Cervical Malignant Melanotic Nerve Sheath Tumor with retained PRKAR1A expression and a clinically benign course: a case report and review of the literature.

IF 1.6 4区 医学 Q2 SURGERY
Frontiers in Surgery Pub Date : 2025-09-15 eCollection Date: 2025-01-01 DOI:10.3389/fsurg.2025.1618362
Alexandru Guranda, Johannes Wach, Erdem Güresir, Max Braune, Peter Kuzman, Ulf Nestler
{"title":"Cervical Malignant Melanotic Nerve Sheath Tumor with retained PRKAR1A expression and a clinically benign course: a case report and review of the literature.","authors":"Alexandru Guranda, Johannes Wach, Erdem Güresir, Max Braune, Peter Kuzman, Ulf Nestler","doi":"10.3389/fsurg.2025.1618362","DOIUrl":null,"url":null,"abstract":"<p><strong>Background: </strong>Malignant melanotic nerve sheath tumors (MMNSTs) are rare Schwann cell-derived tumors. Previously classified as benign melanotic schwannomas, they were redefined as a potentially aggressive entity in the 2020 WHO classification of soft tissue tumors and later included in the 2021 WHO CNS classification. However, optimal therapeutic strategies remain under discussion.</p><p><strong>Case presentation: </strong>We present the case of a 46-year-old Caucasian male who underwent surgery for an intra- and extraspinal cervical mass lesion at the C4/5 level on the left side. Immunohistochemical analysis confirmed the diagnosis of MMNSTs. The patient initially presented with ataxia, left-sided weakness, and hemihypesthesia. Magnetic resonance imaging of the cervical spine revealed a left intra- and extraspinal homogeneous contrast-enhancing mass at the C4/C5 level. After the first intraspinal partial resection, the diagnosis of MMNST was established. Gross-total resection is highly recommended in nearly all cases in the literature, followed by adjuvant radiotherapy or chemotherapy in selected cases to prevent metastases, which occur in 15%-42% of cases. The patient postponed the second neurosurgical intervention and declined adjuvant radiotherapy. At 18 months after gross total resection, no recurrent tumor was detected by MRI.</p><p><strong>Conclusion: </strong>Given the limited epidemiological knowledge on MMNSTs, our study contributes to the literature by documenting a case of intra- and extraspinal, cervical MMNST without any of the previously known driver mutations or copy number changes. While the WHO 2021 classification designates these tumors as potentially malignant, our findings support existing reports that more benign courses can occur.</p>","PeriodicalId":12564,"journal":{"name":"Frontiers in Surgery","volume":"12 ","pages":"1618362"},"PeriodicalIF":1.6000,"publicationDate":"2025-09-15","publicationTypes":"Journal Article","fieldsOfStudy":null,"isOpenAccess":false,"openAccessPdf":"https://www.ncbi.nlm.nih.gov/pmc/articles/PMC12477142/pdf/","citationCount":"0","resultStr":null,"platform":"Semanticscholar","paperid":null,"PeriodicalName":"Frontiers in Surgery","FirstCategoryId":"3","ListUrlMain":"https://doi.org/10.3389/fsurg.2025.1618362","RegionNum":4,"RegionCategory":"医学","ArticlePicture":[],"TitleCN":null,"AbstractTextCN":null,"PMCID":null,"EPubDate":"2025/1/1 0:00:00","PubModel":"eCollection","JCR":"Q2","JCRName":"SURGERY","Score":null,"Total":0}
引用次数: 0

Abstract

Background: Malignant melanotic nerve sheath tumors (MMNSTs) are rare Schwann cell-derived tumors. Previously classified as benign melanotic schwannomas, they were redefined as a potentially aggressive entity in the 2020 WHO classification of soft tissue tumors and later included in the 2021 WHO CNS classification. However, optimal therapeutic strategies remain under discussion.

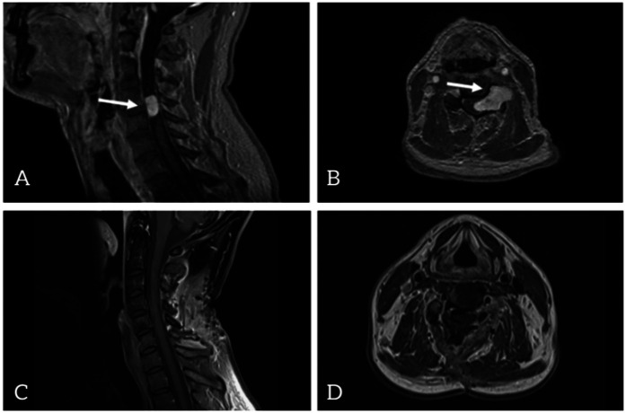
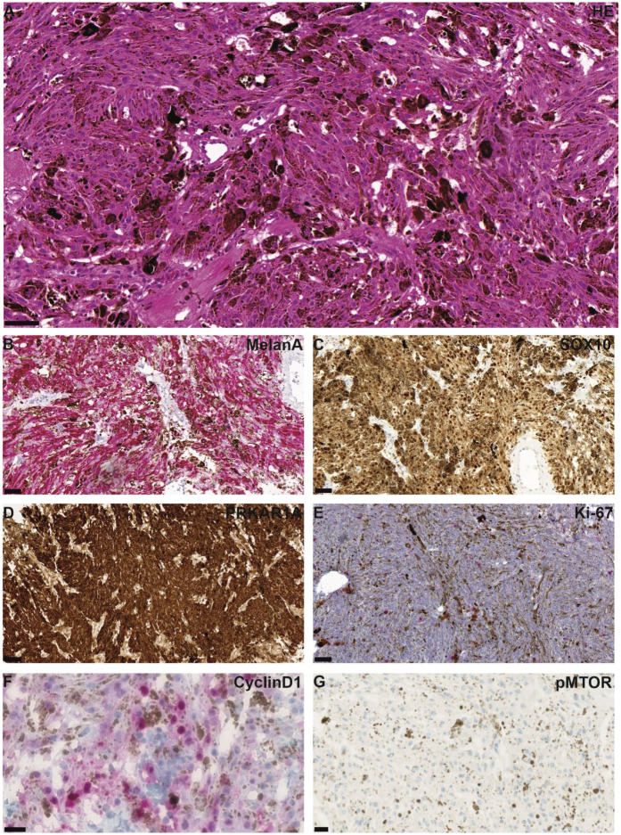
Case presentation: We present the case of a 46-year-old Caucasian male who underwent surgery for an intra- and extraspinal cervical mass lesion at the C4/5 level on the left side. Immunohistochemical analysis confirmed the diagnosis of MMNSTs. The patient initially presented with ataxia, left-sided weakness, and hemihypesthesia. Magnetic resonance imaging of the cervical spine revealed a left intra- and extraspinal homogeneous contrast-enhancing mass at the C4/C5 level. After the first intraspinal partial resection, the diagnosis of MMNST was established. Gross-total resection is highly recommended in nearly all cases in the literature, followed by adjuvant radiotherapy or chemotherapy in selected cases to prevent metastases, which occur in 15%-42% of cases. The patient postponed the second neurosurgical intervention and declined adjuvant radiotherapy. At 18 months after gross total resection, no recurrent tumor was detected by MRI.

Conclusion: Given the limited epidemiological knowledge on MMNSTs, our study contributes to the literature by documenting a case of intra- and extraspinal, cervical MMNST without any of the previously known driver mutations or copy number changes. While the WHO 2021 classification designates these tumors as potentially malignant, our findings support existing reports that more benign courses can occur.

Abstract Image

Abstract Image

Abstract Image

保留PRKAR1A表达的宫颈恶性黑质神经鞘瘤临床良性发展:1例报告及文献复习。
背景:恶性黑色素神经鞘瘤是一种罕见的雪旺细胞源性肿瘤。它们以前被归类为良性黑色素神经鞘瘤,在2020年世卫组织软组织肿瘤分类中被重新定义为潜在的侵袭性实体,后来被纳入2021年世卫组织中枢神经系统分类。然而,最佳治疗策略仍在讨论中。病例介绍:我们报告了一位46岁的白人男性,他在左侧C4/5水平接受了椎管内和椎管外肿块病变的手术。免疫组化分析证实MMNSTs的诊断。患者最初表现为共济失调、左侧虚弱和感觉半迟钝。颈椎磁共振成像显示左侧椎管内和椎管外C4/C5水平均质增强肿块。第一次椎管内部分切除后,确定MMNST的诊断。文献中几乎所有病例都强烈推荐全切除,然后在选定的病例中进行辅助放疗或化疗以防止转移,转移发生率为15%-42%。患者推迟了第二次神经外科介入治疗,并拒绝了辅助放疗。大体全切除后18个月,MRI未发现肿瘤复发。结论:鉴于对MMNST的流行病学知识有限,我们的研究通过记录一个没有任何先前已知的驱动突变或拷贝数变化的椎管内和椎管外颈椎MMNST病例,为文献做出了贡献。虽然世界卫生组织2021年的分类将这些肿瘤指定为潜在的恶性肿瘤,但我们的研究结果支持现有的报告,即可能发生更多的良性病程。
本文章由计算机程序翻译,如有差异,请以英文原文为准。
求助全文
约1分钟内获得全文 求助全文
来源期刊
Frontiers in Surgery
Frontiers in Surgery Medicine-Surgery
CiteScore
1.90
自引率
11.10%
发文量
1872
审稿时长
12 weeks
期刊介绍: Evidence of surgical interventions go back to prehistoric times. Since then, the field of surgery has developed into a complex array of specialties and procedures, particularly with the advent of microsurgery, lasers and minimally invasive techniques. The advanced skills now required from surgeons has led to ever increasing specialization, though these still share important fundamental principles. Frontiers in Surgery is the umbrella journal representing the publication interests of all surgical specialties. It is divided into several “Specialty Sections” listed below. All these sections have their own Specialty Chief Editor, Editorial Board and homepage, but all articles carry the citation Frontiers in Surgery. Frontiers in Surgery calls upon medical professionals and scientists from all surgical specialties to publish their experimental and clinical studies in this journal. By assembling all surgical specialties, which nonetheless retain their independence, under the common umbrella of Frontiers in Surgery, a powerful publication venue is created. Since there is often overlap and common ground between the different surgical specialties, assembly of all surgical disciplines into a single journal will foster a collaborative dialogue amongst the surgical community. This means that publications, which are also of interest to other surgical specialties, will reach a wider audience and have greater impact. The aim of this multidisciplinary journal is to create a discussion and knowledge platform of advances and research findings in surgical practice today to continuously improve clinical management of patients and foster innovation in this field.
×
引用
GB/T 7714-2015
复制
MLA
复制
APA
复制
导出至
BibTeX EndNote RefMan NoteFirst NoteExpress
×
提示
您的信息不完整,为了账户安全,请先补充。
现在去补充
×
提示
您因"违规操作"
具体请查看互助需知
我知道了
×
提示
确定
请完成安全验证×
copy
已复制链接
快去分享给好友吧!
我知道了
右上角分享
点击右上角分享
0
联系我们:info@booksci.cn Book学术提供免费学术资源搜索服务,方便国内外学者检索中英文文献。致力于提供最便捷和优质的服务体验。 Copyright © 2023 布克学术 All rights reserved.
京ICP备2023020795号-1
ghs 京公网安备 11010802042870号
Book学术文献互助
Book学术文献互助群
群 号:604180095
Book学术官方微信