Cross-Modality Diagnostic Agreement in Canine Medial Coronoid Disease in a Screening Population: Radiographs vs. CT in 424 Elbow Joints.

IF 2.3 2区 农林科学 Q2 VETERINARY SCIENCES
Yasamin Vali, Aquilino Villamonte Chevalier, Henri van Bree, Bart J G Broeckx, Ingrid Gielen
{"title":"Cross-Modality Diagnostic Agreement in Canine Medial Coronoid Disease in a Screening Population: Radiographs vs. CT in 424 Elbow Joints.","authors":"Yasamin Vali, Aquilino Villamonte Chevalier, Henri van Bree, Bart J G Broeckx, Ingrid Gielen","doi":"10.3390/vetsci12090883","DOIUrl":null,"url":null,"abstract":"<p><p>Diagnostic imaging is a crucial non-invasive tool for evaluating canine elbow joints, particularly for screening and treatment planning of medial coronoid disease (MCD). Radiography remains the most accessible and widely used screening modality, but its diagnostic accuracy varies significantly. Sensitivity values reported in previous studies vary depending on factors such as study population, imaging technique, and interpretation criteria. This study compared four measures (sensitivity, specificity, positive and negative predictive value) of radiography with a more advanced imaging method, computed tomography (CT), which provides more detailed images of bones. The results showed that radiography correctly identified 65% of the cases (17/26), while missing some of the affected joints. Furthermore, 7% of the healthy joints (29/398) were misdiagnosed as diseased, leading to a specificity of 93% (369/398). For a disease prevalence of 6% (26/424), the positive and negative predictive value of radiography were 37% (17/46) and 98% (369/378), respectively. Overall, when CT is available, it is the preferred technique for screening. In cases where it is not available, it is important to have an idea of the sensitivity and specificity, but also of the positive and negative predictive value, especially at low prevalences. These results help veterinarians make better decisions when screening for elbow problems in dogs.</p>","PeriodicalId":23694,"journal":{"name":"Veterinary Sciences","volume":"12 9","pages":""},"PeriodicalIF":2.3000,"publicationDate":"2025-09-12","publicationTypes":"Journal Article","fieldsOfStudy":null,"isOpenAccess":false,"openAccessPdf":"https://www.ncbi.nlm.nih.gov/pmc/articles/PMC12474037/pdf/","citationCount":"0","resultStr":null,"platform":"Semanticscholar","paperid":null,"PeriodicalName":"Veterinary Sciences","FirstCategoryId":"97","ListUrlMain":"https://doi.org/10.3390/vetsci12090883","RegionNum":2,"RegionCategory":"农林科学","ArticlePicture":[],"TitleCN":null,"AbstractTextCN":null,"PMCID":null,"EPubDate":"","PubModel":"","JCR":"Q2","JCRName":"VETERINARY SCIENCES","Score":null,"Total":0}
引用次数: 0

Abstract

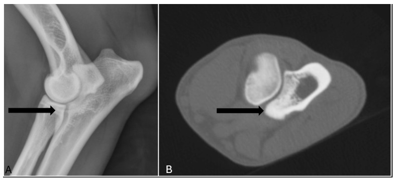
Diagnostic imaging is a crucial non-invasive tool for evaluating canine elbow joints, particularly for screening and treatment planning of medial coronoid disease (MCD). Radiography remains the most accessible and widely used screening modality, but its diagnostic accuracy varies significantly. Sensitivity values reported in previous studies vary depending on factors such as study population, imaging technique, and interpretation criteria. This study compared four measures (sensitivity, specificity, positive and negative predictive value) of radiography with a more advanced imaging method, computed tomography (CT), which provides more detailed images of bones. The results showed that radiography correctly identified 65% of the cases (17/26), while missing some of the affected joints. Furthermore, 7% of the healthy joints (29/398) were misdiagnosed as diseased, leading to a specificity of 93% (369/398). For a disease prevalence of 6% (26/424), the positive and negative predictive value of radiography were 37% (17/46) and 98% (369/378), respectively. Overall, when CT is available, it is the preferred technique for screening. In cases where it is not available, it is important to have an idea of the sensitivity and specificity, but also of the positive and negative predictive value, especially at low prevalences. These results help veterinarians make better decisions when screening for elbow problems in dogs.

Abstract Image

Abstract Image

Abstract Image

犬内侧冠状病在筛查人群中的跨模态诊断一致性:424个肘关节的x线片与CT。
诊断成像是评估犬肘关节的一种重要的非侵入性工具,特别是对于内侧冠状动脉疾病(MCD)的筛查和治疗计划。x线摄影仍然是最容易获得和广泛使用的筛查方式,但其诊断准确性差异很大。以往研究报告的敏感性值因研究人群、成像技术和判读标准等因素而异。本研究将x线摄影的四项指标(敏感性、特异性、阳性预测值和阴性预测值)与一种更先进的成像方法计算机断层扫描(CT)进行了比较,CT可以提供更详细的骨骼图像。结果显示,65%的病例(17/26)的x线片正确识别,而遗漏了一些受影响的关节。此外,7%的健康关节(29/398)被误诊为病变,特异性为93%(369/398)。在疾病患病率为6%(26/424)的情况下,x线摄影的阳性预测值为37%(17/46),阴性预测值为98%(369/378)。总的来说,当CT可用时,它是首选的筛查技术。在没有这种方法的情况下,重要的是要了解敏感性和特异性,以及阳性和阴性预测值,特别是在低患病率的情况下。这些结果有助于兽医在检查狗的肘部问题时做出更好的决定。
本文章由计算机程序翻译,如有差异,请以英文原文为准。
求助全文
约1分钟内获得全文 求助全文
来源期刊
Veterinary Sciences
Veterinary Sciences VETERINARY SCIENCES-
CiteScore
2.90
自引率
8.30%
发文量
612
审稿时长
6 weeks
期刊介绍: Veterinary Sciences is an international and interdisciplinary scholarly open access journal. It publishes original that are relevant to any field of veterinary sciences, including prevention, diagnosis and treatment of disease, disorder and injury in animals. This journal covers almost all topics related to animal health and veterinary medicine. Research fields of interest include but are not limited to: anaesthesiology anatomy bacteriology biochemistry cardiology dentistry dermatology embryology endocrinology epidemiology genetics histology immunology microbiology molecular biology mycology neurobiology oncology ophthalmology parasitology pathology pharmacology physiology radiology surgery theriogenology toxicology virology.
×
引用
GB/T 7714-2015
复制
MLA
复制
APA
复制
导出至
BibTeX EndNote RefMan NoteFirst NoteExpress
×
提示
您的信息不完整,为了账户安全,请先补充。
现在去补充
×
提示
您因"违规操作"
具体请查看互助需知
我知道了
×
提示
确定
请完成安全验证×
copy
已复制链接
快去分享给好友吧!
我知道了
右上角分享
点击右上角分享
0
联系我们:info@booksci.cn Book学术提供免费学术资源搜索服务,方便国内外学者检索中英文文献。致力于提供最便捷和优质的服务体验。 Copyright © 2023 布克学术 All rights reserved.
京ICP备2023020795号-1
ghs 京公网安备 11010802042870号
Book学术文献互助
Book学术文献互助群
群 号:604180095
Book学术官方微信