Clinical efficacy of percutaneous intramedullary aspiration, irrigation, and injection of absorbable bone in pediatric simple bone cyst.

IF 2 3区 医学 Q2 PEDIATRICS
Frontiers in Pediatrics Pub Date : 2025-09-10 eCollection Date: 2025-01-01 DOI:10.3389/fped.2025.1672550
Gang Xu, Wei Sun, Shiquan Zhang, Wei Li
{"title":"Clinical efficacy of percutaneous intramedullary aspiration, irrigation, and injection of absorbable bone in pediatric simple bone cyst.","authors":"Gang Xu, Wei Sun, Shiquan Zhang, Wei Li","doi":"10.3389/fped.2025.1672550","DOIUrl":null,"url":null,"abstract":"<p><strong>Background: </strong>Simple bone cysts (SBCs) are common benign bone lesions that primarily affect the long bones of children and adolescents. Due to their tendency to recur and their potential to cause pathological fractures, a range of treatment strategies has been investigated. This study evaluates the clinical efficacy of percutaneous intramedullary aspiration, irrigation, and injection of absorbable bone (PAIB) in the treatment of pediatric SBCs.</p><p><strong>Methods: </strong>All patients underwent the PAIB procedure. Postoperative evaluation involved radiographic assessment to monitor recurrence and identify potential complications, with magnetic resonance imaging (MRI) performed when clinically indicated.</p><p><strong>Results: </strong>In this cohort of 36 patients with SBC treated using the PAIB technique, the mean follow-up duration was 33.5 months (range: 12-66 months). Recurrence occurred in 6 patients (16.6%), including one case complicated by a pathological fracture. Five of the recurrent cases underwent repeat PAIB procedures, resulting in complete resolution in two patients. Postoperative imaging revealed small residual cysts in three cases. Bone healing was successfully achieved in 32 patients. Graft bone exudation, identified as a potential risk factor for recurrence, was observed in seven patients. All patients exhibited satisfactory functional outcomes throughout the follow-up period.</p><p><strong>Conclusion: </strong>PAIB appears to be a safe, effective, and minimally invasive treatment option for the management of pediatric simple bone cysts.</p>","PeriodicalId":12637,"journal":{"name":"Frontiers in Pediatrics","volume":"13 ","pages":"1672550"},"PeriodicalIF":2.0000,"publicationDate":"2025-09-10","publicationTypes":"Journal Article","fieldsOfStudy":null,"isOpenAccess":false,"openAccessPdf":"https://www.ncbi.nlm.nih.gov/pmc/articles/PMC12457316/pdf/","citationCount":"0","resultStr":null,"platform":"Semanticscholar","paperid":null,"PeriodicalName":"Frontiers in Pediatrics","FirstCategoryId":"3","ListUrlMain":"https://doi.org/10.3389/fped.2025.1672550","RegionNum":3,"RegionCategory":"医学","ArticlePicture":[],"TitleCN":null,"AbstractTextCN":null,"PMCID":null,"EPubDate":"2025/1/1 0:00:00","PubModel":"eCollection","JCR":"Q2","JCRName":"PEDIATRICS","Score":null,"Total":0}
引用次数: 0

Abstract

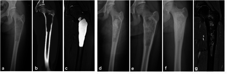
Background: Simple bone cysts (SBCs) are common benign bone lesions that primarily affect the long bones of children and adolescents. Due to their tendency to recur and their potential to cause pathological fractures, a range of treatment strategies has been investigated. This study evaluates the clinical efficacy of percutaneous intramedullary aspiration, irrigation, and injection of absorbable bone (PAIB) in the treatment of pediatric SBCs.

Methods: All patients underwent the PAIB procedure. Postoperative evaluation involved radiographic assessment to monitor recurrence and identify potential complications, with magnetic resonance imaging (MRI) performed when clinically indicated.

Results: In this cohort of 36 patients with SBC treated using the PAIB technique, the mean follow-up duration was 33.5 months (range: 12-66 months). Recurrence occurred in 6 patients (16.6%), including one case complicated by a pathological fracture. Five of the recurrent cases underwent repeat PAIB procedures, resulting in complete resolution in two patients. Postoperative imaging revealed small residual cysts in three cases. Bone healing was successfully achieved in 32 patients. Graft bone exudation, identified as a potential risk factor for recurrence, was observed in seven patients. All patients exhibited satisfactory functional outcomes throughout the follow-up period.

Conclusion: PAIB appears to be a safe, effective, and minimally invasive treatment option for the management of pediatric simple bone cysts.

Abstract Image

Abstract Image

Abstract Image

经皮髓内抽吸、冲洗、注射可吸收骨治疗小儿单纯性骨囊肿的临床疗效观察。
背景:单纯性骨囊肿(sbc)是一种常见的良性骨病变,主要影响儿童和青少年的长骨。由于它们的复发倾向和可能导致病理性骨折,一系列的治疗策略已经被研究。本研究评价经皮髓内抽吸、冲洗、注射可吸收骨(PAIB)治疗小儿sbc的临床疗效。方法:所有患者均行PAIB手术。术后评估包括影像学评估,以监测复发和识别潜在的并发症,并在临床指征时进行磁共振成像(MRI)。结果:在36例使用PAIB技术治疗的SBC患者中,平均随访时间为33.5个月(范围:12-66个月)。复发6例(16.6%),其中1例合并病理性骨折。5例复发病例接受了重复的PAIB手术,2例患者完全痊愈。术后影像学显示3例小囊肿残留。32例成功实现骨愈合。移植骨渗出被认为是复发的潜在危险因素,在7例患者中被观察到。所有患者在随访期间均表现出满意的功能结果。结论:PAIB是一种安全、有效、微创的治疗小儿单纯性骨囊肿的方法。
本文章由计算机程序翻译,如有差异,请以英文原文为准。
求助全文
约1分钟内获得全文 求助全文
来源期刊
Frontiers in Pediatrics
Frontiers in Pediatrics Medicine-Pediatrics, Perinatology and Child Health
CiteScore
3.60
自引率
7.70%
发文量
2132
审稿时长
14 weeks
期刊介绍: Frontiers in Pediatrics (Impact Factor 2.33) publishes rigorously peer-reviewed research broadly across the field, from basic to clinical research that meets ongoing challenges in pediatric patient care and child health. Field Chief Editors Arjan Te Pas at Leiden University and Michael L. Moritz at the Children''s Hospital of Pittsburgh are supported by an outstanding Editorial Board of international experts. This multidisciplinary open-access journal is at the forefront of disseminating and communicating scientific knowledge and impactful discoveries to researchers, academics, clinicians and the public worldwide. Frontiers in Pediatrics also features Research Topics, Frontiers special theme-focused issues managed by Guest Associate Editors, addressing important areas in pediatrics. In this fashion, Frontiers serves as an outlet to publish the broadest aspects of pediatrics in both basic and clinical research, including high-quality reviews, case reports, editorials and commentaries related to all aspects of pediatrics.
×
引用
GB/T 7714-2015
复制
MLA
复制
APA
复制
导出至
BibTeX EndNote RefMan NoteFirst NoteExpress
×
提示
您的信息不完整,为了账户安全,请先补充。
现在去补充
×
提示
您因"违规操作"
具体请查看互助需知
我知道了
×
提示
确定
请完成安全验证×
copy
已复制链接
快去分享给好友吧!
我知道了
右上角分享
点击右上角分享
0
联系我们:info@booksci.cn Book学术提供免费学术资源搜索服务,方便国内外学者检索中英文文献。致力于提供最便捷和优质的服务体验。 Copyright © 2023 布克学术 All rights reserved.
京ICP备2023020795号-1
ghs 京公网安备 11010802042870号
Book学术文献互助
Book学术文献互助群
群 号:604180095
Book学术官方微信