A Rare Case of Yersinia Pseudotuberculosis Infection with Septic Shock and Splenic Infarction.

IF 2.9 3区 医学 Q2 INFECTIOUS DISEASES
Infection and Drug Resistance Pub Date : 2025-09-22 eCollection Date: 2025-01-01 DOI:10.2147/IDR.S548492
Yayuan Tan, Xueli Li, Yingchun Xie, Zhaohui Zhang, Jinglan Liu, Gaosheng Zhou, Min Liu
{"title":"A Rare Case of Yersinia Pseudotuberculosis Infection with Septic Shock and Splenic Infarction.","authors":"Yayuan Tan, Xueli Li, Yingchun Xie, Zhaohui Zhang, Jinglan Liu, Gaosheng Zhou, Min Liu","doi":"10.2147/IDR.S548492","DOIUrl":null,"url":null,"abstract":"<p><p><i>Yersinia pseudotuberculosis</i> is a Gram-negative bacterium of the family <i>Yersiniaceae</i>, primarily transmitted via the gastrointestinal tract. Progression to sepsis is uncommon, and the combination of septic shock and splenic infarction is exceedingly rare. We report a 40-year-old male who initially presented with fever, abdominal pain, and distension, which rapidly progressed to sepsis and multi-organ dysfunction. Definitive diagnosis of <i>Y. pseudotuberculosis</i> infection was established by blood culture and metagenomic next-generation sequencing, supported by imaging evidence of splenic infarction. The patient was managed with stepwise antimicrobial regimens (including piperacillin-tazobactam, meropenem, levofloxacin, linezolid, and daptomycin), plasma exchange, continuous renal replacement therapy, and organ function support. Following comprehensive treatment, the patient recovered and was discharged in stable condition. This case highlights the importance of considering <i>Y. pseudotuberculosis</i> in atypical sepsis presentations and demonstrates that timely diagnosis and multidisciplinary management are crucial to improving outcomes in such rare and life-threatening infections.</p>","PeriodicalId":13577,"journal":{"name":"Infection and Drug Resistance","volume":"18 ","pages":"5057-5065"},"PeriodicalIF":2.9000,"publicationDate":"2025-09-22","publicationTypes":"Journal Article","fieldsOfStudy":null,"isOpenAccess":false,"openAccessPdf":"https://www.ncbi.nlm.nih.gov/pmc/articles/PMC12474736/pdf/","citationCount":"0","resultStr":null,"platform":"Semanticscholar","paperid":null,"PeriodicalName":"Infection and Drug Resistance","FirstCategoryId":"3","ListUrlMain":"https://doi.org/10.2147/IDR.S548492","RegionNum":3,"RegionCategory":"医学","ArticlePicture":[],"TitleCN":null,"AbstractTextCN":null,"PMCID":null,"EPubDate":"2025/1/1 0:00:00","PubModel":"eCollection","JCR":"Q2","JCRName":"INFECTIOUS DISEASES","Score":null,"Total":0}
引用次数: 0

Abstract

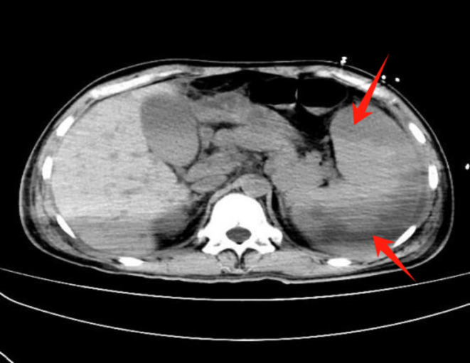
Yersinia pseudotuberculosis is a Gram-negative bacterium of the family Yersiniaceae, primarily transmitted via the gastrointestinal tract. Progression to sepsis is uncommon, and the combination of septic shock and splenic infarction is exceedingly rare. We report a 40-year-old male who initially presented with fever, abdominal pain, and distension, which rapidly progressed to sepsis and multi-organ dysfunction. Definitive diagnosis of Y. pseudotuberculosis infection was established by blood culture and metagenomic next-generation sequencing, supported by imaging evidence of splenic infarction. The patient was managed with stepwise antimicrobial regimens (including piperacillin-tazobactam, meropenem, levofloxacin, linezolid, and daptomycin), plasma exchange, continuous renal replacement therapy, and organ function support. Following comprehensive treatment, the patient recovered and was discharged in stable condition. This case highlights the importance of considering Y. pseudotuberculosis in atypical sepsis presentations and demonstrates that timely diagnosis and multidisciplinary management are crucial to improving outcomes in such rare and life-threatening infections.

Abstract Image

Abstract Image

假结核耶尔森菌感染合并感染性休克及脾梗死1例。
假结核耶尔森氏菌是一种革兰氏阴性菌耶尔森氏科,主要通过胃肠道传播。进展为败血症是罕见的,脓毒性休克和脾梗死的合并是极其罕见的。我们报告一位40岁男性患者,他最初表现为发烧、腹痛和腹胀,并迅速发展为败血症和多器官功能障碍。假性结核杆菌感染的明确诊断是通过血培养和宏基因组新一代测序建立的,并有脾梗死的影像学证据支持。患者接受分步抗菌治疗方案(包括哌拉西林-他唑巴坦、美罗培南、左氧氟沙星、利奈唑胺和达托霉素)、血浆置换、持续肾脏替代治疗和器官功能支持。经综合治疗,患者痊愈出院,病情稳定。该病例强调了在非典型败血症表现中考虑假结核杆菌的重要性,并表明及时诊断和多学科管理对于改善这种罕见且危及生命的感染的结果至关重要。
本文章由计算机程序翻译,如有差异,请以英文原文为准。
求助全文
约1分钟内获得全文 求助全文
来源期刊
Infection and Drug Resistance
Infection and Drug Resistance Medicine-Pharmacology (medical)
CiteScore
5.60
自引率
7.70%
发文量
826
审稿时长
16 weeks
期刊介绍: About Journal Editors Peer Reviewers Articles Article Publishing Charges Aims and Scope Call For Papers ISSN: 1178-6973 Editor-in-Chief: Professor Suresh Antony An international, peer-reviewed, open access journal that focuses on the optimal treatment of infection (bacterial, fungal and viral) and the development and institution of preventative strategies to minimize the development and spread of resistance.
×
引用
GB/T 7714-2015
复制
MLA
复制
APA
复制
导出至
BibTeX EndNote RefMan NoteFirst NoteExpress
×
提示
您的信息不完整,为了账户安全,请先补充。
现在去补充
×
提示
您因"违规操作"
具体请查看互助需知
我知道了
×
提示
确定
请完成安全验证×
copy
已复制链接
快去分享给好友吧!
我知道了
右上角分享
点击右上角分享
0
联系我们:info@booksci.cn Book学术提供免费学术资源搜索服务,方便国内外学者检索中英文文献。致力于提供最便捷和优质的服务体验。 Copyright © 2023 布克学术 All rights reserved.
京ICP备2023020795号-1
ghs 京公网安备 11010802042870号
Book学术文献互助
Book学术文献互助群
群 号:604180095
Book学术官方微信