overlap and common ground between the different surgical specialties, assembly of all surgical disciplines into a single journal will foster a collaborative dialogue amongst the surgical community. This means that publications, which are also of interest to other surgical specialties, will reach a wider audience and have greater impact. The aim of this multidisciplinary journal is to create a discussion and knowledge platform of advances and research findings in surgical practice today to continuously improve clinical management of patients and foster innovation in this field.
×
引用
GB/T 7714-2015
复制
MLA
复制
APA
复制
导出至
BibTeX EndNote RefMan NoteFirst NoteExpress
×
提示
您的信息不完整,为了账户安全,请先补充。
现在去补充
×
提示
您因"违规操作"
具体请查看互助需知
我知道了
×
提示
确定
请完成安全验证×
copy
已复制链接
快去分享给好友吧!
我知道了
右上角分享
点击右上角分享
0
联系我们:info@booksci.cn Book学术提供免费学术资源搜索服务,方便国内外学者检索中英文文献。致力于提供最便捷和优质的服务体验。 Copyright © 2023 布克学术 All rights reserved.
京ICP备2023020795号-1
ghs 京公网安备 11010802042870号
Book学术文献互助
Book学术文献互助群
群 号:604180095
Book学术官方微信