Comprehensive analysis of intestinal barrier function and microbial diversity changes in L-arginine-induced acute pancreatitis mice.

IF 3.4 3区 医学 Q2 MEDICINE, RESEARCH & EXPERIMENTAL
Peng Zhang, Yufu Li, Zhenyu Chen, Xinxin Wang, Korotkova Irina Pavlovna
{"title":"Comprehensive analysis of intestinal barrier function and microbial diversity changes in L-arginine-induced acute pancreatitis mice.","authors":"Peng Zhang, Yufu Li, Zhenyu Chen, Xinxin Wang, Korotkova Irina Pavlovna","doi":"10.1186/s40001-025-03199-7","DOIUrl":null,"url":null,"abstract":"<p><strong>Introduction: </strong>While it has been established that intestinal health and microbial variations can influence pancreatic well-being, the extent of intestinal damage and the composition and diversity of the microbiota in animal models of L-arginine-induced acute pancreatitis (AP) remain unclear.</p><p><strong>Methods: </strong>This study aims to evaluate the extent of intestinal damage and microbial changes in AP mouse models. The male C57BL/6 mice were randomly divided into two groups: the AP group received an intraperitoneal injection of 10% L-arginine, while the control group received an equivalent volume of saline. Histological analysis was used to assess morphological changes and damage in the pancreas and the duodenum, ileum, and jejunum. Fluorescent immunohistochemistry and immunohistochemical techniques were employed to evaluate the expression of myeloperoxidase (MPO) in the pancreas and Zonula occludens-1 (ZO-1) and Occludin in the small intestine. High-throughput sequencing was utilized to analyze the composition and diversity of the intestinal microbiota.</p><p><strong>Results: </strong>L-arginine-induced AP in mice significantly increased serum lipase activity and decreased calcium levels, with an increase in pancreatic MPO expression. Additionally, we observed varying degrees of intestinal villi necrosis, edema, and inflammatory cell infiltration in the duodenum, jejunum, and ileum of the AP group mice. Notably, the expression of epithelial Occludin and ZO-1 was reduced in these regions. Compared to healthy mice, AP mice exhibited reduced bacterial richness and diversity, with changes in the intestinal microbiota including increased prevalence of Bacteroidetes and Proteobacteria, while the abundance of Firmicutes decreased.</p><p><strong>Discussion: </strong>L-arginine-induced acute pancreatitis in mice resulted in significant alterations in the intestinal barrier and microbiota.</p>","PeriodicalId":11949,"journal":{"name":"European Journal of Medical Research","volume":"30 1","pages":"912"},"PeriodicalIF":3.4000,"publicationDate":"2025-09-29","publicationTypes":"Journal Article","fieldsOfStudy":null,"isOpenAccess":false,"openAccessPdf":"https://www.ncbi.nlm.nih.gov/pmc/articles/PMC12482567/pdf/","citationCount":"0","resultStr":null,"platform":"Semanticscholar","paperid":null,"PeriodicalName":"European Journal of Medical Research","FirstCategoryId":"3","ListUrlMain":"https://doi.org/10.1186/s40001-025-03199-7","RegionNum":3,"RegionCategory":"医学","ArticlePicture":[],"TitleCN":null,"AbstractTextCN":null,"PMCID":null,"EPubDate":"","PubModel":"","JCR":"Q2","JCRName":"MEDICINE, RESEARCH & EXPERIMENTAL","Score":null,"Total":0}
引用次数: 0

Abstract

Introduction: While it has been established that intestinal health and microbial variations can influence pancreatic well-being, the extent of intestinal damage and the composition and diversity of the microbiota in animal models of L-arginine-induced acute pancreatitis (AP) remain unclear.

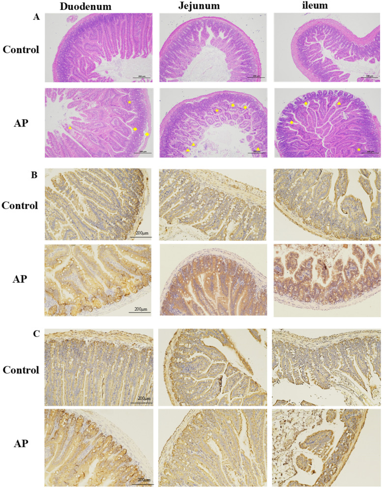
Methods: This study aims to evaluate the extent of intestinal damage and microbial changes in AP mouse models. The male C57BL/6 mice were randomly divided into two groups: the AP group received an intraperitoneal injection of 10% L-arginine, while the control group received an equivalent volume of saline. Histological analysis was used to assess morphological changes and damage in the pancreas and the duodenum, ileum, and jejunum. Fluorescent immunohistochemistry and immunohistochemical techniques were employed to evaluate the expression of myeloperoxidase (MPO) in the pancreas and Zonula occludens-1 (ZO-1) and Occludin in the small intestine. High-throughput sequencing was utilized to analyze the composition and diversity of the intestinal microbiota.

Results: L-arginine-induced AP in mice significantly increased serum lipase activity and decreased calcium levels, with an increase in pancreatic MPO expression. Additionally, we observed varying degrees of intestinal villi necrosis, edema, and inflammatory cell infiltration in the duodenum, jejunum, and ileum of the AP group mice. Notably, the expression of epithelial Occludin and ZO-1 was reduced in these regions. Compared to healthy mice, AP mice exhibited reduced bacterial richness and diversity, with changes in the intestinal microbiota including increased prevalence of Bacteroidetes and Proteobacteria, while the abundance of Firmicutes decreased.

Discussion: L-arginine-induced acute pancreatitis in mice resulted in significant alterations in the intestinal barrier and microbiota.

Abstract Image

Abstract Image

Abstract Image

l -精氨酸诱导急性胰腺炎小鼠肠道屏障功能及微生物多样性变化的综合分析。
虽然已经确定肠道健康和微生物变化可以影响胰腺健康,但在l-精氨酸诱导的急性胰腺炎(AP)动物模型中,肠道损伤的程度以及微生物群的组成和多样性仍不清楚。方法:本研究旨在评估AP小鼠模型的肠道损伤程度和微生物变化。将雄性C57BL/6小鼠随机分为两组,AP组腹腔注射10% l -精氨酸,对照组腹腔注射等量生理盐水。组织学分析用于评估胰腺、十二指肠、回肠和空肠的形态学改变和损伤。采用荧光免疫组织化学和免疫组织化学技术检测胰腺髓过氧化物酶(MPO)和小肠闭塞带蛋白-1 (ZO-1)和Occludin的表达。利用高通量测序分析肠道菌群的组成和多样性。结果:l -精氨酸诱导的AP小鼠血清脂肪酶活性显著升高,钙水平显著降低,胰腺MPO表达增加。此外,我们在AP组小鼠的十二指肠、空肠和回肠中观察到不同程度的肠绒毛坏死、水肿和炎症细胞浸润。值得注意的是,上皮Occludin和ZO-1在这些区域的表达减少。与健康小鼠相比,AP小鼠表现出细菌丰富度和多样性的降低,肠道微生物群的变化包括拟杆菌门和变形菌门的患病率增加,而厚壁菌门的丰度下降。讨论:l -精氨酸诱导的小鼠急性胰腺炎导致肠道屏障和微生物群的显著改变。
本文章由计算机程序翻译,如有差异,请以英文原文为准。
求助全文
约1分钟内获得全文 求助全文
来源期刊
European Journal of Medical Research
European Journal of Medical Research 医学-医学:研究与实验
CiteScore
3.20
自引率
0.00%
发文量
247
审稿时长
>12 weeks
期刊介绍: European Journal of Medical Research publishes translational and clinical research of international interest across all medical disciplines, enabling clinicians and other researchers to learn about developments and innovations within these disciplines and across the boundaries between disciplines. The journal publishes high quality research and reviews and aims to ensure that the results of all well-conducted research are published, regardless of their outcome.
×
引用
GB/T 7714-2015
复制
MLA
复制
APA
复制
导出至
BibTeX EndNote RefMan NoteFirst NoteExpress
×
提示
您的信息不完整,为了账户安全,请先补充。
现在去补充
×
提示
您因"违规操作"
具体请查看互助需知
我知道了
×
提示
确定
请完成安全验证×
copy
已复制链接
快去分享给好友吧!
我知道了
右上角分享
点击右上角分享
0
联系我们:info@booksci.cn Book学术提供免费学术资源搜索服务,方便国内外学者检索中英文文献。致力于提供最便捷和优质的服务体验。 Copyright © 2023 布克学术 All rights reserved.
京ICP备2023020795号-1
ghs 京公网安备 11010802042870号
Book学术文献互助
Book学术文献互助群
群 号:604180095
Book学术官方微信