Tracheal diverticulum as a cause of ventilation failure after intubation: A case report and review of the literature.

IF 1.5 4区 医学 Q4 MEDICINE, RESEARCH & EXPERIMENTAL
Journal of International Medical Research Pub Date : 2025-09-01 Epub Date: 2025-09-26 DOI:10.1177/03000605251379521
Shanshan He, Bo Tao, Teng He
{"title":"Tracheal diverticulum as a cause of ventilation failure after intubation: A case report and review of the literature.","authors":"Shanshan He, Bo Tao, Teng He","doi":"10.1177/03000605251379521","DOIUrl":null,"url":null,"abstract":"<p><p>Tracheal diverticulum is a rare and easily overlooked complication following tracheoesophageal fistula repair that poses substantial challenges in airway management for anesthesiologists. We present a case of a 4-month-old girl with esophageal stenosis following tracheoesophageal fistula repair who was presented for repeated endoscopic balloon dilation. During the first two inductions of general anesthesia, endotracheal intubation appeared successful but resulted in unexpected ventilation failure. Successful ventilation was finally achieved after multiple attempts at intubation. Fiberoptic bronchoscopy revealed a tracheal diverticulum before the third induction of anesthesia, explaining the persistent ventilation difficulties. The patient was successfully managed with fiberoptic bronchoscopy-guided intubation while maintaining spontaneous respiration, allowing the endotracheal tube to bypass the diverticulum. This case highlights tracheal diverticulum as an uncommon cause of ineffective ventilation following intubation and suggests that fiberoptic bronchoscopy-guided intubation may be a preferable approach.</p>","PeriodicalId":16129,"journal":{"name":"Journal of International Medical Research","volume":"53 9","pages":"3000605251379521"},"PeriodicalIF":1.5000,"publicationDate":"2025-09-01","publicationTypes":"Journal Article","fieldsOfStudy":null,"isOpenAccess":false,"openAccessPdf":"https://www.ncbi.nlm.nih.gov/pmc/articles/PMC12475809/pdf/","citationCount":"0","resultStr":null,"platform":"Semanticscholar","paperid":null,"PeriodicalName":"Journal of International Medical Research","FirstCategoryId":"3","ListUrlMain":"https://doi.org/10.1177/03000605251379521","RegionNum":4,"RegionCategory":"医学","ArticlePicture":[],"TitleCN":null,"AbstractTextCN":null,"PMCID":null,"EPubDate":"2025/9/26 0:00:00","PubModel":"Epub","JCR":"Q4","JCRName":"MEDICINE, RESEARCH & EXPERIMENTAL","Score":null,"Total":0}
引用次数: 0

Abstract

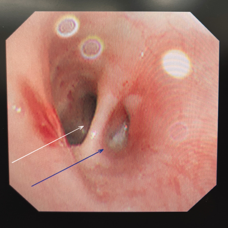
Tracheal diverticulum is a rare and easily overlooked complication following tracheoesophageal fistula repair that poses substantial challenges in airway management for anesthesiologists. We present a case of a 4-month-old girl with esophageal stenosis following tracheoesophageal fistula repair who was presented for repeated endoscopic balloon dilation. During the first two inductions of general anesthesia, endotracheal intubation appeared successful but resulted in unexpected ventilation failure. Successful ventilation was finally achieved after multiple attempts at intubation. Fiberoptic bronchoscopy revealed a tracheal diverticulum before the third induction of anesthesia, explaining the persistent ventilation difficulties. The patient was successfully managed with fiberoptic bronchoscopy-guided intubation while maintaining spontaneous respiration, allowing the endotracheal tube to bypass the diverticulum. This case highlights tracheal diverticulum as an uncommon cause of ineffective ventilation following intubation and suggests that fiberoptic bronchoscopy-guided intubation may be a preferable approach.

Abstract Image

Abstract Image

Abstract Image

气管憩室作为气管插管后通气失败的原因:1例报告及文献复习。
气管憩室是气管食管瘘修复术后一种罕见且容易被忽视的并发症,对麻醉医师的气道管理提出了重大挑战。我们提出一个病例4个月大的女孩食管狭窄气管食管瘘修复后提出了反复内镜球囊扩张。在前两次全麻诱导中,气管插管看似成功,但却导致意外的通气失败。经过多次插管尝试,最终成功通气。纤维支气管镜检查显示气管憩室前第三诱导麻醉,解释持续通气困难。患者在纤维支气管镜引导下插管成功,同时保持自主呼吸,使气管内管绕过憩室。本病例强调气管憩室是插管后通气无效的罕见原因,并提示纤维支气管镜引导下插管可能是一种较好的方法。
本文章由计算机程序翻译,如有差异,请以英文原文为准。
求助全文
约1分钟内获得全文 求助全文
来源期刊
CiteScore
3.20
自引率
0.00%
发文量
555
审稿时长
1 months
期刊介绍: _Journal of International Medical Research_ is a leading international journal for rapid publication of original medical, pre-clinical and clinical research, reviews, preliminary and pilot studies on a page charge basis. As a service to authors, every article accepted by peer review will be given a full technical edit to make papers as accessible and readable to the international medical community as rapidly as possible. Once the technical edit queries have been answered to the satisfaction of the journal, the paper will be published and made available freely to everyone under a creative commons licence. Symposium proceedings, summaries of presentations or collections of medical, pre-clinical or clinical data on a specific topic are welcome for publication as supplements. Print ISSN: 0300-0605
×
引用
GB/T 7714-2015
复制
MLA
复制
APA
复制
导出至
BibTeX EndNote RefMan NoteFirst NoteExpress
×
提示
您的信息不完整,为了账户安全,请先补充。
现在去补充
×
提示
您因"违规操作"
具体请查看互助需知
我知道了
×
提示
确定
请完成安全验证×
copy
已复制链接
快去分享给好友吧!
我知道了
右上角分享
点击右上角分享
0
联系我们:info@booksci.cn Book学术提供免费学术资源搜索服务,方便国内外学者检索中英文文献。致力于提供最便捷和优质的服务体验。 Copyright © 2023 布克学术 All rights reserved.
京ICP备2023020795号-1
ghs 京公网安备 11010802042870号
Book学术文献互助
Book学术文献互助群
群 号:604180095
Book学术官方微信