Comparative study for evaluation of Ginkgo biloba extract and gold nanoparticle-encapsulated metformin against nephrotoxicity caused by potassium bromate in Sprague Dawley rats.

IF 1 Q3 VETERINARY SCIENCES
Open Veterinary Journal Pub Date : 2025-06-01 Epub Date: 2025-06-30 DOI:10.5455/OVJ.2025.v15.i6.28
Mai A Al-Mosaibih
{"title":"Comparative study for evaluation of <i>Ginkgo biloba</i> extract and gold nanoparticle-encapsulated metformin against nephrotoxicity caused by potassium bromate in Sprague Dawley rats.","authors":"Mai A Al-Mosaibih","doi":"10.5455/OVJ.2025.v15.i6.28","DOIUrl":null,"url":null,"abstract":"<p><strong>Background: </strong>Potassium bromate (KBrO<sub>3</sub>) is a potent oxidizing agent that can initiate the generation of free radicals through xenobiotic metabolic pathways, according to more research. This chemical disturbs cellular redox balance, causing structural and functional damage to particular tissues and macromolecules.</p><p><strong>Aim: </strong>This study explored the therapeutic impact of a blend of <i>Ginkgo biloba</i> extract and metformin, delivered via gold nanoparticles (AuNPs), in reducing the toxicity of KBrO<sub>3</sub> in the kidneys.</p><p><strong>Methods: </strong>Rats were categorized into eight groups: a control group, a group receiving <i>G. biloba</i> extract with metformin, a group treated with AuNPs, a group with <i>G. biloba</i> extract and metformin delivered via AuNPs, a KBrO<sub>3</sub> group, a KBrO<sub>3</sub> group combined with <i>G. biloba</i> extract and metformin, and a KBrO<sub>3</sub> group treated with both <i>G. biloba</i> extract and metformin on AuNPs.</p><p><strong>Results: </strong>KBrO<sub>3</sub> administration led to a notable increase in levels of creatinine, urea, and uric acid. KBrO<sub>3</sub> caused glomeruli shrinkage, expansion of the capsular space, and tubular damage at the histopathological level, and there was a loss of brush borders in the proximal convoluted tubule, an abundance of vacuoles, and glomerular tubules with irregular basement membranes exhibiting significant thickening at the ultrastructural level. Additionally, it increased malondialdehyde, nitric oxide, and reduced superoxide dismutase, and catalase compared to the normal control group.</p><p><strong>Conclusion: </strong>Treatment with <i>G. biloba</i> extract and metformin, and with <i>G. biloba</i> extract and metformin encapsulated in AuNPs reduced the damages caused by KBrO<sub>3</sub> in the histopathological and ultrastructural levels of the kidney. Treatment with <i>G. biloba</i> extract and metformin and <i>G. biloba</i> extract and metformin encapsulated in AuNPs improved kidney function tests and kept oxidative stress and antioxidant markers in check. However, <i>G. biloba</i> extract and metformin encapsulated in AuNPs worked better as a treatment option than <i>G. biloba</i> extract and metformin. In conclusion, treatment with <i>G. biloba</i> extract and metformin and with <i>G. biloba</i> extract and metformin encapsulated in AuNPs showed good treatment options against KBrO<sub>3</sub> induced-nephrotoxicity in the rat model.</p>","PeriodicalId":19531,"journal":{"name":"Open Veterinary Journal","volume":"15 6","pages":"2562-2572"},"PeriodicalIF":1.0000,"publicationDate":"2025-06-01","publicationTypes":"Journal Article","fieldsOfStudy":null,"isOpenAccess":false,"openAccessPdf":"https://www.ncbi.nlm.nih.gov/pmc/articles/PMC12451155/pdf/","citationCount":"0","resultStr":null,"platform":"Semanticscholar","paperid":null,"PeriodicalName":"Open Veterinary Journal","FirstCategoryId":"1085","ListUrlMain":"https://doi.org/10.5455/OVJ.2025.v15.i6.28","RegionNum":0,"RegionCategory":null,"ArticlePicture":[],"TitleCN":null,"AbstractTextCN":null,"PMCID":null,"EPubDate":"2025/6/30 0:00:00","PubModel":"Epub","JCR":"Q3","JCRName":"VETERINARY SCIENCES","Score":null,"Total":0}
引用次数: 0

Abstract

Background: Potassium bromate (KBrO3) is a potent oxidizing agent that can initiate the generation of free radicals through xenobiotic metabolic pathways, according to more research. This chemical disturbs cellular redox balance, causing structural and functional damage to particular tissues and macromolecules.

Aim: This study explored the therapeutic impact of a blend of Ginkgo biloba extract and metformin, delivered via gold nanoparticles (AuNPs), in reducing the toxicity of KBrO3 in the kidneys.

Methods: Rats were categorized into eight groups: a control group, a group receiving G. biloba extract with metformin, a group treated with AuNPs, a group with G. biloba extract and metformin delivered via AuNPs, a KBrO3 group, a KBrO3 group combined with G. biloba extract and metformin, and a KBrO3 group treated with both G. biloba extract and metformin on AuNPs.

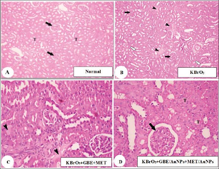
Results: KBrO3 administration led to a notable increase in levels of creatinine, urea, and uric acid. KBrO3 caused glomeruli shrinkage, expansion of the capsular space, and tubular damage at the histopathological level, and there was a loss of brush borders in the proximal convoluted tubule, an abundance of vacuoles, and glomerular tubules with irregular basement membranes exhibiting significant thickening at the ultrastructural level. Additionally, it increased malondialdehyde, nitric oxide, and reduced superoxide dismutase, and catalase compared to the normal control group.

Conclusion: Treatment with G. biloba extract and metformin, and with G. biloba extract and metformin encapsulated in AuNPs reduced the damages caused by KBrO3 in the histopathological and ultrastructural levels of the kidney. Treatment with G. biloba extract and metformin and G. biloba extract and metformin encapsulated in AuNPs improved kidney function tests and kept oxidative stress and antioxidant markers in check. However, G. biloba extract and metformin encapsulated in AuNPs worked better as a treatment option than G. biloba extract and metformin. In conclusion, treatment with G. biloba extract and metformin and with G. biloba extract and metformin encapsulated in AuNPs showed good treatment options against KBrO3 induced-nephrotoxicity in the rat model.

Abstract Image

Abstract Image

Abstract Image

银杏叶提取物与金纳米颗粒包封二甲双胍抗溴酸钾致大鼠肾毒性的比较研究。
背景:根据更多的研究,溴酸钾(KBrO3)是一种强效氧化剂,可以通过异种代谢途径启动自由基的产生。这种化学物质扰乱细胞氧化还原平衡,对特定组织和大分子造成结构和功能损伤。目的:本研究探讨银杏叶提取物和二甲双胍的混合物,通过金纳米颗粒(AuNPs)递送,在降低肾脏中KBrO3的毒性方面的治疗作用。方法:将大鼠分为8组:对照组、双叶提取物联合二甲双胍组、AuNPs给药组、双叶提取物联合二甲双胍给药组、KBrO3组、双叶提取物联合二甲双胍给药组、双叶提取物联合二甲双胍给药组、KBrO3组、双叶提取物联合二甲双胍给药组。结果:KBrO3给药导致肌酐、尿素和尿酸水平显著升高。KBrO3在组织病理学水平上引起肾小球收缩、囊腔扩张和肾小管损伤,近曲小管刷状边界缺失,空泡丰富,肾小球小管基底膜不规则,超微结构水平上明显增厚。此外,与正常对照组相比,丙二醛、一氧化氮增加,超氧化物歧化酶和过氧化氢酶减少。结论:双叶提取物和二甲双胍治疗以及双叶提取物和二甲双胍包封在AuNPs中可减轻肾组织病理和超微结构水平上KBrO3的损伤。双叶提取物和二甲双胍以及包封在AuNPs中的双叶提取物和二甲双胍改善了肾功能测试,并抑制了氧化应激和抗氧化标志物。然而,包封在AuNPs中的双叶提取物和二甲双胍作为治疗选择比双叶提取物和二甲双胍更好。综上所述,在大鼠模型中,双叶提取物和二甲双胍以及双叶提取物和二甲双胍包封在AuNPs中对KBrO3诱导的肾毒性具有良好的治疗选择。
本文章由计算机程序翻译,如有差异,请以英文原文为准。
求助全文
约1分钟内获得全文 求助全文
来源期刊
Open Veterinary Journal
Open Veterinary Journal VETERINARY SCIENCES-
CiteScore
1.40
自引率
0.00%
发文量
112
审稿时长
12 weeks
期刊介绍: Open Veterinary Journal is a peer-reviewed international open access online and printed journal that publishes high-quality original research articles. reviews, short communications and case reports dedicated to all aspects of veterinary sciences and its related subjects. Research areas include the following: Infectious diseases of zoonotic/food-borne importance, applied biochemistry, parasitology, endocrinology, microbiology, immunology, pathology, pharmacology, physiology, epidemiology, molecular biology, immunogenetics, surgery, ophthalmology, dermatology, oncology and animal reproduction. All papers are peer-reviewed. Moreover, with the presence of well-qualified group of international referees, the process of publication will be done meticulously and to the highest standards.
×
引用
GB/T 7714-2015
复制
MLA
复制
APA
复制
导出至
BibTeX EndNote RefMan NoteFirst NoteExpress
×
提示
您的信息不完整,为了账户安全,请先补充。
现在去补充
×
提示
您因"违规操作"
具体请查看互助需知
我知道了
×
提示
确定
请完成安全验证×
copy
已复制链接
快去分享给好友吧!
我知道了
右上角分享
点击右上角分享
0
联系我们:info@booksci.cn Book学术提供免费学术资源搜索服务,方便国内外学者检索中英文文献。致力于提供最便捷和优质的服务体验。 Copyright © 2023 布克学术 All rights reserved.
京ICP备2023020795号-1
ghs 京公网安备 11010802042870号
Book学术文献互助
Book学术文献互助群
群 号:604180095
Book学术官方微信