Bone marrow oedema of the sacroiliac joint without spondyloarthritis: a retrospective study of 34 cases of osteitis condensans ilii.

IF 2.1 Q3 RHEUMATOLOGY
Rheumatology Advances in Practice Pub Date : 2025-09-16 eCollection Date: 2025-01-01 DOI:10.1093/rap/rkaf108
Sabine Guehery, Julian Plenard, François Lafourcade, Franck Lapegue, Laurent Zabraniecki, Arnaud Constantin, Nicolas Sans, Adeline Ruyssen Witrand, Marie Faruch Bilfeld
{"title":"Bone marrow oedema of the sacroiliac joint without spondyloarthritis: a retrospective study of 34 cases of osteitis condensans ilii.","authors":"Sabine Guehery, Julian Plenard, François Lafourcade, Franck Lapegue, Laurent Zabraniecki, Arnaud Constantin, Nicolas Sans, Adeline Ruyssen Witrand, Marie Faruch Bilfeld","doi":"10.1093/rap/rkaf108","DOIUrl":null,"url":null,"abstract":"<p><strong>Objective: </strong>To determine the prevalence of bone marrow oedema (BME) in osteitis condensans ilii (OCI) on MRI of the sacroiliac joint (SIJ). Secondary objectives include comparisons of socio-demographic characteristics, prevalence of other imaging features (MRI, CT scan), and low back pain in patients with OCI with those in a sex- and age-matched control group.</p><p><strong>Methods: </strong>A total of 34 patients with OCI, including 29 with MRI, were recruited for retrospective analysis. The SIJ MRIs were retrospectively analysed by two readers. A sex- and age-matched control group of patients without SIJ disorders was included. In both groups, the presence of structural bone abnormalities was assessed by CT scan analysis, and socio-demographic data were obtained by telephone questionnaire. A longitudinal analysis was conducted on patients who had undergone multiple imaging examinations.</p><p><strong>Results: </strong>All patients were female with a mean age of 34 years. BME was observed in 66% (19/29) of OCI patients. BME in OCI was mainly located in the anterior-middle quadrant (43.48%). OCI patients had significantly more than one delivery (<i>P</i> = 0.0094, McNemar test), even if OCI was found in four nulliparous patients (15%). OCI patients experienced significantly more pain (<i>P</i> = 0.0026, McNemar test).</p><p><strong>Conclusion: </strong>OCI is an entity found in both pregnant and non-pregnant young women. SIJ BME was found in two-thirds of OCI patients. OCI is a significant cause of BME and should be carefully considered by clinicians when dealing with a patient with low back pain in order to avoid misdiagnosing spondyloarthritis in the presence of BME of the SIJ.</p>","PeriodicalId":21350,"journal":{"name":"Rheumatology Advances in Practice","volume":"9 4","pages":"rkaf108"},"PeriodicalIF":2.1000,"publicationDate":"2025-09-16","publicationTypes":"Journal Article","fieldsOfStudy":null,"isOpenAccess":false,"openAccessPdf":"https://www.ncbi.nlm.nih.gov/pmc/articles/PMC12456274/pdf/","citationCount":"0","resultStr":null,"platform":"Semanticscholar","paperid":null,"PeriodicalName":"Rheumatology Advances in Practice","FirstCategoryId":"1085","ListUrlMain":"https://doi.org/10.1093/rap/rkaf108","RegionNum":0,"RegionCategory":null,"ArticlePicture":[],"TitleCN":null,"AbstractTextCN":null,"PMCID":null,"EPubDate":"2025/1/1 0:00:00","PubModel":"eCollection","JCR":"Q3","JCRName":"RHEUMATOLOGY","Score":null,"Total":0}
引用次数: 0

Abstract

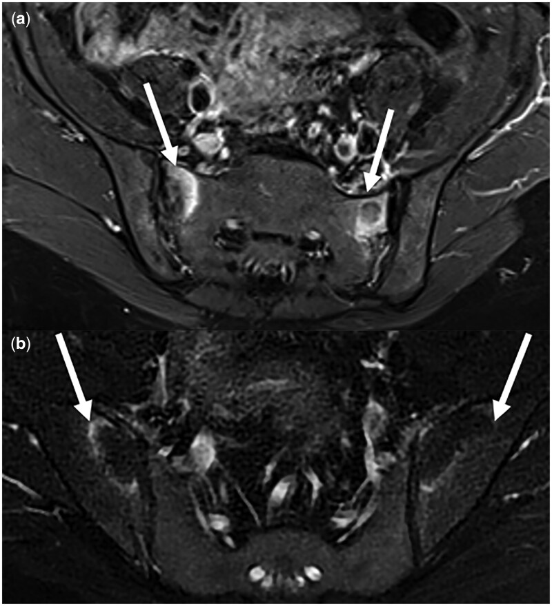
Objective: To determine the prevalence of bone marrow oedema (BME) in osteitis condensans ilii (OCI) on MRI of the sacroiliac joint (SIJ). Secondary objectives include comparisons of socio-demographic characteristics, prevalence of other imaging features (MRI, CT scan), and low back pain in patients with OCI with those in a sex- and age-matched control group.

Methods: A total of 34 patients with OCI, including 29 with MRI, were recruited for retrospective analysis. The SIJ MRIs were retrospectively analysed by two readers. A sex- and age-matched control group of patients without SIJ disorders was included. In both groups, the presence of structural bone abnormalities was assessed by CT scan analysis, and socio-demographic data were obtained by telephone questionnaire. A longitudinal analysis was conducted on patients who had undergone multiple imaging examinations.

Results: All patients were female with a mean age of 34 years. BME was observed in 66% (19/29) of OCI patients. BME in OCI was mainly located in the anterior-middle quadrant (43.48%). OCI patients had significantly more than one delivery (P = 0.0094, McNemar test), even if OCI was found in four nulliparous patients (15%). OCI patients experienced significantly more pain (P = 0.0026, McNemar test).

Conclusion: OCI is an entity found in both pregnant and non-pregnant young women. SIJ BME was found in two-thirds of OCI patients. OCI is a significant cause of BME and should be carefully considered by clinicians when dealing with a patient with low back pain in order to avoid misdiagnosing spondyloarthritis in the presence of BME of the SIJ.

Abstract Image

Abstract Image

Abstract Image

无脊柱关节炎的骶髂关节骨髓水肿:34例髂凝性骨炎的回顾性研究。
目的:通过骶髂关节(SIJ) MRI检查,了解髂凝骨性炎(OCI)患者骨髓水肿(BME)的发生率。次要目的包括比较OCI患者与性别和年龄匹配对照组的社会人口统计学特征、其他影像学特征(MRI、CT扫描)的患病率和腰痛。方法:对34例OCI患者进行回顾性分析,其中29例行MRI检查。两位读者回顾性分析了SIJ核磁共振成像。一个性别和年龄相匹配的无SIJ障碍患者的对照组被纳入。在两组中,通过CT扫描分析评估骨结构异常的存在,并通过电话问卷调查获得社会人口学数据。对接受多次影像学检查的患者进行纵向分析。结果:所有患者均为女性,平均年龄34岁。66%(19/29)的OCI患者出现BME。OCI的BME主要位于前中象限(43.48%)。即使在4例(15%)未产患者中发现了OCI, OCI患者也有明显多于一次分娩(P = 0.0094, McNemar检验)。OCI患者疼痛明显加重(P = 0.0026, McNemar检验)。结论:OCI在年轻孕妇和非孕妇中均存在。在三分之二的OCI患者中发现SIJ BME。OCI是BME的重要原因,临床医生在治疗腰痛患者时应仔细考虑,以避免在SIJ存在BME时误诊脊柱炎。
本文章由计算机程序翻译,如有差异,请以英文原文为准。
求助全文
约1分钟内获得全文 求助全文
来源期刊
Rheumatology Advances in Practice
Rheumatology Advances in Practice Medicine-Rheumatology
CiteScore
3.60
自引率
3.20%
发文量
197
审稿时长
11 weeks
×
引用
GB/T 7714-2015
复制
MLA
复制
APA
复制
导出至
BibTeX EndNote RefMan NoteFirst NoteExpress
×
提示
您的信息不完整,为了账户安全,请先补充。
现在去补充
×
提示
您因"违规操作"
具体请查看互助需知
我知道了
×
提示
确定
请完成安全验证×
copy
已复制链接
快去分享给好友吧!
我知道了
右上角分享
点击右上角分享
0
联系我们:info@booksci.cn Book学术提供免费学术资源搜索服务,方便国内外学者检索中英文文献。致力于提供最便捷和优质的服务体验。 Copyright © 2023 布克学术 All rights reserved.
京ICP备2023020795号-1
ghs 京公网安备 11010802042870号
Book学术文献互助
Book学术文献互助群
群 号:604180095
Book学术官方微信