Natural and induced epithelial-mesenchymal transition results in epigenetic silencing of HER2 overexpression.

IF 3.6 4区 医学 Q2 ENDOCRINOLOGY & METABOLISM
Kiandra N Hawkins, Jordan Dillard, Yin Ye, Justin Wang, Robert M Hoffman, Krista Mcphail, Sanford H Barsky
{"title":"Natural and induced epithelial-mesenchymal transition results in epigenetic silencing of HER2 overexpression.","authors":"Kiandra N Hawkins, Jordan Dillard, Yin Ye, Justin Wang, Robert M Hoffman, Krista Mcphail, Sanford H Barsky","doi":"10.1007/s10911-025-09588-2","DOIUrl":null,"url":null,"abstract":"<p><p>Epithelial-mesenchymal transition (EMT) is a well-known phenomenon that has been implicated in diverse biological processes ranging from embryonal development to cancer invasion and metastasis. In epithelial-derived cancers which both invade and metastasize as epithelial clumps or clusters, EMT would have to be followed by MET (mesenchymal-epithelial transition) since both the initial cancer and the metastasis appear epithelial in nature. There is a rare subset of breast carcinomas, however, that exhibit biphasic epithelial and mesenchymal differentiation, so-called metaplastic carcinomas. Our initial studies were designed to examine whether EMT was indeed occurring in this unique subset of metaplastic breast carcinomas. Based on both RT-PCR and immunocytochemical studies, EMT was naturally occurring. Once this was confirmed, we wanted to investigate the effects of EMT beyond the immediate gene expression pattern that traditionally defined it. Although approximately 90% of metaplastic breast carcinomas are triple negative, 5-10% amplify and overexpress HER2. We then conducted both observational studies in these biphasic HER2 overexpressing metaplastic breast carcinomas and experimental studies with a HER2 overexpressing cell line, the HTB20, where TGFβ1 induced EMT. In the observational studies, HER2 gene amplification was equally present in both the epithelial and mesenchymal phases but both HER2 mRNA and protein levels were essentially silenced in the areas having undergone EMT. Similarly in the experimental studies where TGFβ1 induced EMT, HER2 gene amplification persisted but HER2 mRNA and protein levels were similarly silenced. These studies provide direct evidence that both naturally occurring and induced EMT results in epigenetically silencing of HER2 overexpression.</p>","PeriodicalId":16413,"journal":{"name":"Journal of Mammary Gland Biology and Neoplasia","volume":"30 1","pages":"15"},"PeriodicalIF":3.6000,"publicationDate":"2025-09-30","publicationTypes":"Journal Article","fieldsOfStudy":null,"isOpenAccess":false,"openAccessPdf":"https://www.ncbi.nlm.nih.gov/pmc/articles/PMC12484253/pdf/","citationCount":"0","resultStr":null,"platform":"Semanticscholar","paperid":null,"PeriodicalName":"Journal of Mammary Gland Biology and Neoplasia","FirstCategoryId":"3","ListUrlMain":"https://doi.org/10.1007/s10911-025-09588-2","RegionNum":4,"RegionCategory":"医学","ArticlePicture":[],"TitleCN":null,"AbstractTextCN":null,"PMCID":null,"EPubDate":"","PubModel":"","JCR":"Q2","JCRName":"ENDOCRINOLOGY & METABOLISM","Score":null,"Total":0}
引用次数: 0

Abstract

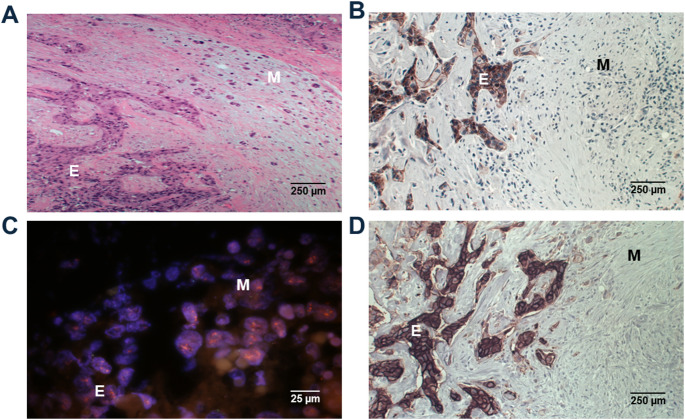
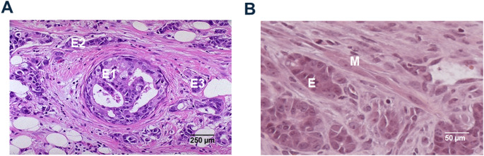
Epithelial-mesenchymal transition (EMT) is a well-known phenomenon that has been implicated in diverse biological processes ranging from embryonal development to cancer invasion and metastasis. In epithelial-derived cancers which both invade and metastasize as epithelial clumps or clusters, EMT would have to be followed by MET (mesenchymal-epithelial transition) since both the initial cancer and the metastasis appear epithelial in nature. There is a rare subset of breast carcinomas, however, that exhibit biphasic epithelial and mesenchymal differentiation, so-called metaplastic carcinomas. Our initial studies were designed to examine whether EMT was indeed occurring in this unique subset of metaplastic breast carcinomas. Based on both RT-PCR and immunocytochemical studies, EMT was naturally occurring. Once this was confirmed, we wanted to investigate the effects of EMT beyond the immediate gene expression pattern that traditionally defined it. Although approximately 90% of metaplastic breast carcinomas are triple negative, 5-10% amplify and overexpress HER2. We then conducted both observational studies in these biphasic HER2 overexpressing metaplastic breast carcinomas and experimental studies with a HER2 overexpressing cell line, the HTB20, where TGFβ1 induced EMT. In the observational studies, HER2 gene amplification was equally present in both the epithelial and mesenchymal phases but both HER2 mRNA and protein levels were essentially silenced in the areas having undergone EMT. Similarly in the experimental studies where TGFβ1 induced EMT, HER2 gene amplification persisted but HER2 mRNA and protein levels were similarly silenced. These studies provide direct evidence that both naturally occurring and induced EMT results in epigenetically silencing of HER2 overexpression.

Abstract Image

Abstract Image

Abstract Image

自然和诱导的上皮-间质转化可导致HER2过表达的表观遗传沉默。
上皮-间质转化(Epithelial-mesenchymal transition, EMT)是一种众所周知的现象,涉及从胚胎发育到癌症侵袭和转移的多种生物学过程。在上皮源性癌症中,既以上皮团块或簇的形式侵入和转移,EMT之后必须有MET(间充质-上皮转移),因为初始癌症和转移本质上都是上皮性的。然而,有一种罕见的乳腺癌亚群表现为双期上皮和间质分化,即所谓的化生癌。我们最初的研究旨在检查EMT是否确实发生在这一独特的化生乳腺癌亚群中。基于RT-PCR和免疫细胞化学研究,EMT是自然发生的。一旦这一点得到证实,我们想要调查EMT在传统上定义它的直接基因表达模式之外的影响。虽然约90%的化生性乳腺癌为三阴性,但仍有5-10%的人会扩增和过表达HER2。然后,我们对这些双相HER2过表达的化生乳腺癌进行了观察性研究,并对HER2过表达的细胞系HTB20进行了实验研究,其中TGFβ1诱导EMT。在观察性研究中,HER2基因扩增同样存在于上皮和间充质期,但HER2 mRNA和蛋白水平在经历EMT的区域基本沉默。同样,在tgf - β1诱导EMT的实验研究中,HER2基因持续扩增,但HER2 mRNA和蛋白水平同样沉默。这些研究提供了直接证据,表明自然发生和诱导的EMT都会导致HER2过表达的表观遗传沉默。
本文章由计算机程序翻译,如有差异,请以英文原文为准。
求助全文
约1分钟内获得全文 求助全文
来源期刊
Journal of Mammary Gland Biology and Neoplasia
Journal of Mammary Gland Biology and Neoplasia 医学-内分泌学与代谢
CiteScore
5.30
自引率
4.00%
发文量
22
期刊介绍: Journal of Mammary Gland Biology and Neoplasia is the leading Journal in the field of mammary gland biology that provides researchers within and outside the field of mammary gland biology with an integrated source of information pertaining to the development, function, and pathology of the mammary gland and its function. Commencing in 2015, the Journal will begin receiving and publishing a combination of reviews and original, peer-reviewed research. The Journal covers all topics related to the field of mammary gland biology, including mammary development, breast cancer biology, lactation, and milk composition and quality. The environmental, endocrine, nutritional, and molecular factors regulating these processes is covered, including from a comparative biology perspective.
×
引用
GB/T 7714-2015
复制
MLA
复制
APA
复制
导出至
BibTeX EndNote RefMan NoteFirst NoteExpress
×
提示
您的信息不完整,为了账户安全,请先补充。
现在去补充
×
提示
您因"违规操作"
具体请查看互助需知
我知道了
×
提示
确定
请完成安全验证×
copy
已复制链接
快去分享给好友吧!
我知道了
右上角分享
点击右上角分享
0
联系我们:info@booksci.cn Book学术提供免费学术资源搜索服务,方便国内外学者检索中英文文献。致力于提供最便捷和优质的服务体验。 Copyright © 2023 布克学术 All rights reserved.
京ICP备2023020795号-1
ghs 京公网安备 11010802042870号
Book学术文献互助
Book学术文献互助群
群 号:604180095
Book学术官方微信