GUCY2D-Associated Retinopathy: A Comparative Study Between Humans and German Spitz Dogs.

IF 2.3 2区 农林科学 Q2 VETERINARY SCIENCES
Bianca L V Guareschi, Juliana M F Sallum, Mariana V Salles, João G O de Moraes, Mariza Bortolini, Carolyn Cray, Bret A Moore, Carolina C da Rosa, Fabiano Montiani-Ferreira
{"title":"<i>GUCY2D</i>-Associated Retinopathy: A Comparative Study Between Humans and German Spitz Dogs.","authors":"Bianca L V Guareschi, Juliana M F Sallum, Mariana V Salles, João G O de Moraes, Mariza Bortolini, Carolyn Cray, Bret A Moore, Carolina C da Rosa, Fabiano Montiani-Ferreira","doi":"10.3390/vetsci12090879","DOIUrl":null,"url":null,"abstract":"<p><p>The anatomical and physiological similarities between human and canine eyes suggest that dogs may serve as a valuable model for studying retinopathies and developing future gene therapies. This study aims to evaluate the similarities and differences between humans with <i>GUCY2D</i> gene variants causing Leber's congenital amaurosis (LCA) and a group of German Spitz dogs with hereditary retinopathy due to variants in the same gene, to assess their potential as an animal model for gene therapy research. A review of medical records, genetic testing, and ophthalmological examinations was conducted, including data such as age, genotyping, fundus photography, visual acuity (VA), fundus autofluorescence, optical coherence tomography (OCT), and electroretinography (ERG). Both groups presented subtle fundus abnormalities and severely reduced or absent ERG responses. In humans, OCT scans revealed decreased retinal thickness and structural alterations in the outer retinal layers. Similarly, the affected dogs exhibited focal neurosensory retinal detachments. The German Spitz model with <i>GUCY2D</i> variants shows significant parallels in retinal structure and functional impairment and may represent a promising candidate for preclinical gene therapy studies for LCA.</p>","PeriodicalId":23694,"journal":{"name":"Veterinary Sciences","volume":"12 9","pages":""},"PeriodicalIF":2.3000,"publicationDate":"2025-09-11","publicationTypes":"Journal Article","fieldsOfStudy":null,"isOpenAccess":false,"openAccessPdf":"https://www.ncbi.nlm.nih.gov/pmc/articles/PMC12474124/pdf/","citationCount":"0","resultStr":null,"platform":"Semanticscholar","paperid":null,"PeriodicalName":"Veterinary Sciences","FirstCategoryId":"97","ListUrlMain":"https://doi.org/10.3390/vetsci12090879","RegionNum":2,"RegionCategory":"农林科学","ArticlePicture":[],"TitleCN":null,"AbstractTextCN":null,"PMCID":null,"EPubDate":"","PubModel":"","JCR":"Q2","JCRName":"VETERINARY SCIENCES","Score":null,"Total":0}
引用次数: 0

Abstract

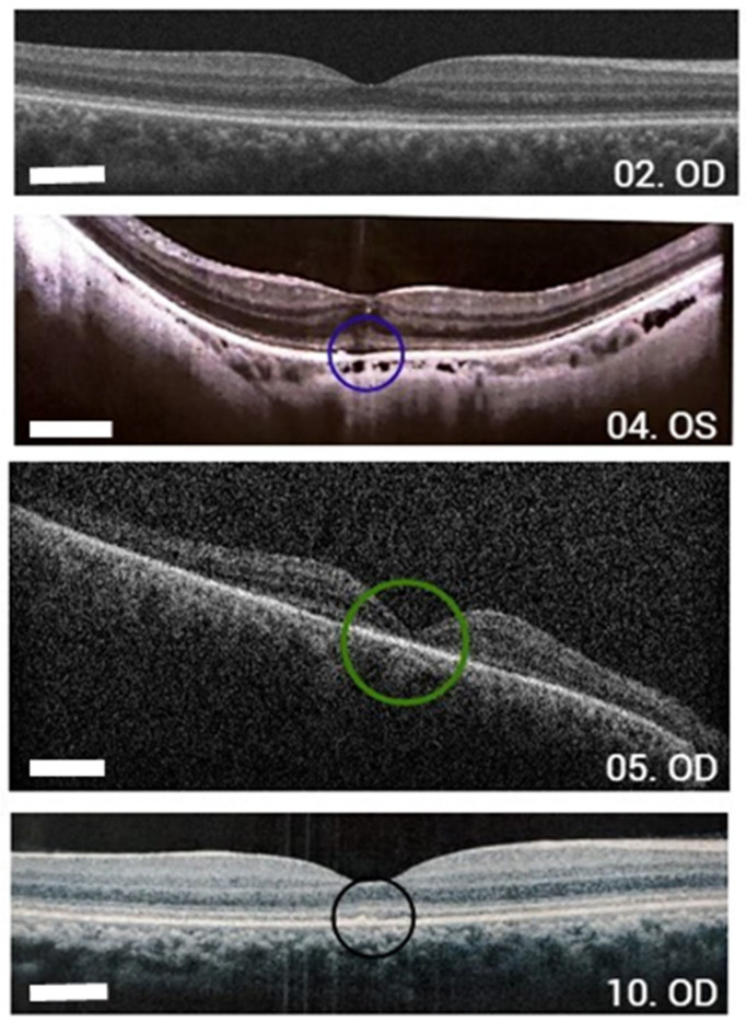
The anatomical and physiological similarities between human and canine eyes suggest that dogs may serve as a valuable model for studying retinopathies and developing future gene therapies. This study aims to evaluate the similarities and differences between humans with GUCY2D gene variants causing Leber's congenital amaurosis (LCA) and a group of German Spitz dogs with hereditary retinopathy due to variants in the same gene, to assess their potential as an animal model for gene therapy research. A review of medical records, genetic testing, and ophthalmological examinations was conducted, including data such as age, genotyping, fundus photography, visual acuity (VA), fundus autofluorescence, optical coherence tomography (OCT), and electroretinography (ERG). Both groups presented subtle fundus abnormalities and severely reduced or absent ERG responses. In humans, OCT scans revealed decreased retinal thickness and structural alterations in the outer retinal layers. Similarly, the affected dogs exhibited focal neurosensory retinal detachments. The German Spitz model with GUCY2D variants shows significant parallels in retinal structure and functional impairment and may represent a promising candidate for preclinical gene therapy studies for LCA.

Abstract Image

Abstract Image

Abstract Image

gucy2d相关视网膜病变:人类和德国斯皮兹犬的比较研究
人类和犬的眼睛在解剖学和生理学上的相似性表明,狗可以作为研究视网膜病变和开发未来基因治疗的有价值的模型。本研究旨在评估导致Leber’s congenital amaurosis (LCA)的GUCY2D基因变异人和一组由于同一基因变异而导致遗传性视网膜病变的德国斯皮兹犬之间的异同,以评估其作为基因治疗研究动物模型的潜力。对患者的医疗记录、基因检测和眼科检查进行了回顾,包括年龄、基因分型、眼底摄影、视力(VA)、眼底自身荧光、光学相干断层扫描(OCT)和视网膜电图(ERG)等数据。两组均出现轻微眼底异常,ERG反应严重降低或缺失。在人类中,OCT扫描显示视网膜厚度减少,视网膜外层结构改变。同样,受影响的狗表现出局灶性神经感觉视网膜脱离。GUCY2D变异的German Spitz模型在视网膜结构和功能损伤方面显示出显著的相似性,可能是LCA临床前基因治疗研究的一个有希望的候选者。
本文章由计算机程序翻译,如有差异,请以英文原文为准。
求助全文
约1分钟内获得全文 求助全文
来源期刊
Veterinary Sciences
Veterinary Sciences VETERINARY SCIENCES-
CiteScore
2.90
自引率
8.30%
发文量
612
审稿时长
6 weeks
期刊介绍: Veterinary Sciences is an international and interdisciplinary scholarly open access journal. It publishes original that are relevant to any field of veterinary sciences, including prevention, diagnosis and treatment of disease, disorder and injury in animals. This journal covers almost all topics related to animal health and veterinary medicine. Research fields of interest include but are not limited to: anaesthesiology anatomy bacteriology biochemistry cardiology dentistry dermatology embryology endocrinology epidemiology genetics histology immunology microbiology molecular biology mycology neurobiology oncology ophthalmology parasitology pathology pharmacology physiology radiology surgery theriogenology toxicology virology.
×
引用
GB/T 7714-2015
复制
MLA
复制
APA
复制
导出至
BibTeX EndNote RefMan NoteFirst NoteExpress
×
提示
您的信息不完整,为了账户安全,请先补充。
现在去补充
×
提示
您因"违规操作"
具体请查看互助需知
我知道了
×
提示
确定
请完成安全验证×
copy
已复制链接
快去分享给好友吧!
我知道了
右上角分享
点击右上角分享
0
联系我们:info@booksci.cn Book学术提供免费学术资源搜索服务,方便国内外学者检索中英文文献。致力于提供最便捷和优质的服务体验。 Copyright © 2023 布克学术 All rights reserved.
京ICP备2023020795号-1
ghs 京公网安备 11010802042870号
Book学术文献互助
Book学术文献互助群
群 号:604180095
Book学术官方微信