Parvovirus B19-induced aplastic anemia following mechanical valve replacement.

IF 1.5 4区 医学 Q4 MEDICINE, RESEARCH & EXPERIMENTAL
Journal of International Medical Research Pub Date : 2025-09-01 Epub Date: 2025-09-25 DOI:10.1177/03000605251377626
Xiantao Ma, Ningxin Hou, Chenhe Li, Yi Feng, Xiaoxue Zhang, Shiliang Li, Cai Cheng
{"title":"Parvovirus B19-induced aplastic anemia following mechanical valve replacement.","authors":"Xiantao Ma, Ningxin Hou, Chenhe Li, Yi Feng, Xiaoxue Zhang, Shiliang Li, Cai Cheng","doi":"10.1177/03000605251377626","DOIUrl":null,"url":null,"abstract":"<p><p>Human parvovirus B19 infection in immunocompetent adults predominantly manifests as arthropathy or erythema infectiosum, with transient aplastic crisis being a rare hematological complication. We report a diagnostically challenging case of a man in his late 40s who developed recurrent severe aplastic anemia following mechanical valve replacement. Notably, the patient presented with progressive pancytopenia despite optimal anticoagulation and normally functioning prosthetic valves on serial echocardiograms. Critical diagnostic differentiation was achieved through comprehensive laboratory evaluation; elevated lactate dehydrogenase (232.00 U/L) and undetectable haptoglobin levels initially suggested mechanical hemolysis. However, suppressed reticulocyte production index (0.002) and the presence of human parvovirus B19 (DNA) confirmed virus-mediated marrow suppression. The absence of schistocytes on peripheral smear and stable hemoglobinuria levels further excluded prosthetic valve-related hemolysis. To the best of our knowledge, this study represents the first documented case of human parvovirus B19-induced aplastic anemia in a postcardiotomy patient with confirmed valve competence, highlighting three key clinical imperatives: 1. Human parvovirus B19 should be included in the differential diagnosis of postoperative pancytopenia regardless of immune status; 2. disproportionate reticulocytopenia with normal hemolysis markers may indicate viral marrow infiltration; and 3. serial echocardiographic surveillance cannot fully exclude subclinical hemolysis, necessitating multimodal laboratory correlation.</p>","PeriodicalId":16129,"journal":{"name":"Journal of International Medical Research","volume":"53 9","pages":"3000605251377626"},"PeriodicalIF":1.5000,"publicationDate":"2025-09-01","publicationTypes":"Journal Article","fieldsOfStudy":null,"isOpenAccess":false,"openAccessPdf":"https://www.ncbi.nlm.nih.gov/pmc/articles/PMC12464380/pdf/","citationCount":"0","resultStr":null,"platform":"Semanticscholar","paperid":null,"PeriodicalName":"Journal of International Medical Research","FirstCategoryId":"3","ListUrlMain":"https://doi.org/10.1177/03000605251377626","RegionNum":4,"RegionCategory":"医学","ArticlePicture":[],"TitleCN":null,"AbstractTextCN":null,"PMCID":null,"EPubDate":"2025/9/25 0:00:00","PubModel":"Epub","JCR":"Q4","JCRName":"MEDICINE, RESEARCH & EXPERIMENTAL","Score":null,"Total":0}
引用次数: 0

Abstract

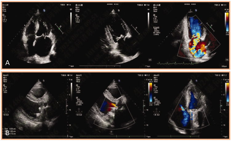
Human parvovirus B19 infection in immunocompetent adults predominantly manifests as arthropathy or erythema infectiosum, with transient aplastic crisis being a rare hematological complication. We report a diagnostically challenging case of a man in his late 40s who developed recurrent severe aplastic anemia following mechanical valve replacement. Notably, the patient presented with progressive pancytopenia despite optimal anticoagulation and normally functioning prosthetic valves on serial echocardiograms. Critical diagnostic differentiation was achieved through comprehensive laboratory evaluation; elevated lactate dehydrogenase (232.00 U/L) and undetectable haptoglobin levels initially suggested mechanical hemolysis. However, suppressed reticulocyte production index (0.002) and the presence of human parvovirus B19 (DNA) confirmed virus-mediated marrow suppression. The absence of schistocytes on peripheral smear and stable hemoglobinuria levels further excluded prosthetic valve-related hemolysis. To the best of our knowledge, this study represents the first documented case of human parvovirus B19-induced aplastic anemia in a postcardiotomy patient with confirmed valve competence, highlighting three key clinical imperatives: 1. Human parvovirus B19 should be included in the differential diagnosis of postoperative pancytopenia regardless of immune status; 2. disproportionate reticulocytopenia with normal hemolysis markers may indicate viral marrow infiltration; and 3. serial echocardiographic surveillance cannot fully exclude subclinical hemolysis, necessitating multimodal laboratory correlation.

Abstract Image

Abstract Image

Abstract Image

机械瓣膜置换术后细小病毒b19诱导再生障碍性贫血。
人细小病毒B19感染在免疫正常的成年人中主要表现为关节病或感染性红斑,短暂的再生危象是一种罕见的血液学并发症。我们报告一个诊断具有挑战性的情况下,在他的40多岁的男子谁发展了反复严重再生障碍性贫血后,机械瓣膜置换术。值得注意的是,患者表现为进行性全血细胞减少症,尽管在一系列超声心动图上有最佳抗凝和正常功能的人工瓣膜。通过综合实验室评价实现关键诊断鉴别;乳酸脱氢酶升高(232.00 U/L)和触珠蛋白未检测到,最初提示机械性溶血。然而,网状红细胞生成指数(0.002)和人细小病毒B19 (DNA)的存在证实了病毒介导的骨髓抑制。外周涂片上没有血吸虫细胞和稳定的血红蛋白尿水平进一步排除了人工瓣膜相关溶血。据我们所知,这项研究是第一例记录的人类细小病毒b19在心脏切开术后确认瓣膜功能的患者中诱发再生障碍性贫血的病例,突出了三个关键的临床要求:1。人细小病毒B19应纳入术后全血细胞减少症的鉴别诊断,无论免疫状态如何;2. 不成比例的网状红细胞减少伴正常溶血标志物可能提示病毒骨髓浸润;和3。连续超声心动图监测不能完全排除亚临床溶血,需要多模式实验室关联。
本文章由计算机程序翻译,如有差异,请以英文原文为准。
求助全文
约1分钟内获得全文 求助全文
来源期刊
CiteScore
3.20
自引率
0.00%
发文量
555
审稿时长
1 months
期刊介绍: _Journal of International Medical Research_ is a leading international journal for rapid publication of original medical, pre-clinical and clinical research, reviews, preliminary and pilot studies on a page charge basis. As a service to authors, every article accepted by peer review will be given a full technical edit to make papers as accessible and readable to the international medical community as rapidly as possible. Once the technical edit queries have been answered to the satisfaction of the journal, the paper will be published and made available freely to everyone under a creative commons licence. Symposium proceedings, summaries of presentations or collections of medical, pre-clinical or clinical data on a specific topic are welcome for publication as supplements. Print ISSN: 0300-0605
×
引用
GB/T 7714-2015
复制
MLA
复制
APA
复制
导出至
BibTeX EndNote RefMan NoteFirst NoteExpress
×
提示
您的信息不完整,为了账户安全,请先补充。
现在去补充
×
提示
您因"违规操作"
具体请查看互助需知
我知道了
×
提示
确定
请完成安全验证×
copy
已复制链接
快去分享给好友吧!
我知道了
右上角分享
点击右上角分享
0
联系我们:info@booksci.cn Book学术提供免费学术资源搜索服务,方便国内外学者检索中英文文献。致力于提供最便捷和优质的服务体验。 Copyright © 2023 布克学术 All rights reserved.
京ICP备2023020795号-1
ghs 京公网安备 11010802042870号
Book学术文献互助
Book学术文献互助群
群 号:604180095
Book学术官方微信