A Survey of the Reproductive Lesions in Captive Female Non-Human Primates in Italy.

IF 2.3 2区 农林科学 Q2 VETERINARY SCIENCES
Valentina Galietta, Cristiano Cocumelli, Raffaella Parmigiani, Emanuela Bovi, Tiziana Palmerini, Chiara Acri, Pilar Di Cerbo, Marco Aloisi, Antonella Cersini, Claudia Eleni
{"title":"A Survey of the Reproductive Lesions in Captive Female Non-Human Primates in Italy.","authors":"Valentina Galietta, Cristiano Cocumelli, Raffaella Parmigiani, Emanuela Bovi, Tiziana Palmerini, Chiara Acri, Pilar Di Cerbo, Marco Aloisi, Antonella Cersini, Claudia Eleni","doi":"10.3390/vetsci12090856","DOIUrl":null,"url":null,"abstract":"<p><p>Non-human primates (NHPs) are considered important models for the study of reproductive diseases, due to their anatomical and physiological similarities to humans. However, studies on spontaneous lesions of the reproductive system in NHPs housed in zoos remain limited compared to those in laboratory animals. In this study, we report a retrospective analysis of female reproductive pathologies in 103 necropsied non-human primates from Italian zoos between 2007 and 2024. Only adult, intact, non-pregnant females with macroscopically visible reproductive lesions were included. Histopathological examination revealed reproductive tract lesions in 15 individuals (14.6%), including both non-neoplastic (cystic endometrial hyperplasia, adenomyosis, endometriosis) and neoplastic (leiomyomas, cervical and ovarian adenocarcinomas, and metastatic tumors) conditions. Leiomyoma was the most common tumor, particularly in the genus <i>Macaca</i>, while rare malignant neoplasms and metastatic lesions were identified in the great apes and in the New World species. The results suggest an age-related degenerative component and highlight interspecific differences in the distribution of lesions, probably related to the reproductive physiology of the various species. These results underline the importance of systematic post-mortem surveillance to improve the management of reproductive health of these captive populations and provide comparative insights with humans.</p>","PeriodicalId":23694,"journal":{"name":"Veterinary Sciences","volume":"12 9","pages":""},"PeriodicalIF":2.3000,"publicationDate":"2025-09-04","publicationTypes":"Journal Article","fieldsOfStudy":null,"isOpenAccess":false,"openAccessPdf":"https://www.ncbi.nlm.nih.gov/pmc/articles/PMC12474333/pdf/","citationCount":"0","resultStr":null,"platform":"Semanticscholar","paperid":null,"PeriodicalName":"Veterinary Sciences","FirstCategoryId":"97","ListUrlMain":"https://doi.org/10.3390/vetsci12090856","RegionNum":2,"RegionCategory":"农林科学","ArticlePicture":[],"TitleCN":null,"AbstractTextCN":null,"PMCID":null,"EPubDate":"","PubModel":"","JCR":"Q2","JCRName":"VETERINARY SCIENCES","Score":null,"Total":0}
引用次数: 0

Abstract

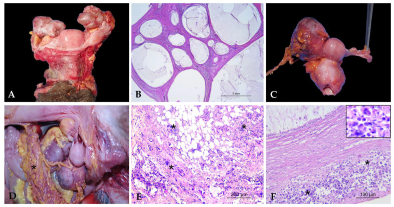
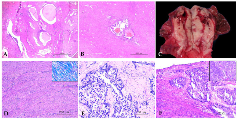
Non-human primates (NHPs) are considered important models for the study of reproductive diseases, due to their anatomical and physiological similarities to humans. However, studies on spontaneous lesions of the reproductive system in NHPs housed in zoos remain limited compared to those in laboratory animals. In this study, we report a retrospective analysis of female reproductive pathologies in 103 necropsied non-human primates from Italian zoos between 2007 and 2024. Only adult, intact, non-pregnant females with macroscopically visible reproductive lesions were included. Histopathological examination revealed reproductive tract lesions in 15 individuals (14.6%), including both non-neoplastic (cystic endometrial hyperplasia, adenomyosis, endometriosis) and neoplastic (leiomyomas, cervical and ovarian adenocarcinomas, and metastatic tumors) conditions. Leiomyoma was the most common tumor, particularly in the genus Macaca, while rare malignant neoplasms and metastatic lesions were identified in the great apes and in the New World species. The results suggest an age-related degenerative component and highlight interspecific differences in the distribution of lesions, probably related to the reproductive physiology of the various species. These results underline the importance of systematic post-mortem surveillance to improve the management of reproductive health of these captive populations and provide comparative insights with humans.

Abstract Image

Abstract Image

意大利圈养雌性非人灵长类动物生殖损伤调查。
非人灵长类动物(NHPs)被认为是研究生殖疾病的重要模型,因为它们在解剖和生理上与人类相似。然而,与实验动物相比,在动物园饲养的NHPs中对生殖系统自发损伤的研究仍然有限。在这项研究中,我们报告了对2007年至2024年间意大利动物园中103只死亡的非人灵长类动物的雌性生殖病理的回顾性分析。仅包括具有宏观可见生殖病变的成年、完整、未怀孕的雌性。组织病理学检查显示15例(14.6%)的生殖道病变,包括非肿瘤性(囊性子宫内膜增生、子宫腺肌症、子宫内膜异位症)和肿瘤性(平滑肌瘤、子宫颈和卵巢腺癌以及转移性肿瘤)。平滑肌瘤是最常见的肿瘤,特别是在猕猴属中,而在类人猿和新世界物种中发现了罕见的恶性肿瘤和转移性病变。结果表明与年龄相关的退化成分,并突出了病变分布的种间差异,可能与不同物种的生殖生理有关。这些结果强调了系统的死后监测对改善这些圈养种群的生殖健康管理的重要性,并提供了与人类比较的见解。
本文章由计算机程序翻译,如有差异,请以英文原文为准。
求助全文
约1分钟内获得全文 求助全文
来源期刊
Veterinary Sciences
Veterinary Sciences VETERINARY SCIENCES-
CiteScore
2.90
自引率
8.30%
发文量
612
审稿时长
6 weeks
期刊介绍: Veterinary Sciences is an international and interdisciplinary scholarly open access journal. It publishes original that are relevant to any field of veterinary sciences, including prevention, diagnosis and treatment of disease, disorder and injury in animals. This journal covers almost all topics related to animal health and veterinary medicine. Research fields of interest include but are not limited to: anaesthesiology anatomy bacteriology biochemistry cardiology dentistry dermatology embryology endocrinology epidemiology genetics histology immunology microbiology molecular biology mycology neurobiology oncology ophthalmology parasitology pathology pharmacology physiology radiology surgery theriogenology toxicology virology.
×
引用
GB/T 7714-2015
复制
MLA
复制
APA
复制
导出至
BibTeX EndNote RefMan NoteFirst NoteExpress
×
提示
您的信息不完整,为了账户安全,请先补充。
现在去补充
×
提示
您因"违规操作"
具体请查看互助需知
我知道了
×
提示
确定
请完成安全验证×
copy
已复制链接
快去分享给好友吧!
我知道了
右上角分享
点击右上角分享
0
联系我们:info@booksci.cn Book学术提供免费学术资源搜索服务,方便国内外学者检索中英文文献。致力于提供最便捷和优质的服务体验。 Copyright © 2023 布克学术 All rights reserved.
京ICP备2023020795号-1
ghs 京公网安备 11010802042870号
Book学术文献互助
Book学术文献互助群
群 号:604180095
Book学术官方微信