Daflon and Centrum mitigate vancomycin-induced nephrotoxicity in rats by ameliorating oxidative stress, DNA damage, apoptosis, and inflammation.

IF 4.6 Q2 TOXICOLOGY
Frontiers in toxicology Pub Date : 2025-09-15 eCollection Date: 2025-01-01 DOI:10.3389/ftox.2025.1673083
Hanem F El-Gendy, Soaad Salamah, Eman Elhusseiny, Hazim O Khalifa, Hossny A El-Banna, Taha A Attia, Shaimaa Selim, Saber El Hanbally
{"title":"Daflon and Centrum mitigate vancomycin-induced nephrotoxicity in rats by ameliorating oxidative stress, DNA damage, apoptosis, and inflammation.","authors":"Hanem F El-Gendy, Soaad Salamah, Eman Elhusseiny, Hazim O Khalifa, Hossny A El-Banna, Taha A Attia, Shaimaa Selim, Saber El Hanbally","doi":"10.3389/ftox.2025.1673083","DOIUrl":null,"url":null,"abstract":"<p><strong>Background: </strong>Vancomycin (VM) is widely used for treating life-threatening infections caused by Gram-positive bacteria resistant to other antibiotics. However, its nephrotoxic effects limit clinical use.</p><p><strong>Objective: </strong>This study aimed to evaluate the protective effects of Daflon (DF) and Centrum (CE) against VM-induced nephrotoxicity in male rats.</p><p><strong>Methods: </strong>Fifty healthy male Wistar rats were randomly divided into five groups. Group 1 (negative control) received saline intraperitoneally (IP) for 7 days followed by oral distilled water for 7 days. Group 2 (positive control) received VM (400 mg/kg BW, IP) for 7 days. Group 3 received VM for 7 days followed by DF (100 mg/kg BW, oral) for 7 days. Group 4 received VM for 7 days followed by CE (15 mg/kg BW, oral) for 7 days. Group 5 received VM for 7 days followed by combined DF and CE treatment for 7 days. Blood and kidney samples were collected for hematological, biochemical, molecular, comet assay, and histopathological evaluations.</p><p><strong>Results: </strong>VM administration significantly elevated serum creatinine, urea, and uric acid levels (p < 0.01), increased renal malondialdehyde (MDA), and reduced catalase (CAT) and superoxide dismutase (SOD) activities (p < 0.05). It also induced marked histological changes and increased DNA fragmentation. DF and CE, particularly in combination (Group 5), significantly reduced renal injury, DNA fragmentation, and histopathological alterations. The protective effect followed the order: G5 > G4 > G3 > G2. Furthermore, VM upregulated <i>PARP1, RIP1, KIM1, TNF-α, and IL-1β</i> expression, which were markedly downregulated by DF and CE.</p><p><strong>Conclusion: </strong>DF and CE attenuated VM-induced nephrotoxicity through antioxidant, anti-inflammatory, and DNA-protective mechanisms. Their combination provided superior renal protection by reducing oxidative stress, inflammation, and apoptosis, while enhancing antioxidant defenses and DNA repair capacity.</p>","PeriodicalId":73111,"journal":{"name":"Frontiers in toxicology","volume":"7 ","pages":"1673083"},"PeriodicalIF":4.6000,"publicationDate":"2025-09-15","publicationTypes":"Journal Article","fieldsOfStudy":null,"isOpenAccess":false,"openAccessPdf":"https://www.ncbi.nlm.nih.gov/pmc/articles/PMC12477201/pdf/","citationCount":"0","resultStr":null,"platform":"Semanticscholar","paperid":null,"PeriodicalName":"Frontiers in toxicology","FirstCategoryId":"1085","ListUrlMain":"https://doi.org/10.3389/ftox.2025.1673083","RegionNum":0,"RegionCategory":null,"ArticlePicture":[],"TitleCN":null,"AbstractTextCN":null,"PMCID":null,"EPubDate":"2025/1/1 0:00:00","PubModel":"eCollection","JCR":"Q2","JCRName":"TOXICOLOGY","Score":null,"Total":0}
引用次数: 0

Abstract

Background: Vancomycin (VM) is widely used for treating life-threatening infections caused by Gram-positive bacteria resistant to other antibiotics. However, its nephrotoxic effects limit clinical use.

Objective: This study aimed to evaluate the protective effects of Daflon (DF) and Centrum (CE) against VM-induced nephrotoxicity in male rats.

Methods: Fifty healthy male Wistar rats were randomly divided into five groups. Group 1 (negative control) received saline intraperitoneally (IP) for 7 days followed by oral distilled water for 7 days. Group 2 (positive control) received VM (400 mg/kg BW, IP) for 7 days. Group 3 received VM for 7 days followed by DF (100 mg/kg BW, oral) for 7 days. Group 4 received VM for 7 days followed by CE (15 mg/kg BW, oral) for 7 days. Group 5 received VM for 7 days followed by combined DF and CE treatment for 7 days. Blood and kidney samples were collected for hematological, biochemical, molecular, comet assay, and histopathological evaluations.

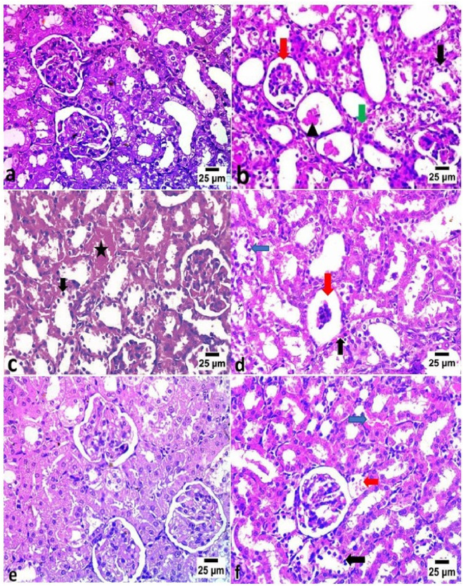
Results: VM administration significantly elevated serum creatinine, urea, and uric acid levels (p < 0.01), increased renal malondialdehyde (MDA), and reduced catalase (CAT) and superoxide dismutase (SOD) activities (p < 0.05). It also induced marked histological changes and increased DNA fragmentation. DF and CE, particularly in combination (Group 5), significantly reduced renal injury, DNA fragmentation, and histopathological alterations. The protective effect followed the order: G5 > G4 > G3 > G2. Furthermore, VM upregulated PARP1, RIP1, KIM1, TNF-α, and IL-1β expression, which were markedly downregulated by DF and CE.

Conclusion: DF and CE attenuated VM-induced nephrotoxicity through antioxidant, anti-inflammatory, and DNA-protective mechanisms. Their combination provided superior renal protection by reducing oxidative stress, inflammation, and apoptosis, while enhancing antioxidant defenses and DNA repair capacity.

Abstract Image

Abstract Image

Abstract Image

Daflon和Centrum通过改善氧化应激、DNA损伤、细胞凋亡和炎症来减轻万古霉素引起的大鼠肾毒性。
背景:万古霉素(VM)被广泛用于治疗革兰氏阳性菌对其他抗生素耐药引起的危及生命的感染。然而,其肾毒性作用限制了临床应用。目的:探讨达芙蓉(DF)和仙心(CE)对vm致雄性大鼠肾毒性的保护作用。方法:50只健康雄性Wistar大鼠随机分为5组。1组(阴性对照)腹腔注射生理盐水7 d,再口服蒸馏水7 d。2组(阳性对照)给予VM (400 mg/kg BW, IP)治疗7 d。第3组连续7天给予VM,随后给予DF (100 mg/kg BW,口服)7天。第4组给予VM治疗7 d,然后给予CE (15 mg/kg BW,口服)治疗7 d。第5组给予VM治疗7 d,随后给予DF和CE联合治疗7 d。收集血液和肾脏样本进行血液学、生化、分子、彗星测定和组织病理学评估。结果:VM显著提高了血清肌酐、尿素和尿酸水平(p < 0.01),增加了肾脏丙二醛(MDA),降低了过氧化氢酶(CAT)和超氧化物歧化酶(SOD)活性(p < 0.05)。它还引起明显的组织学改变和DNA断裂增加。DF和CE,特别是联合使用(第5组),显著减少了肾损伤、DNA断裂和组织病理学改变。其保护作用顺序为:G5 > G4 > G3 > G2。此外,VM上调了PARP1、RIP1、KIM1、TNF-α和IL-1β的表达,而DF和CE则显著下调了这些表达。结论:DF和CE通过抗氧化、抗炎和dna保护机制减轻vm所致肾毒性。它们的组合通过减少氧化应激、炎症和细胞凋亡,同时增强抗氧化防御和DNA修复能力,提供了优越的肾脏保护。
本文章由计算机程序翻译,如有差异,请以英文原文为准。
求助全文
约1分钟内获得全文 求助全文
来源期刊
CiteScore
3.80
自引率
0.00%
发文量
0
审稿时长
13 weeks
×
引用
GB/T 7714-2015
复制
MLA
复制
APA
复制
导出至
BibTeX EndNote RefMan NoteFirst NoteExpress
×
提示
您的信息不完整,为了账户安全,请先补充。
现在去补充
×
提示
您因"违规操作"
具体请查看互助需知
我知道了
×
提示
确定
请完成安全验证×
copy
已复制链接
快去分享给好友吧!
我知道了
右上角分享
点击右上角分享
0
联系我们:info@booksci.cn Book学术提供免费学术资源搜索服务,方便国内外学者检索中英文文献。致力于提供最便捷和优质的服务体验。 Copyright © 2023 布克学术 All rights reserved.
京ICP备2023020795号-1
ghs 京公网安备 11010802042870号
Book学术文献互助
Book学术文献互助群
群 号:604180095
Book学术官方微信