[Dilated cardiomyopathy in a patient with Cushing's disease - clinical presentation, diagnosis and treatment: a case report].

A B Kuznetsov, A Yа Grigoryev, V A Kuznetsov, Zh E Belaya, L Yа Rozhinskaya
{"title":"[Dilated cardiomyopathy in a patient with Cushing's disease - clinical presentation, diagnosis and treatment: a case report].","authors":"A B Kuznetsov, A Yа Grigoryev, V A Kuznetsov, Zh E Belaya, L Yа Rozhinskaya","doi":"10.14341/probl13147","DOIUrl":null,"url":null,"abstract":"<p><p>Cortisol-induced dilated cardiomyopathy (CI-DCM) is a rare manifestation of endogenous hypercortisolism (EH). Optimal management of patients with CI-DCM is a major challenge due to the rarity of the pathology and the lack of expert community guidelines. This article describes a case of successful management of a patient with ACTH-secreting pituitary tumor and CI-DCM.A 44-year-old patient was hospitalized with symptoms of chronic heart failure (CHF) and EH. The diagnosis of non-ischemic myocardial damage with phenotype of DCM was verified by echocardiography and coronary angiography. According to hormonal and imaging tests, and selective blood sampling from the inferior petrosal sinuses, an ACTH-secreting pituitary adenoma was diagnosed. A transnasal transsphenoidal adenomectomy was planned. Due to the symptoms of CHF and systolo-diastolic dysfunction of the left ventricle (LV), significantly increasing the risk of adverse perioperative cardiac events, the intervention was postponed. Stabilization of the patient's condition was achieved after 4-month therapy with use of betaAB, ACEI, MRA, diuretics, and steroidogenesis inhibitors. Stabilization of the patient's condition allowed to perform transnasal transsphenoidal adenomectomy without perioperative complications, with postoperative decrease of ACTH and cortisol levels. Follow-up examinations demonstrated preservation of eucorticism, regression of CHF symptoms. progressive decrease of LV size/volumes with increase of LVEF.Cortisol hypersecretion can damage myocardium with a phenotype of DCM, with symptoms of CHF being the dominant clinical manifestation of EH. The use of betaAB, ACEI, diuretics, MRA, and steroidogenesis inhibitors is reasonable to control symptoms of CHF and prepare a patient with CI-DCM for surgical intervention. After normalization of cortisol level, regression of CHF symptoms and significant reduction of heart chamber size/volumes with increase of LVEF are noted, which allows to conclude about reversibility of pathologic cardiac remodeling.</p>","PeriodicalId":101419,"journal":{"name":"Problemy endokrinologii","volume":"71 4","pages":"16-28"},"PeriodicalIF":0.0000,"publicationDate":"2025-09-14","publicationTypes":"Journal Article","fieldsOfStudy":null,"isOpenAccess":false,"openAccessPdf":"https://www.ncbi.nlm.nih.gov/pmc/articles/PMC12489967/pdf/","citationCount":"0","resultStr":null,"platform":"Semanticscholar","paperid":null,"PeriodicalName":"Problemy endokrinologii","FirstCategoryId":"1085","ListUrlMain":"https://doi.org/10.14341/probl13147","RegionNum":0,"RegionCategory":null,"ArticlePicture":[],"TitleCN":null,"AbstractTextCN":null,"PMCID":null,"EPubDate":"","PubModel":"","JCR":"","JCRName":"","Score":null,"Total":0}
引用次数: 0

Abstract

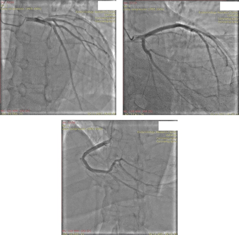
Cortisol-induced dilated cardiomyopathy (CI-DCM) is a rare manifestation of endogenous hypercortisolism (EH). Optimal management of patients with CI-DCM is a major challenge due to the rarity of the pathology and the lack of expert community guidelines. This article describes a case of successful management of a patient with ACTH-secreting pituitary tumor and CI-DCM.A 44-year-old patient was hospitalized with symptoms of chronic heart failure (CHF) and EH. The diagnosis of non-ischemic myocardial damage with phenotype of DCM was verified by echocardiography and coronary angiography. According to hormonal and imaging tests, and selective blood sampling from the inferior petrosal sinuses, an ACTH-secreting pituitary adenoma was diagnosed. A transnasal transsphenoidal adenomectomy was planned. Due to the symptoms of CHF and systolo-diastolic dysfunction of the left ventricle (LV), significantly increasing the risk of adverse perioperative cardiac events, the intervention was postponed. Stabilization of the patient's condition was achieved after 4-month therapy with use of betaAB, ACEI, MRA, diuretics, and steroidogenesis inhibitors. Stabilization of the patient's condition allowed to perform transnasal transsphenoidal adenomectomy without perioperative complications, with postoperative decrease of ACTH and cortisol levels. Follow-up examinations demonstrated preservation of eucorticism, regression of CHF symptoms. progressive decrease of LV size/volumes with increase of LVEF.Cortisol hypersecretion can damage myocardium with a phenotype of DCM, with symptoms of CHF being the dominant clinical manifestation of EH. The use of betaAB, ACEI, diuretics, MRA, and steroidogenesis inhibitors is reasonable to control symptoms of CHF and prepare a patient with CI-DCM for surgical intervention. After normalization of cortisol level, regression of CHF symptoms and significant reduction of heart chamber size/volumes with increase of LVEF are noted, which allows to conclude about reversibility of pathologic cardiac remodeling.

Abstract Image

Abstract Image

Abstract Image

[库欣病扩张型心肌病的临床表现、诊断和治疗:1例报告]。
皮质醇诱导的扩张型心肌病(CI-DCM)是内源性高皮质醇症(EH)的一种罕见表现。由于罕见的病理和缺乏专家社区指南,CI-DCM患者的最佳管理是一个主要挑战。这篇文章描述了一例成功的管理患者与acth分泌垂体瘤和CI-DCM。一名44岁患者因慢性心力衰竭(CHF)和EH症状住院。超声心动图和冠状动脉造影证实非缺血性心肌损伤伴DCM表型的诊断。根据激素和影像学检查,并从岩下窦选择性采血,诊断为垂体acth腺瘤。计划行经鼻蝶窦腺瘤切除术。由于出现CHF症状和左心室(LV)收缩-舒张功能障碍,明显增加围手术期心脏不良事件的风险,因此推迟了干预。在使用β - ab、ACEI、MRA、利尿剂和类固醇生成抑制剂治疗4个月后,患者病情稳定。患者病情稳定后可行经鼻经蝶腺瘤切除术,无围手术期并发症,术后ACTH和皮质醇水平下降。随访检查显示患者恢复良好,CHF症状消退。随着LVEF的增加,左室大小/容积逐渐减小。皮质醇高分泌可损害心肌,表现为DCM表型,以CHF症状为EH的主要临床表现。使用β - ab、ACEI、利尿剂、MRA和类固醇生成抑制剂可以合理地控制CHF症状,为CI-DCM患者进行手术干预做好准备。皮质醇水平正常化后,CHF症状消退,心室大小/容积随LVEF的增加而显著减少,由此得出病理性心脏重构的可逆性结论。
本文章由计算机程序翻译,如有差异,请以英文原文为准。
求助全文
约1分钟内获得全文 求助全文
来源期刊
自引率
0.00%
发文量
0
×
引用
GB/T 7714-2015
复制
MLA
复制
APA
复制
导出至
BibTeX EndNote RefMan NoteFirst NoteExpress
×
提示
您的信息不完整,为了账户安全,请先补充。
现在去补充
×
提示
您因"违规操作"
具体请查看互助需知
我知道了
×
提示
确定
请完成安全验证×
copy
已复制链接
快去分享给好友吧!
我知道了
右上角分享
点击右上角分享
0
联系我们:info@booksci.cn Book学术提供免费学术资源搜索服务,方便国内外学者检索中英文文献。致力于提供最便捷和优质的服务体验。 Copyright © 2023 布克学术 All rights reserved.
京ICP备2023020795号-1
ghs 京公网安备 11010802042870号
Book学术文献互助
Book学术文献互助群
群 号:604180095
Book学术官方微信