Morphological changes in fibrous tissue of rat myocardium after administration of dispersed allogeneic biomaterial.

IF 1.1 4区 农林科学 Q3 ZOOLOGY
Veterinary Research Forum Pub Date : 2025-01-01 Epub Date: 2025-07-15 DOI:10.30466/vrf.2024.2035761.4367
Lebedeva Anna Ivanovna, Musina Lyalya Akhiyarovna, Prusakov Alexey Viktorovich, Vladimir Sergeevich Ponamarev
{"title":"Morphological changes in fibrous tissue of rat myocardium after administration of dispersed allogeneic biomaterial.","authors":"Lebedeva Anna Ivanovna, Musina Lyalya Akhiyarovna, Prusakov Alexey Viktorovich, Vladimir Sergeevich Ponamarev","doi":"10.30466/vrf.2024.2035761.4367","DOIUrl":null,"url":null,"abstract":"<p><p>To improve the structure of the heart muscle after myocardial infarction, methods of regenerative medicine are used. One of the promising areas is the intra-myocardial administration of acellular allogeneic biomaterial (AB). The AB stimulates the regeneration of organs and tissues. But, the effect of AB on the myocardium after its fibrous ischemic degeneration has not been assessed. The aim of the study was to assess the morphological structure of the heart after cryodestruction in the late period and the use of AB. Chronic myocardial infarction was modeled in 80 male rats. To simulate chronic myocardial infarction and fibrosis formation, contact cryodestruction was performed. After 45 days, during repeated thoracotomy in the main group, AB suspension was injected into the area of the cryogenic myocardial scar. Six injections of 0.50 mg of dry substance were administered. In the control group, physiological solution was injected. After AB administration, following 7, 14, 30, and 45 days, the animals were withdrawn from the experiment, and the hearts were excised for histological and immunohistochemical studies. The AB underwent gradual phagocytosis by macrophages and gradually replaced by loose fibrous connective tissue with the presence of cardiac troponin I<sup>+</sup> labeled muscle cells, which over time underwent hypertrophy. Cardiomyocytes were grouped in the AB implantation zone as separate clusters. The heart mass did not change in both experimental groups. The use of AB in the area of the formed cryogenic myocardial scar promoted the transformation of dense fibrous connective tissue into loose tissue and its replacement with cardiac muscle tissue.</p>","PeriodicalId":23989,"journal":{"name":"Veterinary Research Forum","volume":"16 7","pages":"381-386"},"PeriodicalIF":1.1000,"publicationDate":"2025-01-01","publicationTypes":"Journal Article","fieldsOfStudy":null,"isOpenAccess":false,"openAccessPdf":"https://www.ncbi.nlm.nih.gov/pmc/articles/PMC12456680/pdf/","citationCount":"0","resultStr":null,"platform":"Semanticscholar","paperid":null,"PeriodicalName":"Veterinary Research Forum","FirstCategoryId":"97","ListUrlMain":"https://doi.org/10.30466/vrf.2024.2035761.4367","RegionNum":4,"RegionCategory":"农林科学","ArticlePicture":[],"TitleCN":null,"AbstractTextCN":null,"PMCID":null,"EPubDate":"2025/7/15 0:00:00","PubModel":"Epub","JCR":"Q3","JCRName":"ZOOLOGY","Score":null,"Total":0}
引用次数: 0

Abstract

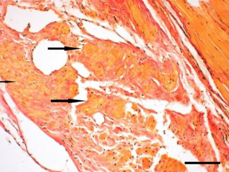
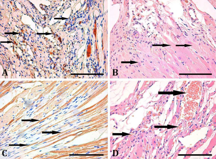
To improve the structure of the heart muscle after myocardial infarction, methods of regenerative medicine are used. One of the promising areas is the intra-myocardial administration of acellular allogeneic biomaterial (AB). The AB stimulates the regeneration of organs and tissues. But, the effect of AB on the myocardium after its fibrous ischemic degeneration has not been assessed. The aim of the study was to assess the morphological structure of the heart after cryodestruction in the late period and the use of AB. Chronic myocardial infarction was modeled in 80 male rats. To simulate chronic myocardial infarction and fibrosis formation, contact cryodestruction was performed. After 45 days, during repeated thoracotomy in the main group, AB suspension was injected into the area of the cryogenic myocardial scar. Six injections of 0.50 mg of dry substance were administered. In the control group, physiological solution was injected. After AB administration, following 7, 14, 30, and 45 days, the animals were withdrawn from the experiment, and the hearts were excised for histological and immunohistochemical studies. The AB underwent gradual phagocytosis by macrophages and gradually replaced by loose fibrous connective tissue with the presence of cardiac troponin I+ labeled muscle cells, which over time underwent hypertrophy. Cardiomyocytes were grouped in the AB implantation zone as separate clusters. The heart mass did not change in both experimental groups. The use of AB in the area of the formed cryogenic myocardial scar promoted the transformation of dense fibrous connective tissue into loose tissue and its replacement with cardiac muscle tissue.

Abstract Image

Abstract Image

Abstract Image

分散异体生物材料对大鼠心肌纤维组织形态学的影响。
为了改善心肌梗死后心肌的结构,采用了再生医学的方法。其中一个有前景的领域是脱细胞异体生物材料(AB)的心肌内给药。AB能刺激器官和组织的再生。但是,AB对心肌纤维性缺血变性后的影响尚未见报道。以80只雄性大鼠慢性心肌梗死模型为研究对象,观察心肌在冷冻破坏后期和使用AB后的形态结构变化。为了模拟慢性心肌梗死和纤维化的形成,采用接触冷冻破坏。45 d后,在主组反复开胸时,在低温心肌瘢痕部位注射AB悬液。给药6次,每次0.50 mg干物质。对照组注射生理液。给药7、14、30和45 d后,动物退出实验,切除心脏进行组织学和免疫组织化学研究。AB逐渐被巨噬细胞吞噬,并逐渐被疏松的纤维结缔组织所取代,并伴有心肌肌钙蛋白I+标记的肌肉细胞,随着时间的推移,肌肉细胞发生肥大。心肌细胞在AB植入区作为单独的簇进行分组。两个实验组的心脏质量没有变化。在形成的低温心肌瘢痕区域使用AB,促进致密纤维结缔组织向疏松组织转化,并向心肌组织替代。
本文章由计算机程序翻译,如有差异,请以英文原文为准。
求助全文
约1分钟内获得全文 求助全文
来源期刊
Veterinary Research Forum
Veterinary Research Forum Veterinary-General Veterinary
CiteScore
1.50
自引率
0.00%
发文量
0
审稿时长
8 weeks
期刊介绍: Veterinary Research Forum (VRF) is a quarterly international journal committed to publish worldwide contributions on all aspects of veterinary science and medicine, including anatomy and histology, physiology and pharmacology, anatomic and clinical pathology, parasitology, microbiology, immunology and epidemiology, food hygiene, poultry science, fish and aquaculture, anesthesia and surgery, large and small animal internal medicine, large and small animal reproduction, biotechnology and diagnostic imaging of domestic, companion and farm animals.
×
引用
GB/T 7714-2015
复制
MLA
复制
APA
复制
导出至
BibTeX EndNote RefMan NoteFirst NoteExpress
×
提示
您的信息不完整,为了账户安全,请先补充。
现在去补充
×
提示
您因"违规操作"
具体请查看互助需知
我知道了
×
提示
确定
请完成安全验证×
copy
已复制链接
快去分享给好友吧!
我知道了
右上角分享
点击右上角分享
0
联系我们:info@booksci.cn Book学术提供免费学术资源搜索服务,方便国内外学者检索中英文文献。致力于提供最便捷和优质的服务体验。 Copyright © 2023 布克学术 All rights reserved.
京ICP备2023020795号-1
ghs 京公网安备 11010802042870号
Book学术文献互助
Book学术文献互助群
群 号:604180095
Book学术官方微信