Prognostic utility of submental B/M-Mode ultrasonography for swallowing function assessment in post-stroke pharyngeal dysphagia: a preliminary study.

IF 2.4 3区 生物学 Q2 MULTIDISCIPLINARY SCIENCES
PeerJ Pub Date : 2025-09-22 eCollection Date: 2025-01-01 DOI:10.7717/peerj.20046
Meng Huang, Tong Wu
{"title":"Prognostic utility of submental B/M-Mode ultrasonography for swallowing function assessment in post-stroke pharyngeal dysphagia: a preliminary study.","authors":"Meng Huang, Tong Wu","doi":"10.7717/peerj.20046","DOIUrl":null,"url":null,"abstract":"<p><strong>Objective: </strong>To evaluate the prognostic value of hyoid bone kinematic parameters measured via submental B/M-mode ultrasonography in post-stroke pharyngeal dysphagia, aiming to identify reliable predictors of swallowing recovery.</p><p><strong>Methods: </strong>This study included 46 stroke patients with pharyngeal dysphagia, diagnosed via videofluoroscopic swallowing study (VFSS), and treated at the Department of Rehabilitation Medicine, Affiliated Brain Hospital of Nanjing Medical University (June 2020-August 2024). Swallowing function was assessed using seven pharyngeal phase parameters from the Videofluoroscopic Dysphagia Scale (VDS) at baseline and post-rehabilitation. Patients were stratified into favorable (<i>n</i> = 26) and unfavorable (<i>n</i> = 20) prognosis groups based on post-treatment VDS and Functional Oral Intake Scale (FOIS) scores. Submental B/M-mode ultrasonography quantified hyoid bone displacement parameters pre- and post-rehabilitation, including maximum displacement, anterior displacement, superior displacement, total movement duration, and hyoid-thyroid cartilage approximation ratio (ASR).</p><p><strong>Result: </strong>No significant differences were observed between groups in baseline characteristics. Post-treatment, the favorable group showed significantly lower Rosenbek scores <i>(p = 0.000)</i>, reduced VDS scores <i>(p = 0.000)</i>, and decreased feeding tube dependency <i>(p = 0.000)</i>. Post-treatment, the favorable group exhibited greater anterior displacement <i>(p = 0.011)</i>, higher ASR <i>(p = 0.000)</i>, and shorter total movement duration (<i>p = 0.005</i>). Logistic regression identified hyoid anterior displacement (odds ratio (OR) = 9.539, <i>p = 0.011</i>) and ASR (OR = 14.238, <i>p = 0.001</i>) as independent prognostic predictors. ROC curve analysis indicated that hyoid anterior displacement (area under the curve (AUC) = 0.720) and ASR (AUC = 0.816) were significant discriminators of favorable outcomes, with optimal cutoff values of 0.865 cm (92.3% sensitivity, 50.0% specificity) and 31.5% (84.6% sensitivity, 65.0% specificity), respectively. The combined model further improved predictive accuracy (AUC = 0.854, 84.6% sensitivity, 85.0% specificity).</p><p><strong>Conclusion: </strong>Impaired hyoid anterior displacement and reduced ASR are critical pathophysiological mechanisms in post-stroke dysphagia. Combined assessment of these parameters provides significant clinical utility for prognosis and treatment planning.</p>","PeriodicalId":19799,"journal":{"name":"PeerJ","volume":"13 ","pages":"e20046"},"PeriodicalIF":2.4000,"publicationDate":"2025-09-22","publicationTypes":"Journal Article","fieldsOfStudy":null,"isOpenAccess":false,"openAccessPdf":"https://www.ncbi.nlm.nih.gov/pmc/articles/PMC12462686/pdf/","citationCount":"0","resultStr":null,"platform":"Semanticscholar","paperid":null,"PeriodicalName":"PeerJ","FirstCategoryId":"99","ListUrlMain":"https://doi.org/10.7717/peerj.20046","RegionNum":3,"RegionCategory":"生物学","ArticlePicture":[],"TitleCN":null,"AbstractTextCN":null,"PMCID":null,"EPubDate":"2025/1/1 0:00:00","PubModel":"eCollection","JCR":"Q2","JCRName":"MULTIDISCIPLINARY SCIENCES","Score":null,"Total":0}
引用次数: 0

Abstract

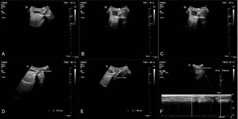
Objective: To evaluate the prognostic value of hyoid bone kinematic parameters measured via submental B/M-mode ultrasonography in post-stroke pharyngeal dysphagia, aiming to identify reliable predictors of swallowing recovery.

Methods: This study included 46 stroke patients with pharyngeal dysphagia, diagnosed via videofluoroscopic swallowing study (VFSS), and treated at the Department of Rehabilitation Medicine, Affiliated Brain Hospital of Nanjing Medical University (June 2020-August 2024). Swallowing function was assessed using seven pharyngeal phase parameters from the Videofluoroscopic Dysphagia Scale (VDS) at baseline and post-rehabilitation. Patients were stratified into favorable (n = 26) and unfavorable (n = 20) prognosis groups based on post-treatment VDS and Functional Oral Intake Scale (FOIS) scores. Submental B/M-mode ultrasonography quantified hyoid bone displacement parameters pre- and post-rehabilitation, including maximum displacement, anterior displacement, superior displacement, total movement duration, and hyoid-thyroid cartilage approximation ratio (ASR).

Result: No significant differences were observed between groups in baseline characteristics. Post-treatment, the favorable group showed significantly lower Rosenbek scores (p = 0.000), reduced VDS scores (p = 0.000), and decreased feeding tube dependency (p = 0.000). Post-treatment, the favorable group exhibited greater anterior displacement (p = 0.011), higher ASR (p = 0.000), and shorter total movement duration (p = 0.005). Logistic regression identified hyoid anterior displacement (odds ratio (OR) = 9.539, p = 0.011) and ASR (OR = 14.238, p = 0.001) as independent prognostic predictors. ROC curve analysis indicated that hyoid anterior displacement (area under the curve (AUC) = 0.720) and ASR (AUC = 0.816) were significant discriminators of favorable outcomes, with optimal cutoff values of 0.865 cm (92.3% sensitivity, 50.0% specificity) and 31.5% (84.6% sensitivity, 65.0% specificity), respectively. The combined model further improved predictive accuracy (AUC = 0.854, 84.6% sensitivity, 85.0% specificity).

Conclusion: Impaired hyoid anterior displacement and reduced ASR are critical pathophysiological mechanisms in post-stroke dysphagia. Combined assessment of these parameters provides significant clinical utility for prognosis and treatment planning.

Abstract Image

Abstract Image

Abstract Image

脑下B/ m型超声对脑卒中后咽部吞咽困难患者吞咽功能评估的预后价值:初步研究。
目的:评价颏下B/ m型超声测量舌骨运动学参数对脑卒中后咽部吞咽困难的预后价值,旨在寻找吞咽恢复的可靠预测指标。方法:本研究纳入46例脑卒中咽部吞咽困难患者,通过视频透视吞咽研究(VFSS)诊断,于2020年6月- 2024年8月在南京医科大学附属脑科康复医学科接受治疗。在基线和康复后,使用影像透视吞咽困难量表(VDS)中的7个咽相参数评估吞咽功能。根据治疗后VDS和功能性口服摄入量表(FOIS)评分,将患者分为预后良好组(n = 26)和预后不良组(n = 20)。颏下B/ m型超声量化康复前后舌骨位移参数,包括最大位移、前位位移、上位位移、总运动时间、舌甲状腺软骨近似比(ASR)。结果:两组患者基线特征无显著差异。治疗后,有利组的Rosenbek评分显著降低(p = 0.000), VDS评分显著降低(p = 0.000),饲管依赖性显著降低(p = 0.000)。治疗后,有利组前移位较大(p = 0.011), ASR较高(p = 0.000),总运动时间较短(p = 0.005)。Logistic回归发现舌骨前移位(优势比(OR) = 9.539, p = 0.011)和ASR (OR = 14.238, p = 0.001)是独立的预后预测因素。ROC曲线分析显示舌骨前移位(曲线下面积(AUC) = 0.720)和ASR (AUC = 0.816)是预后良好的显著判别因子,最佳截断值分别为0.865 cm(敏感性92.3%,特异性50.0%)和31.5%(敏感性84.6%,特异性65.0%)。联合模型进一步提高了预测准确率(AUC = 0.854,敏感性84.6%,特异性85.0%)。结论:舌骨前移位受损和ASR减少是脑卒中后吞咽困难的重要病理生理机制。这些参数的综合评估为预后和治疗计划提供了重要的临床应用。
本文章由计算机程序翻译,如有差异,请以英文原文为准。
求助全文
约1分钟内获得全文 求助全文
来源期刊
PeerJ
PeerJ MULTIDISCIPLINARY SCIENCES-
CiteScore
4.70
自引率
3.70%
发文量
1665
审稿时长
10 weeks
期刊介绍: PeerJ is an open access peer-reviewed scientific journal covering research in the biological and medical sciences. At PeerJ, authors take out a lifetime publication plan (for as little as $99) which allows them to publish articles in the journal for free, forever. PeerJ has 5 Nobel Prize Winners on the Board; they have won several industry and media awards; and they are widely recognized as being one of the most interesting recent developments in academic publishing.
×
引用
GB/T 7714-2015
复制
MLA
复制
APA
复制
导出至
BibTeX EndNote RefMan NoteFirst NoteExpress
×
提示
您的信息不完整,为了账户安全,请先补充。
现在去补充
×
提示
您因"违规操作"
具体请查看互助需知
我知道了
×
提示
确定
请完成安全验证×
copy
已复制链接
快去分享给好友吧!
我知道了
右上角分享
点击右上角分享
0
联系我们:info@booksci.cn Book学术提供免费学术资源搜索服务,方便国内外学者检索中英文文献。致力于提供最便捷和优质的服务体验。 Copyright © 2023 布克学术 All rights reserved.
京ICP备2023020795号-1
ghs 京公网安备 11010802042870号
Book学术文献互助
Book学术文献互助群
群 号:604180095
Book学术官方微信