Exploring the Limits of Rescue Cerclage by Preoperative Sonography: Imaging Contribution and Therapeutic Considerations.

IF 0.8 Q4 RADIOLOGY, NUCLEAR MEDICINE & MEDICAL IMAGING
Journal of Medical Ultrasound Pub Date : 2024-09-25 eCollection Date: 2025-07-01 DOI:10.4103/jmu.jmu_160_23
I-Ning Cheng, Meng-Hsing Wu, Lin Kang
{"title":"Exploring the Limits of Rescue Cerclage by Preoperative Sonography: Imaging Contribution and Therapeutic Considerations.","authors":"I-Ning Cheng, Meng-Hsing Wu, Lin Kang","doi":"10.4103/jmu.jmu_160_23","DOIUrl":null,"url":null,"abstract":"<p><p>Cervical insufficiency poses risks for premature birth and neonatal outcomes. Preoperative sonography aids in the diagnosis and therapeutic considerations. Cervical cerclage is effective but carries risks. In our case series, 8 cases failed to complete emergent cerclage, leading to adverse outcomes. Analysis of preoperative images revealed thicker cervixes and cervical strictures may affect the surgical outcomes. Larger studies are needed to determine the reliable cutoff values. Preoperative assessment is crucial to inform treatment decisions.</p>","PeriodicalId":45466,"journal":{"name":"Journal of Medical Ultrasound","volume":"33 3","pages":"278-281"},"PeriodicalIF":0.8000,"publicationDate":"2024-09-25","publicationTypes":"Journal Article","fieldsOfStudy":null,"isOpenAccess":false,"openAccessPdf":"https://www.ncbi.nlm.nih.gov/pmc/articles/PMC12463375/pdf/","citationCount":"0","resultStr":null,"platform":"Semanticscholar","paperid":null,"PeriodicalName":"Journal of Medical Ultrasound","FirstCategoryId":"1085","ListUrlMain":"https://doi.org/10.4103/jmu.jmu_160_23","RegionNum":0,"RegionCategory":null,"ArticlePicture":[],"TitleCN":null,"AbstractTextCN":null,"PMCID":null,"EPubDate":"2025/7/1 0:00:00","PubModel":"eCollection","JCR":"Q4","JCRName":"RADIOLOGY, NUCLEAR MEDICINE & MEDICAL IMAGING","Score":null,"Total":0}
引用次数: 0

Abstract

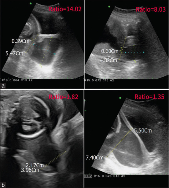
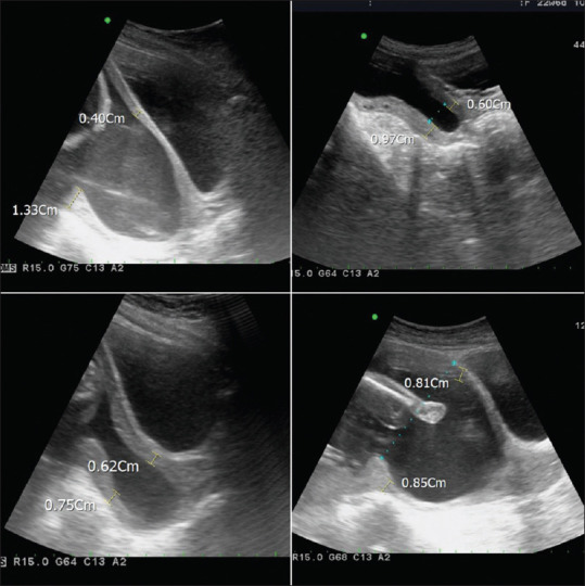
Cervical insufficiency poses risks for premature birth and neonatal outcomes. Preoperative sonography aids in the diagnosis and therapeutic considerations. Cervical cerclage is effective but carries risks. In our case series, 8 cases failed to complete emergent cerclage, leading to adverse outcomes. Analysis of preoperative images revealed thicker cervixes and cervical strictures may affect the surgical outcomes. Larger studies are needed to determine the reliable cutoff values. Preoperative assessment is crucial to inform treatment decisions.

Abstract Image

Abstract Image

Abstract Image

术前超声探查抢救性结扎的局限性:影像学贡献和治疗考虑。
宫颈功能不全对早产和新生儿结局构成风险。术前超声检查有助于诊断和治疗。宫颈环切术是有效的,但也有风险。在我们的病例系列中,有8例未能完成紧急循环,导致不良后果。术前图像分析显示宫颈较厚和宫颈狭窄可能影响手术结果。需要更大规模的研究来确定可靠的临界值。术前评估对决定治疗至关重要。
本文章由计算机程序翻译,如有差异,请以英文原文为准。
求助全文
约1分钟内获得全文 求助全文
来源期刊
Journal of Medical Ultrasound
Journal of Medical Ultrasound RADIOLOGY, NUCLEAR MEDICINE & MEDICAL IMAGING-
CiteScore
1.30
自引率
9.10%
发文量
90
审稿时长
10 weeks
期刊介绍: The Journal of Medical Ultrasound is the peer-reviewed publication of the Asian Federation of Societies for Ultrasound in Medicine and Biology, and the Chinese Taipei Society of Ultrasound in Medicine. Its aim is to promote clinical and scientific research in ultrasonography, and to serve as a channel of communication among sonologists, sonographers, and medical ultrasound physicians in the Asia-Pacific region and wider international community. The Journal invites original contributions relating to the clinical and laboratory investigations and applications of ultrasonography.
×
引用
GB/T 7714-2015
复制
MLA
复制
APA
复制
导出至
BibTeX EndNote RefMan NoteFirst NoteExpress
×
提示
您的信息不完整,为了账户安全,请先补充。
现在去补充
×
提示
您因"违规操作"
具体请查看互助需知
我知道了
×
提示
确定
请完成安全验证×
copy
已复制链接
快去分享给好友吧!
我知道了
右上角分享
点击右上角分享
0
联系我们:info@booksci.cn Book学术提供免费学术资源搜索服务,方便国内外学者检索中英文文献。致力于提供最便捷和优质的服务体验。 Copyright © 2023 布克学术 All rights reserved.
京ICP备2023020795号-1
ghs 京公网安备 11010802042870号
Book学术文献互助
Book学术文献互助群
群 号:604180095
Book学术官方微信