Trypanosomosis by Trypanosoma (Megatrypanum) vivax in Ruminants in Brazil: Epidemiology, Clinical Signs, Pathology, Diagnosis, and Control.

IF 2.3 2区 农林科学 Q2 VETERINARY SCIENCES
Franklin Riet-Correa, Rodrigo Ferreira Krüger, Jose Augusto Bastos Afonso, João Alberto Negrão
{"title":"Trypanosomosis by <i>Trypanosoma</i> (<i>Megatrypanum</i>) <i>vivax</i> in Ruminants in Brazil: Epidemiology, Clinical Signs, Pathology, Diagnosis, and Control.","authors":"Franklin Riet-Correa, Rodrigo Ferreira Krüger, Jose Augusto Bastos Afonso, João Alberto Negrão","doi":"10.3390/vetsci12090882","DOIUrl":null,"url":null,"abstract":"<p><p>In Brazil, <i>Trypanosoma vivax</i> was identified between 1970 and 1984 in buffalo, cattle, and sheep in northern Brazil. In the 1990s, the disease was diagnosed in the Pantanal of Mato Grosso. Currently, the disease is considered in enzootic stability in both regions. From 2006 to 2018, outbreaks of the disease associated with the presence of horseflies (Tabanidae) and stable flies (<i>Stomoxys calcitrans</i>) or transmitted by needle and syringe reuse were diagnosed in sheep, goats, and cattle during the rainy season in the semiarid region of Northeast Brazil, a region considered to have enzootic instability. Since 2013, numerous outbreaks have been diagnosed associated with oxytocin inoculation to induce milk letdown in dairy cows. Most outbreaks occur in cattle transported from areas of enzootic instability to areas of stability, or vice versa. Serological, parasitological, and molecular techniques have identified <i>T. vivax</i> in asymptomatic animals in all Brazilian regions. For disease prophylaxis, it is important not to reuse syringes and needles when administering medication and to avoid transporting animals during periods of insect abundance. It is also necessary to avoid the use of oxytocin or adopt safe injection practices, using disposable or disinfected needles and syringes only for cows with ineffective milk ejection.</p>","PeriodicalId":23694,"journal":{"name":"Veterinary Sciences","volume":"12 9","pages":""},"PeriodicalIF":2.3000,"publicationDate":"2025-09-12","publicationTypes":"Journal Article","fieldsOfStudy":null,"isOpenAccess":false,"openAccessPdf":"https://www.ncbi.nlm.nih.gov/pmc/articles/PMC12474214/pdf/","citationCount":"0","resultStr":null,"platform":"Semanticscholar","paperid":null,"PeriodicalName":"Veterinary Sciences","FirstCategoryId":"97","ListUrlMain":"https://doi.org/10.3390/vetsci12090882","RegionNum":2,"RegionCategory":"农林科学","ArticlePicture":[],"TitleCN":null,"AbstractTextCN":null,"PMCID":null,"EPubDate":"","PubModel":"","JCR":"Q2","JCRName":"VETERINARY SCIENCES","Score":null,"Total":0}
引用次数: 0

Abstract

In Brazil, Trypanosoma vivax was identified between 1970 and 1984 in buffalo, cattle, and sheep in northern Brazil. In the 1990s, the disease was diagnosed in the Pantanal of Mato Grosso. Currently, the disease is considered in enzootic stability in both regions. From 2006 to 2018, outbreaks of the disease associated with the presence of horseflies (Tabanidae) and stable flies (Stomoxys calcitrans) or transmitted by needle and syringe reuse were diagnosed in sheep, goats, and cattle during the rainy season in the semiarid region of Northeast Brazil, a region considered to have enzootic instability. Since 2013, numerous outbreaks have been diagnosed associated with oxytocin inoculation to induce milk letdown in dairy cows. Most outbreaks occur in cattle transported from areas of enzootic instability to areas of stability, or vice versa. Serological, parasitological, and molecular techniques have identified T. vivax in asymptomatic animals in all Brazilian regions. For disease prophylaxis, it is important not to reuse syringes and needles when administering medication and to avoid transporting animals during periods of insect abundance. It is also necessary to avoid the use of oxytocin or adopt safe injection practices, using disposable or disinfected needles and syringes only for cows with ineffective milk ejection.

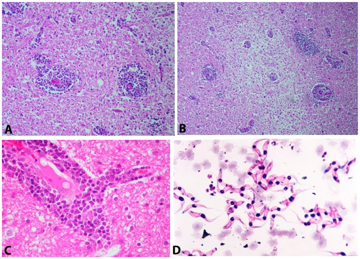
Abstract Image

Abstract Image

Abstract Image

巴西反刍动物中间日锥虫病:流行病学、临床症状、病理、诊断和控制。
在巴西,1970年至1984年在巴西北部的水牛、牛和羊中发现间日锥虫。在20世纪90年代,这种疾病在马托格罗索州的潘塔纳尔被诊断出来。目前,该疾病被认为在这两个地区具有地方性稳定。从2006年到2018年,在巴西东北部半干旱地区的绵羊、山羊和牛中发现了与马蝇(Tabanidae)和稳定蝇(Stomoxys calcitrans)存在或通过针头和注射器重复使用传播有关的疾病暴发,该地区被认为具有地方兽疫不稳定性。自2013年以来,许多疫情已被诊断与接种催产素导致奶牛减产有关。大多数疫情发生在从地方性动物疾病不稳定地区运往稳定地区的牛身上,反之亦然。血清学、寄生虫学和分子技术已在巴西所有地区无症状动物中发现间日疟原虫。对于疾病预防,重要的是在给药时不要重复使用注射器和针头,并避免在昆虫大量繁殖期间运送动物。也有必要避免使用催产素或采用安全注射方法,仅对排奶无效的奶牛使用一次性或消毒针头和注射器。
本文章由计算机程序翻译,如有差异,请以英文原文为准。
求助全文
约1分钟内获得全文 求助全文
来源期刊
Veterinary Sciences
Veterinary Sciences VETERINARY SCIENCES-
CiteScore
2.90
自引率
8.30%
发文量
612
审稿时长
6 weeks
期刊介绍: Veterinary Sciences is an international and interdisciplinary scholarly open access journal. It publishes original that are relevant to any field of veterinary sciences, including prevention, diagnosis and treatment of disease, disorder and injury in animals. This journal covers almost all topics related to animal health and veterinary medicine. Research fields of interest include but are not limited to: anaesthesiology anatomy bacteriology biochemistry cardiology dentistry dermatology embryology endocrinology epidemiology genetics histology immunology microbiology molecular biology mycology neurobiology oncology ophthalmology parasitology pathology pharmacology physiology radiology surgery theriogenology toxicology virology.
×
引用
GB/T 7714-2015
复制
MLA
复制
APA
复制
导出至
BibTeX EndNote RefMan NoteFirst NoteExpress
×
提示
您的信息不完整,为了账户安全,请先补充。
现在去补充
×
提示
您因"违规操作"
具体请查看互助需知
我知道了
×
提示
确定
请完成安全验证×
copy
已复制链接
快去分享给好友吧!
我知道了
右上角分享
点击右上角分享
0
联系我们:info@booksci.cn Book学术提供免费学术资源搜索服务,方便国内外学者检索中英文文献。致力于提供最便捷和优质的服务体验。 Copyright © 2023 布克学术 All rights reserved.
京ICP备2023020795号-1
ghs 京公网安备 11010802042870号
Book学术文献互助
Book学术文献互助群
群 号:604180095
Book学术官方微信