Concurrent occurrence of metastatic cutaneous melanoma and early feline diffuse iris melanoma in a cat.

IF 1.1 4区 农林科学 Q3 ZOOLOGY
Veterinary Research Forum Pub Date : 2025-01-01 Epub Date: 2025-08-15 DOI:10.30466/vrf.2024.2037225.4385
Yesari Eroksuz, Sumeyye Babacan, Eren Polat, Mustafa Issi, Necati Timurkaan, Burak Karabulut, Elif Ekinci
{"title":"Concurrent occurrence of metastatic cutaneous melanoma and early feline diffuse iris melanoma in a cat.","authors":"Yesari Eroksuz, Sumeyye Babacan, Eren Polat, Mustafa Issi, Necati Timurkaan, Burak Karabulut, Elif Ekinci","doi":"10.30466/vrf.2024.2037225.4385","DOIUrl":null,"url":null,"abstract":"<p><p>This report presented a case of the concurrent diagnosis of early feline diffuse iris melanoma (FDIM) and metastatic cutaneous melanoma in a tricolored mixed stray cat. Histopathological examination of biopsy samples identified melanoma on the nasal planum, lips along with metastasis to the submandibular lymph nodes. The initial treatment included surgical resection of the primary nasal planum neoplasm and the metastatic lesions in the submandibular lymph nodes. The necropsy, performed 40 days after the surgery, revealed the metastatic nodules in multiple organs including the liver, lungs, thyroids, pericardium, pleura, peritoneum, kidneys, and numerous lymph nodes. Histopathological examination revealed a biphasic neoplastic tissue composed of a mixture of epithelioid and spindle cells in primary and metastatic tumors. Additionally, the anterior surface of the iris contained 4 - 5 rows of melanocytic interstitial infiltration indicative of early FDIM. Immunohistochemical analysis revealed that the neoplastic cells showed positive immunoreactivity for Melan-A. To the authors' knowledge, this case represented the first reported case of concurrent FDIM and cutaneous melanoma in a feline patient.</p>","PeriodicalId":23989,"journal":{"name":"Veterinary Research Forum","volume":"16 8","pages":"481-484"},"PeriodicalIF":1.1000,"publicationDate":"2025-01-01","publicationTypes":"Journal Article","fieldsOfStudy":null,"isOpenAccess":false,"openAccessPdf":"https://www.ncbi.nlm.nih.gov/pmc/articles/PMC12476532/pdf/","citationCount":"0","resultStr":null,"platform":"Semanticscholar","paperid":null,"PeriodicalName":"Veterinary Research Forum","FirstCategoryId":"97","ListUrlMain":"https://doi.org/10.30466/vrf.2024.2037225.4385","RegionNum":4,"RegionCategory":"农林科学","ArticlePicture":[],"TitleCN":null,"AbstractTextCN":null,"PMCID":null,"EPubDate":"2025/8/15 0:00:00","PubModel":"Epub","JCR":"Q3","JCRName":"ZOOLOGY","Score":null,"Total":0}
引用次数: 0

Abstract

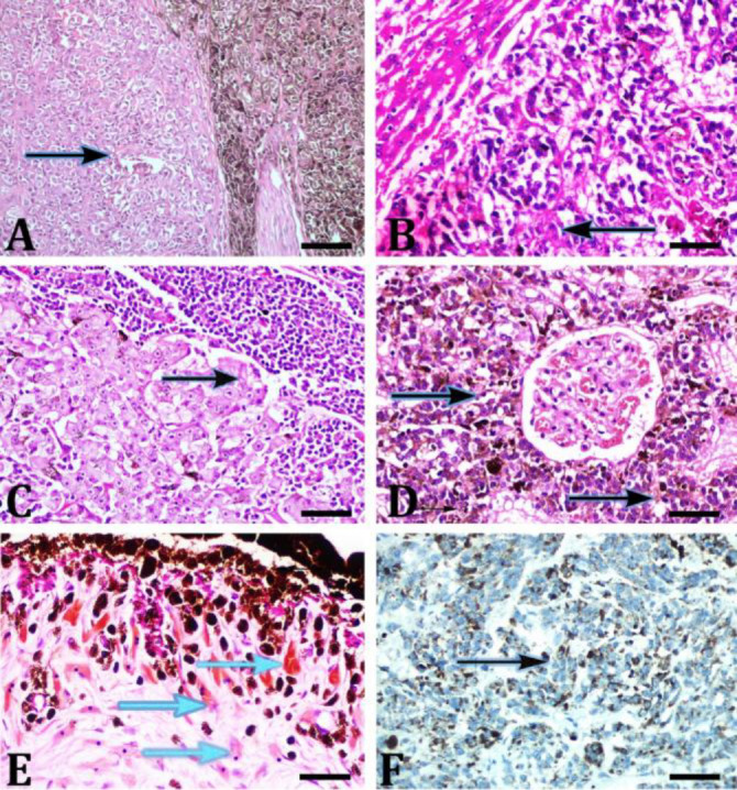
This report presented a case of the concurrent diagnosis of early feline diffuse iris melanoma (FDIM) and metastatic cutaneous melanoma in a tricolored mixed stray cat. Histopathological examination of biopsy samples identified melanoma on the nasal planum, lips along with metastasis to the submandibular lymph nodes. The initial treatment included surgical resection of the primary nasal planum neoplasm and the metastatic lesions in the submandibular lymph nodes. The necropsy, performed 40 days after the surgery, revealed the metastatic nodules in multiple organs including the liver, lungs, thyroids, pericardium, pleura, peritoneum, kidneys, and numerous lymph nodes. Histopathological examination revealed a biphasic neoplastic tissue composed of a mixture of epithelioid and spindle cells in primary and metastatic tumors. Additionally, the anterior surface of the iris contained 4 - 5 rows of melanocytic interstitial infiltration indicative of early FDIM. Immunohistochemical analysis revealed that the neoplastic cells showed positive immunoreactivity for Melan-A. To the authors' knowledge, this case represented the first reported case of concurrent FDIM and cutaneous melanoma in a feline patient.

Abstract Image

Abstract Image

猫的转移性皮肤黑色素瘤和早期猫弥漫性虹膜黑色素瘤同时发生。
本文报道了一只三色混合流浪猫并发诊断为早期猫弥漫性虹膜黑色素瘤(FDIM)和转移性皮肤黑色素瘤的病例。组织病理学检查活检样本确定黑色素瘤在鼻平面,嘴唇以及转移到下颌淋巴结。最初的治疗包括手术切除原发性鼻平面肿瘤和下颌下淋巴结转移灶。手术后40天进行的尸检显示,多个器官有转移性结节,包括肝脏、肺、甲状腺、心包、胸膜、腹膜、肾脏和许多淋巴结。组织病理学检查显示原发性和转移性肿瘤为双相肿瘤组织,由上皮样细胞和梭形细胞混合组成。此外,虹膜前表面有4 - 5行黑素细胞间质浸润,提示早期FDIM。免疫组化分析显示肿瘤细胞对Melan-A免疫反应阳性。据作者所知,该病例是首次报道的猫患者同时患有FDIM和皮肤黑色素瘤的病例。
本文章由计算机程序翻译,如有差异,请以英文原文为准。
求助全文
约1分钟内获得全文 求助全文
来源期刊
Veterinary Research Forum
Veterinary Research Forum Veterinary-General Veterinary
CiteScore
1.50
自引率
0.00%
发文量
0
审稿时长
8 weeks
期刊介绍: Veterinary Research Forum (VRF) is a quarterly international journal committed to publish worldwide contributions on all aspects of veterinary science and medicine, including anatomy and histology, physiology and pharmacology, anatomic and clinical pathology, parasitology, microbiology, immunology and epidemiology, food hygiene, poultry science, fish and aquaculture, anesthesia and surgery, large and small animal internal medicine, large and small animal reproduction, biotechnology and diagnostic imaging of domestic, companion and farm animals.
×
引用
GB/T 7714-2015
复制
MLA
复制
APA
复制
导出至
BibTeX EndNote RefMan NoteFirst NoteExpress
×
提示
您的信息不完整,为了账户安全,请先补充。
现在去补充
×
提示
您因"违规操作"
具体请查看互助需知
我知道了
×
提示
确定
请完成安全验证×
copy
已复制链接
快去分享给好友吧!
我知道了
右上角分享
点击右上角分享
0
联系我们:info@booksci.cn Book学术提供免费学术资源搜索服务,方便国内外学者检索中英文文献。致力于提供最便捷和优质的服务体验。 Copyright © 2023 布克学术 All rights reserved.
京ICP备2023020795号-1
ghs 京公网安备 11010802042870号
Book学术文献互助
Book学术文献互助群
群 号:604180095
Book学术官方微信